PDF Processor
Inicio
Editar documento
Editar documento: 10. Osteogénesis Imperfecta
Título
Contenido mejorado
Contenido original
Contenido mejorado por IA (Markdown)
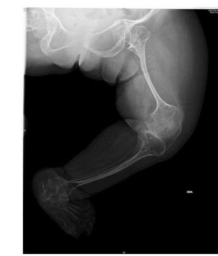
# OSTEOGÉNESIS IMPERFECTA ## DEFINICIÓN Es un grupo de **enfermedades genéticas hereditarias** del **tejido conectivo** caracterizadas por la presencia de **fragilidad ósea** y **fracturas**. Existen 6 tipos de osteogénesis imperfecta (I-VI), siendo el **tipo II** la forma **más severa** y generalmente **letal**. ## ETIOLOGÍA Se produce debido a mutaciones en los genes que codifican la **COLÁGENA TIPO 1**: - **COL1A1** (cromosoma 17) - **COL1A2** (cromosoma 7) La herencia más frecuente es la **AUTOSÓMICA DOMINANTE**. ## EPIDEMIOLOGÍA ## FACTORES DE RIESGO - **EDAD PATERNA AVANZADA** - **HISTORIA FAMILIAR** ## CLÍNICA Puede ser confundida con **fracturas múltiples** por **maltrato infantil**. Es característica la presencia de **ESCLERÓTICAS AZULES**. - **Fracturas** después de **traumatismos de baja energía**, en ausencia de otros factores. - **Retraso en el desarrollo psicomotor**. - **Talla baja**, **deformidad de huesos largos** y **columna vertebral**. - **Dentinogénesis imperfecta**, **dientes opalescentes**. - **Hipoacusia**. - **Hiperlaxitud articular**. # DIAGNÓSTICO **GOLD ESTÁNDAR**: **HISTORIA CLÍNICA** y **EXAMEN FÍSICO**. **USG**. Para realizar **diagnóstico INTRAUTERINO**. **ESTUDIO MOLECULAR**. Analiza el **COLÁGENO TIPO 1** y los genes implicados **COL1A1** y **COL1A2**. **RADIOGRAFÍA**. Se puede observar **osteopenia**, **fracturas** y **arqueamiento de huesos largos**. **ANÁLISIS DE SANGRE**. Los niveles de **VITAMINA D**, **FÓSFORO**, **CALCIO** y **FOSFATASA ALCALINA** se encuentran normales.  ## TRATAMIENTO Primera elección: **PREVENCIÓN DE FRACTURAS** con **USO DE COLCHONES ESPECIALES** y **EVITAR DEPORTES**. - **Analgésicos**: para manejo del **dolor** en las **fracturas**. - **Cirugía**: para el manejo de la **escoliosis** y **cifosis**. - **Bifosfonatos**: reducen el **dolor** y el número de **fracturas**. - **Programas de ejercicio**: Se recomienda la **natación**. ## PRONÓSTICO - Dependerá del tipo de osteogénesis imperfecta, siendo el **TIPO II** la **más severa**. - Pueden presentar desde **muerte perinatal** hasta **ausencia de síntomas**.
Vista previa
Contenido original (Markdown)
# OSTEOGENESIS IMPERFECTA ## DEFINICIÓN Son un grupo de enfermedades genéticas hereditarias del tejido conectivo caracterizadas por la presencia de fragilidad ósea y fracturas. Existen 6 tipos de osteogénesis imperfecta (I - VI), siendo el tipo II la forma más severa y generalmente letal. ## ETIOLOGÍA Se produce debido a mutaciones en los genes que codifican la COLÁGENA TIPO 1: - COL1A1 (cromosoma 17) - COL1A2 (cromosoma 7) La herencia más frecuente es la AUTOSÓMICA DOMINANTE. ## EPIDEMIOLOGÍA ## FACTORES DE RIESGO - Edad PATERNA AVANZADA - Historia Familiar ## OLÍNICA Puede ser confundida con fracturas múltiples por maltrato infantil. Es característica la presencia de ESCLERÓTICAS AZULES. - Fracturas después de traumatismos de baja energía, en ausencia de otros factores - Retraso en el desarrollo psicomotor - Talla baja, deformidad de huesos largos y columna vertebral - Dentinogénesis imperfecta, dientes opalescentes - Hipoacusia - Hiperlaxitud articular # DIAGNÓSTICO GOLD ESTÁNDAR: HISTORIA CLÍNICA Y EXAMEN FÍSICO USG Para realizar diagnóstico INTRAUTERO ESTUDIO MOLECULAR Analiza el Colágeno Tipo 1 y los genes implciados COL1A1 y COL1A2 RADIOGRAFÍA Se puede observar osteopenia, fracturas y arqueamiento de huesos largos ANALSIS SANGRE Los niveles de Vitamina D, Fósforo, Calcio y Fosfatasa Alcalina se encuentran normales.  ## TRATAMIENTO 1ra elección PREVENCIÓN DE FRACTURAS CON USO DE COLCHONES ESPECIALES Y EVITAR DEPORTES. - Analgésicos: para manejo de dolor en las fracturas - Cirugía: para el manejo de la escoliosis y cifósis - Bifosfonatos: reducen el dolor y el número de fracturas - Programas de ejercicio: Se recominda la natación. ## PRONÓSTICO - Dependerá del tipo de osteogénesis imperfecta, siendo la tipo II la más severa. - Pueden presentar desde muerte perinatal hasta ausencia de síntomas.
Vista previa
Cancelar
Guardar cambios