PDF Processor
Inicio
Editar documento
Editar documento: 12. Enfermedad de Fabry
Título
Contenido mejorado
Contenido original
Contenido mejorado por IA (Markdown)
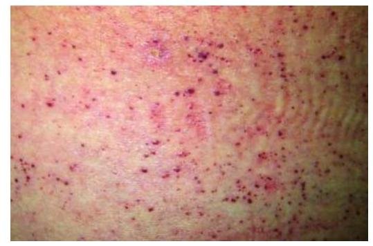
# ENFERMEDAD DE FABRY ## DEFINICIÓN La enfermedad de Fabry es una **ESFINGOLIPIDOSIS**, un trastorno hereditario del metabolismo causado por deficiencia de **α-galactosidasa A**, que causa **angioqueratomas**, **acroparestesias**, **opacidades corneales**, episodios febriles recurrentes e insuficiencia renal o cardíaca. Es una deficiencia ligada al cromosoma X de la enzima lisosómica **α-galactosidasa A**, necesaria para el catabolismo normal de la **trihexosilceramida**. Se acumula **glucolípido** (**globotriaosilceramida**) en muchos tejidos (p. ej., endotelio vascular, vasos linfáticos, corazón, riñón). ## CLÍNICA - Aparición de lesiones cutáneas típicas (**ANGIOQUERATOMAS**) en la parte inferior del tronco. - Manifestaciones características de **neuropatía periférica** (que causa dolor urente recurrente en los miembros). - **Opacidades corneales**. - **Episodios febriles recurrentes**.  **ANGIOQUERATOMAS EN LA ENFERMEDAD DE FABRY** Las mujeres heterocigotas suelen ser asintomáticas, pero pueden presentar una forma atenuada de la enfermedad, caracterizada a menudo por **opacidades corneales**. **MUERTE**: se produce por **insuficiencia renal** o complicaciones cardíacas o cerebrales de la **hipertensión** u otra **enfermedad vascular**. ## DIAGNÓSTICO Se puede realizar antes del nacimiento, en **amniocitos** o **vellosidades coriónicas**, y después del nacimiento, en **suero** o **leucocitos**. ## 1.ª elección: **Análisis de ADN** ## 2.ª elección: **Ensayo Enzimático Actividad de Galactosidasa** # TRATAMIENTO ## 1.ª elección: **REEMPLAZO ENZIMÁTICO CON ALFA-GALACTOSIDASA A RECOMBINANTE** - Combinada con medidas sintomáticas en caso de fiebre y dolor. - El **trasplante renal** es eficaz para tratar la **insuficiencia renal**.
Vista previa
Contenido original (Markdown)
# ENFERMEDAD DE FABRY ## DEFINICIÓN La enfermedad de Fabry es una ESFINGOLIPIDOSIS, que es un trastorno hereditario del metabolismo causado por deficiencia de \alpha-galactosidasa A, que causa angioqueratomas, acroparestesias, opacidades corneales, episodios febriles recurrentes e insuficiencia renal o cardíaca. Es una deficiencia ligada al cromosoma X de la enzima lisosómica \alpha-galactosidasa A, que es necesaria para el catabolismo normal de la trihexosilceramida. Se acumula glucolípido (globotriaosilceramida) en muchos tejidos (p. ej., endotelio vascular, vasos linfáticos, corazón, riñón). ## CLÍNICA - Aparición de lesiones cutáneas típicas (ANGIOQUERATOMAS) en la parte inferior del tronco. - Manifestaciones características de neuropatía periférica (que causa dolor urente recurrente en los miembros). - Opacidades corneales. - Episodios febriles recurrentes.  ANGIOQUERATOMAS EN LA ENFERMEDAD DE FABRY Las mujeres heterocigotas suelen ser asintomáticas, pero pueden presentar una forma atenuada de la enfermedad, caracterizada a menudo por opacidades corneales. MUERTE: se produce por insuficiencia renal o complicaciones cardíacas o cerebrales de la hipertensión u otra enfermedad vascular. ## DIAGNÓSTICO Se puede realizar antes del nacimiento, en amniocitos o vellosidades coriónicas, y después del nacimiento, en suero o leucocitos. ## 1ra elección: Análisis de ADN ## 2da elección: Ensayo Enzimático Actividad de Galactosidasa # TRATAMIENTO ## 1ra elección: REEMPLAZO ENZIMÁTICO CON ALFA-GALACTOSIDASA A RECOMBINANTE - Combinada con medidas sintomáticas en caso de fiebre y dolor. - El trasplante renal es eficaz para tratar la insuficiencia renal.
Vista previa
Cancelar
Guardar cambios