PDF Processor
Inicio
Editar documento
Editar documento: 6. Acné
Título
Contenido mejorado
Contenido original
Contenido mejorado por IA (Markdown)
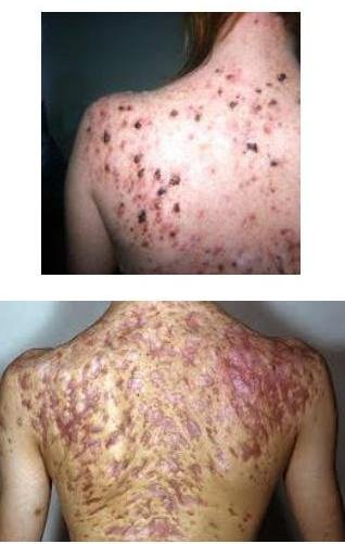
Palabras clave: alteración queratinización, tapón, COMEDÓN, Propionibacterium acnés, conglobata, fulminans, peróxido de benzoilo, Doxiciclina, antiandrógenos, isotretinoína, esteroides orales. # DEFINICIÓN Es una enfermedad inflamatoria del folículo pilosebáceo, consecuencia de una **alteración en la queratinización** folicular. Afecta a adolescentes y adultos. ## ETIOLOGÍA **Alteración en la queratinización** del infundíbulo folicular: genera un **tapón** de queratina ( **COMEDÓN**) que obstruye el orificio de salida. Alteración cuantitativa y cualitativa de la producción de sebo de la glándula sebácea: este fenómeno es andrógenodependiente. Alteraciones en la microflora bacteriana: aumenta la cantidad de **P. ACNÉS**, capaz de metabolizar lípidos, produciendo mediadores de inflamación. Factores agravantes: estrés, anticonceptivos orales androgénicos, empleo de cosméticos no libres de aceites. No existe relación clara con la dieta. ## CLÍNICA Lesión inicial - **COMEDÓN** (cerrado es blanquecino y abierto es oscuro). - Evoluciona a lesiones inflamatorias: pápulas, pústulas, nódulos o quistes (en orden de gravedad). Habitualmente, estas lesiones se combinan de forma simultánea - **POLIMORFO**. LOCALIZACIÓN - Áreas **Sebáceas** (Cara, espalda, hombros y región centrotorácica). ## FORMAS CLÍNICAS Acné **conglobata**: nódulos, quistes y abscesos comunicados por fístulas que dejan intensas cicatrices hipertróficas.  # DIAGNÓSTICO - Totalmente clínico. - Debe diferenciarse de: rosácea, foliculitis, verrugas planas y erupciones acneiformes. ## ABORDAJE En mujeres con ciclos menstruales de 35 días o amenorrea o hirsutismo: - LH - FSH - Testosterona DIAGNÓSTICO DIFERENCIAL CON SOP - 17 OH progesterona - Estradiol - Perfil tiroideo ## TRATAMIENTO Este dependerá de la gravedad de la clínica: ## LEVE (acné comedoniano y papuloso): Suele ser suficiente con el tratamiento tópico, pero tiende a recurrir. - RETINOIDES TÓPICOS: - Como la TRETINOÍNA, **ISOTRETINOÍNA**, adapaleno y tazaroteno, empleados como comedolíticos y exfoliantes. - ANTIBIÓTICOS TÓPICOS (x 6 - 12 semanas) - **PERÓXIDO DE BENZOILO**: es queratolítico, comedolítico y bacteriostático. Puede provocar irritación y desteñir la ropa. Solo existe fórmula tópica. - ERITROMICINA - ÁCIDO AZELAICO AL 20%: es comedolítico y reduce la población bacteriana. MODERADO (acné papulopustuloso y noduloquístico): Se emplean habitualmente tratamiento oral: - ANTIBIÓTICOS ORALES: - Tetraciclinas - **DOXICICLINA** Y MINOCICLINA; Clindamicina, Eritromicina. - Son bacteriostáticos frente a P. acnés y antiinflamatorios al inhibir la quimiotaxis de los neutrófilos. - **ANTIANDRÓGENOS**: Se emplea el ACETATO DE CIPROTERONA, en combinación con ESTRÓGENOS. - Es útil para tratar formas moderadas-graves en mujeres, incluso sin evidentes alteraciones hormonales. # - RETINOIDE TÓPICO - **ISOTRETINOÍNA** (Vía Oral): es un derivado de la vitamina A. - Indicado en Acné Noduloquístico Grave o FALLA en el tratamiento. - Produce atrofia en la glándula sebácea y regula la queratinización. - Efecto secundario - XEROSIS CUTANEOMUCOSA. Otros: alopecia, mialgias, disminución visión nocturna. ## GRAVE (acné **conglobata** y **fulminans**) Se deben combinar **CORTICOIDES ORALES + ISOTRETINOÍNA ORAL**. - Debe evitarse el embarazo durante un mes. ## CONSECUENCIAS **CICATRICES**: es la más común y más temida por el enfermo. - Pueden ser hipertróficas, queloides, atróficas o en pica de hielo. - Tienen un impacto psicológico.
Vista previa
Contenido original (Markdown)
Palabras clave: alteración queratinización, tapón, COMEDÓN, Propionibacterium acnés, conglobata, fulminans, peróxido de benzoilo, Doxiciclina, antiandrógenos, isotretinoína, esteroides orales. # DEFINICIÓN Es una enfermedad inflamatoria del folículo pilosebáceo, consecuencia de una alteración en la queratinización folicular. Afecta a adolescentes y adultos. ## ETIOLOGÍA Alteración en la queratinización del infundíbulo folicular: genera un tapón de queratina (COMEDÓN) que obstruye el orificio de salida. Alteración cuantitativa y cualitativa de la producción de sebo de la glándula sebácea: este fenómeno es andrógenodependiente Alteraciones en la microflora bacteriana: aumenta la cantidad de PROPIONIBACTERIUM ACNÉS, capaz de metabolizar lípidos, produciendo mediadores de inflamación. Factores agravantes: estrés, anticonceptivos orales androgénicos, empleo de cosméticos no libres de aceites. No existe relación clara con la dieta. ## CLÍNICA Lesión inicial - COMEDÓN (cerrado es blanquecino y abierto es oscuro - Evoluciona a lesiones inflamatorias: pápulas, pústulas, nódulos o quistes (en orden de gravedad). Habitualmente estas lesiones se combinan de forma simultánea - POLIMORFO LOCALIZACIÓN - Áreas Sebáceas (Cara, espalda, hombros y región centrotorácica). ## FORMAS CLÍNICAS Acné conglobata: nódulos, quistes y abscesos comunicados por fístulas que dejan intensas cicatrices hipertróficas.  # DIAGNÓSTICO - Totalmente clínico - Debe diferenciarse de: rosácea, foliculitis, verrugas planas y erupciones acneiformes ## ABORDAJE En mujeres con ciclos menstruales de 35 días o amenorrea o hirsutismo: - LH - FSH - Testosterona DIAGNÓSTICO DIFERENCIAL CON SOP - 17 OH progesterona - Estradiol - Perfil tiroideo ## TRATAMIENTO Este dependerá de la gravedad de la clínica: ## LEVE (acné comedoniano y papuloso): Suele ser suficiente con el tratamiento tópico, pero tiende a recurrir. - RETINOIDES TÓPICOS: - Como la TRETINOÍNA, ISOTRETINOÍNA, adapaleno y tazaroteno, empleados como comedolíticos y exfoliantes. - ANTIBIÓTICOS TÓPICOS (x 6 - 12 semanas) - PERÓXIDO DE BENZOILO: es queratolítico, comedolítico y bacteriostático. Puede provocar irritación y desteñir la ropa. Solo existe fórmula tópica. - ERITROMICINA - ÁCIDO AZELAICO AL 20%: es comedolítico y reduce la población bacteriana. MODERADO (acné papulopustuloso y nadulaquístico): Se emplean habitualmente tratamiento oral: - ANTIBIÓTICOS ORALES: - Tetraciclinas - DOXICICLINA Y MINOCICLINA ; Clindamicina, Eritromicina - Son bacteriostáticos frente a P. acnés y antiinflamatorios al inhibir la quimiotaxis de los neutrófilos. - ANTIANDRÓGENOS: Se emplea el ACETATO DE CIPROTERONA, en combinación con ESTRÓGENOS. - Es útil para tratar formas moderadas-graves en mujeres, incluso sin evidentes alteraciones hormonales. # - RETINOIDE TÓPICO - ISOTRETINOÍNA (Vía Oral) : es un derivado de la vitamina A. - Indicado en Acné Noduloquístico Grave o FALLA en el tratamiento - Produce atrofia en la glándula sebácea y regula la queratinización. - Efecto secundario - XEROSIS CUTANEOMUCOSA. Otros: alopecia, mialgias, disminución visión nocturna. ## GRAVE (acné conglobala y fulminans) Se deben combinar CORTICOIDES ORALES + ISOTRETINOÍNA ORAL - Debe evitarse el embaraza durante un mes. ## CONSECUENCIAS CIATRICES: es la más común y más temida por el enfermo. - Pueden ser hipertróficas, queloides, atróficas o en pica de hielo. - Tienen un impacto psicológico.
Vista previa
Cancelar
Guardar cambios