PDF Processor
Inicio
Editar documento
Editar documento: 14. Pitriasis Versicolor
Título
Contenido mejorado
Contenido original
Contenido mejorado por IA (Markdown)
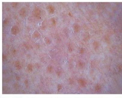
# PITIRIASIS VERSICOLOR Palabras clave: **Pityrosporum ovale**, **Malassezia furfur** patógena, **jóvenes**, **máculas híper o hipocrómicas**, **Signo de la uñada** (lesiones se descaman con rascado), **luz de Wood** amarillo-naranja, **KOH espagueti y albóndigas**, **azoles tópicos o sistémicos** si está avanzado. ## DEFINICIÓN Es una infección micótica superficial causada por una levadura comensal: *Pityrosporum ovale*, que se transforma en su forma patógena: ***Malassezia furfur*** o ***Malassezia globosa*** (manchas hipocrómicas). ## EPIDEMIOLOGÍA - Afecta, sobre todo, a pacientes **jóvenes** (15-45 años) [**PRIMER LUGAR DE CONSULTA DERMATOLÓGICA**]. - Es rara en la infancia y en la vejez. - Se relaciona con el **calor**, la **humedad** y la **hipersecreción sebácea**. ## CLÍNICA ## - MÁCULAS HIPERCRÓMICAS O HIPOCRÓMICAS - Se descaman con el rascado (**signo de la uñada**), si la infección está activa. - Localización: región centrotorácica y espalda (**zonas seborreicas**).  # DIAGNÓSTICO - Habitualmente **CLÍNICO**. ## LÁMPARA DE WOOD Fluorescencia **amarillo-anaranjada**.  Figura 98-5 Pitiriasis versicolor puntiforme: observación con dermatoscopio.  Figura 98-7 Pitiriasis versicolor: observación con luz de Wood. ## EXAMEN HISTOLÓGICO CON HIDRÓXIDO POTÁSICO (KOH) Se usa cinta adhesiva transparente (prueba de la cinta Scotch) y se observa al microscopio: - **HIFAS CORTAS NO SEPTADAS Y ESPORAS**. Se aprecian filamentos y elementos redondos. - **IMAGEN DE ESPAGUETI Y ALBÓNDIGAS**.  ## TRATAMIENTO ## Primera elección: Azólicos tópicos - Ketoconazol espray o crema al 2 % (1 vez al día por 4 semanas). - Terbinafina espray o crema al 1 % (1 vez al día por 1 semana). - Terbinafina solución al 1 % (1 vez al día por 1 semana). - Bifonazol espray o crema al 1 % (1 vez al día por 1 semana). - Clotrimazol espray o crema al 1 % (1 vez al día por 2 semanas). Casos extensos, pobre respuesta o inmunodeprimidos: Azólicos sistémicos orales: - Itraconazol 200 mg cada 24 h por 7 días. - Fluconazol 400 mg, dosis única. - Fluconazol 300 mg, 1 vez por semana por 4 semanas. - Ketoconazol 200 mg cada 24 h por 7 días. - Ketoconazol 400 mg, dosis única. # REFERENCIA - Dermatosis atípica y de difícil diagnóstico. - Que haya sido corticoestropeada (modificada por corticoides). - Dermatosis complicada o enmascarada por otra dermatosis. - Dermatosis asociada a inmunodepresión. - Falta de respuesta al tratamiento habitual.
Vista previa
Contenido original (Markdown)
# PITRIASIS VERSICOLOR Palabras clave: Pityrosporum ovale, malassezia furfur patógena, jóvenes, máculas híper o hipocrómicas, Signo de la uñada (lesiones se descaman con rascado), luz Wood amarillonaranja, KOH espagueti y albóndigas, azoles tópicos o sistémicos si avanzado. ## DEFINICIÓN Es una infección micótica causada por una levadura comensal: Pityrosporum ovale, que se transforma en su forma patógena: MALASSEZIA FURFUR o Malassezia globosa (manchas hipocrómicas) ## EPIDEMIOLOGÍA - Afecta, sobre todo, a pacientes jóvenes (15-45 años) [PRIMER LUGAR CONSULTA DERMATOLÓGICA] - Es rara en la infancia y en la vejez - Se relaciona con el calor, la humedad y la hipersecreción sebácea ## CLÍNICA ## - MÁCULAS HIPERCRÓMICAS O HIPOCRÓMICAS - Se descaman con el rascado (signo de la uñada), si la infección está activa - Localización: región centrotorácica y en espalda (Zonas Seborreicas)  # DIAGNÓSTICO - Habitualmente CLÍNICO ## LÁMPARA DE WOOD Fluorescencia amarillo-anaranjada  Figura 98-5 Pilótasis versicolor punticida: observación con el dor  Figura 98-7 Pilótasis versicolor: observación con luz de Wood. malnocopio. ## EXAMEN HISTOLÓGICO CON HIDRÓXIDO POTÁSICO (KOH) Se usa cinta scotch transparente y se ve al microscopio: - HIFAS CORTAS NO SEPTADAS Y ESPORAS Se aprecian filamentos y elementos redondos - IMAGEN DE SPAGHETTI Y ALBÓNDIGAS  ## TRATAMIENTO ## 1ra elección: Azólicos tópicos - Ketoconazol spray o crema 2 % ( 1 vez al día x 4 semanas) - Terbinafina spray o crema 1 % ( 1 vez al día x 1 semana - Terbinafina solución 1 % ( 1 vez al día x 1 semana) - Bifomazol spray o crema 1 % ( 1 vez al día x 1 semana) - Clotrimazol spray o crema 1 % ( 1 vez al día x 2 semanas) Casos extensos, pobre respuesta o inmunodeprimidos: Azólicos sistémicos orales.: - Itraconazol 200 mg c / 24 ~h \times 7 días - Fluconazol 400 mg Dosis Única - Fluconazol 300 mg 1 vez x semana x 4 semanas - Ketoconazol 200mg c/ 24 h x 7 días - Ketoconazol 400mg dosis única # REFERENCIA - Dermatosis atípica y de difícil diagnóstico - Que haya sido corticoestropeado - Dermatosis complicada o enmascarada por otra dermatosis - Dermatosis asociada a inmunodepresión - Falla de respuesta al tratamiento habitual
Vista previa
Cancelar
Guardar cambios