PDF Processor
Inicio
Editar documento
Editar documento: 22. Herpes Simple
Título
Contenido mejorado
Contenido original
Contenido mejorado por IA (Markdown)
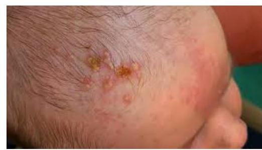
# HERPES SIMPLE Palabras clave: **Tipo I extragenital**, **Tipo II genital**, **Orofacial recidivante** (la más común, **primoinfección asintomática**), **Genital (primoinfección sintomática)**. **Tratamiento (Tx)** solo en **primoinfección**, **recidiva grave** o **eccema**. **Aciclovir**. ## DEFINICIÓN Existen dos tipos de herpes simple: - **TIPO I**: responsable de la mayoría de los herpes **extragenitales** y del 20 % de los **genitales**. - **TIPO II**: causante del herpes **genital** y de un pequeño porcentaje de los **extragenitales**. - El contagio se produce por **contacto directo**, existiendo el estado de **portador asintomático**. - Tras la **primoinfección**, el virus queda acantonado en la porción sensitiva de los **ganglios craneales** o **espinales**. La gravedad es mucho mayor en **inmunocomprometidos**. ## CLÍNICA ## HERPES SIMPLE EXTRAGENITAL El más frecuente es el **OROFACIAL RECIDIVANTE**. **Vesículas agrupadas** sobre base **eritematosa**. Las **primoinfecciones** son **asintomáticas**; solo un 5 % se manifiestan en forma de **gingivoestomatitis herpética**, cuadro caracterizado por **úlceras orales** con **adenopatías cervicales** y afectación del **estado general**.  **Recidivas**: clínica más leve. - Factores que provocan **recidivas**: **traumatismos**, **luz solar**, **frío**, **estrés**, **fiebre**, **menstruación**. ## HERPES SIMPLE GENITAL Es la causa más frecuente de **úlceras genitales** después de las **traumáticas**. **Primoinfección SINTOMÁTICA** (entre 3 y 14 días tras el **contacto sexual**). ## **ÚLCERAS AGRUPADAS** EN EL **SURCO BALANOPREPUCIAL**. - **Adenopatías inguinales dolorosas**.  **Recidivas**: menos graves que la **primoinfección** (más frecuentes si el herpes genital es por **VHS TIPO II**). # ECCEMA HERPÉTICO O ERUPCIÓN VARICELIFORME DE KAPOSI **Diseminación** de la **infección herpética** sobre una **dermatosis de base**. - Sobre todo, **dermatitis atópica**.  ## HERPES NEONATAL Se debe al **contagio intraparto** del **VHS II**. Existe **afectación neurológica**, **deterioro general** y **vesículas** o **úlceras** en la piel. ## DIAGNÓSTICO Fundamentalmente **CLÍNICO**. ## Confirmación: **CULTIVO VIROLÓGICO**. - Frotis de lesiones (**Citodiagnóstico de Tzanck**). - Se ven **células multinucleadas** e **inclusiones intranucleares**. ## TRATAMIENTO Las formas leves no requieren **tratamiento**. Indicaciones de tratamiento: - **Primoinfección**. - **Recidivas graves** o **frecuentes**. - **Complicaciones** (**eritema multiforme**, **eccema herpético**). ## **1.ª elección: ACICLOVIR VÍA ORAL**. Derivados: **Valaciclovir**, **Famciclovir**. Los **antivíricos tópicos** no han demostrado ser útiles; favorecen la **maceración** de las lesiones y provocan **sobreinfección** y **dermatitis de contacto alérgica** por **hipersensibilidad**.
Vista previa
Contenido original (Markdown)
# HEBOES SIMPLE Palabras clave: tipo I extra genital, tipo II genital, Oro facial recidivante la más común (Primoinfección asintomática), Genital Primoinfección sintomática, Tx solo en primoinfección, recidiva grave o eccema, Aciclovir. ## DEFINICIÓN Existen dos tipos de herpes simple: - TIPO I: responsable de la mayoría de los herpes extragenitales y del 20 % de los genitales - TIPO II: causante del herpes genital y de un pequeño porcentaje de los extragenitales. - El contagio se produce por contacto directo, existiendo el estado de portador asintomático. - Tras la primoinfección, el virus queda acantonado en la porción sensitiva de los ganglios craneales o espinales. La gravedad es mucho mayor en inmunocomprometidos. ## CLÍNICA ## HERPES SIMPLE EXTRAGENITAL El más frecuente - OROFACIAL Recidivante. Vesículas agrupadas sobre base eritematosa Las primoinfecciones son asintomáticos, solo un 5% manifiestan en forma de gingioestomatitis herpética, cuadro caracterizado por úlceras orales con adenopatías cervicales y afectación del estado general.  Recidivas - clínica más leve - Factores que recidivan: traumatismos, luz solar, frío, estrés, fiebre, menstruación. ## HERPES SIMPLE GENITAL Es la causa más frecuente de úlceras genitales después de las traumáticas. Primoinfección SINTOMÁTICA (entre 3 - 14 días de contacto sexual) ## ÚLCERAS AGRUPADAS EN EL SURCO BALANO-PREPUCIAL. - Adenopatías inguinales dolorosas  Recidivias - menos graves que la primoinfección (más frecuente si el herpes genital es por VHS tipo II). # EeCEMA HERPÉTICO O ERUPCIÓN VAREICELIFORME DE KAPOSI Diseminación de la infección herpética sobre una dermatosis de base - Sobre todo dermatitis atópica.  ## HERPES NEONATAL Se debe al contagio intraparto del VHS II Existe afectación neurológica, deterioro general y vesículas o úlceras en la piel. ## DIAGNÓSTICO Fundamentalmente CLÍNICO ## Confirmación - CULTIVO VIROLÓGICO - Frotis de lesiones (Citodiagnóstido de Tzanck) - Se ven células multinucleadas e inclusiones intranucleares. ## TRATAMIENTO Las formas leves no requieren tratamiento. Indicaciones de tratamiento: - Primoinfección - Recidivas graves o frecuentes - Complicaciones (eritema multiforme, eccema herpético) ## 1ra elección: ACICLOVIR Vía Oral Derivados: Valaciclovir, Famciclovir Antivíricos tópicos no han demostrado ser útiles, favorecen la maceración de las lesiones y provocan sobreiinfección y dermatitis de contacto alérgico por hipersensibilidad.
Vista previa
Cancelar
Guardar cambios