PDF Processor
Inicio
Editar documento
Editar documento: 4. Sangrado Uterino Anormal
Título
Contenido mejorado
Contenido original
Contenido mejorado por IA (Markdown)
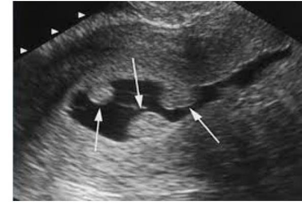
# SANGRADO UTERINO ANORMAL ## DEFINICIÓN El Sangrado Uterino Anormal es la variación del ciclo menstrual normal, e incluye cambios en la regularidad, frecuencia del ciclo, y duración del flujo o en la cantidad de sangrado menstrual asociadas a disturbios médicos que sólo pueden ser identificados por una historia clínica orientada a búsqueda de etiología complementando con métodos de laboratorio, gabinete y determinaciones hormonales como por ejemplo coagulopatías, disfunciones ovulatorias o desordenes primarios endometriales. ## TERMINOLOGÍA | DURACIÓN NORMAL | Pérdida de sangrado menstrual de 3 - 7 días. | | :--: | :--: | | CICLO REGULAR | Se presenta con una variación normal de ciclo a ciclo de +2 hasta 20 días. | | CANTIDAD NORMAL | Sangrado menstrual entre 30 - 80 ml por ciclo (promedio 60 ml ) 1 toalla sanitaria nocturna =20 ml | | FRECUENCIA MENSTRUAL NORMAL | Presencia de intervalos de sangrado de 25 -35 días. | Polimenorrea: es un patrón de sangrado periódico y regular, pero con una frecuencia menor a 21 días. Hipomenorrea: son sangrados uterinos regulares, de duración normal, pero en cantidad reducida. Metrorragia: es un sangrado uterino que aparece fuera del periodo menstrual de cantidad es variable. Menorragia: es la pérdida ginecológica excesiva, con características de hemorragia importante, de duración prolongada y que aparece a intervalos regulares Hipermenorrea: son sangrados uterinos regulares, de duración normal, pero en cantidad excesiva (mayor de 80ml ). Oligomenorrea: es un patrón de sangrado periódico pero con una frecuencia mayor a 35 días. ## EPIDEMIOLOGÍA - El SUA es una condición frecuente, el cual tiene un impacto social y económico significativo. - Considerada como la segunda causa de consulta ginecológica, después de las infecciones cervicovaginal; por su origen puede ser de tipo anatómica o disfuncional. \Rightarrow 9 al 14 % de las mujeres en edad reproductiva han tenido ciclos menstruales mayores a 80 mililitros por ciclo menstrual - El tratamiento médico debe ser indicado entodos los casos, y si no hay respuesta al mismo, se decidira tratamiento quirúrgico según el caso. - La causa más frecuente de HEMORRAGIA POST-MENOPAÚSICA es ATROFIA ENDOMETRIAL, sin embargo, siempre se debe descartar que sea por Cáncer de Endometrio. # ETIOLOGÍA La clasificación actual de la hemorragia uterina anormal propuesta por a FIGO en 2011 conocida como PALMCOEIN , estratifica en 9 categorías de acuerdo al acrónimo. ## SANGRADO ANORMAL Pólipos Adenomiosis Leiomioma Malignidad/Hiperplasia  SANGRADO DISFUNCONAL | Coagulopatía | | :-- | | Ovulatory Disfunción | | Endometrial | | latrogénica | | No Clasificada |  ## DIAGNÓSTICO ## GOLD STANDARD: BIOPSIA DE ENDOMETRIO - Descarta patología endometrial por histopatología ## 1ra elección: USG ENDOVAGINAL - Es útil para el diagnóstico de lesiones estructurales focales ya que detecta alteraciones en mujeres premenopáusicas hasta en 97 % de los casos. - Muestra una mayor precisión en las características anatómicas. - Mide el grosor endometrial - Premenopáusicas con sangrado menor de 16 mm - Posmenopáusicas con sanrgrado menor a 5 mm ## MAGNITUD DE PÉRIDA DE SANGRE - TAMPÓN: Absorbe 5 ml . - TOALLA HIGIÉNICA: Aboserbe 15 ml . - Determinación Hematina/Alcalina cuantifica 95-100% de périda. ## ESTUDIOS DE LABORATORIO - Biometría Hemática: puede existir disminución de eritrocitios o hemoglobina - Pruebas de trastornos de coagulación: en menstruación abundante desde la menarca o historia familiar. - PIE: realizar en toda mujer con sangrado uterino anormal con vida sexual activa - Pruebas de función tiroidea: solo que existan hallazgos clínicos sugestivos. - Perfil androgénico: Testosterona total, libre y androstenediona; en caso de sospecha de tumor androgénico. - LH/FSH y Prolactina: si se sospecha anovulación crónica. # PÓLIPOS ## DEFINICIÓN Los pólipos son proliferaciones focales del endometrio constituidos por cantidades variables de glándula, estroma y vasos sanguíneos. Pueden ser de diferentes tamaños, únicos o múltiples, sésiles o pediculados. El componente glandular tiene algún grado de desorden arquitectural y puede ser funcional o atrófico según la edad de la paciente. Puede presentar metaplasia, hiperplasia con o sin atipia o más infrecuentemente carcinoma. El estroma tiene en generalmás componente fibroso y los vasossanguíneos paredes más gruesas que el endometrio circundante  ## OLÍNICA El mecanismo por el cual los pólipos pueden generar SUA no es claro y podría estar relacionado con las mismasteorías que tratan de explicarsu formación. Solo se puede inferirla relación causal en forma indirecta por el alivio de los síntomas de SUA que experimentan la mayoría de las pacientes luego de la polipectomía. - METRORRAGIA (frecuentemente asintomáticos) - Edad: 30 - 60 años ## DIAGNÓSTICO ## 1ra elección: USG TRANSVAGINAL O HISTEROSCOÍA. ## DEFINTIVO - ANATOMOPATOLÓGICO ## TRATAMIENTO - EXTIRPACIÓN QX POR HISTEROSCOPÍA - se realiza histología  - Descartar malignidad # ADENOMIOSIS ## DEFINICIÓN La adenomiosis es la presencia de glándula y estroma endometrial en el espesor del miometrio con hipertrofia e hiperplasia reactiva de las fibras musculares adyacentes. Si bien el diagnóstico es anatomopatológico no existen criterios universalmente aceptados. Adenomiosis es un conjunto de lesiones que afectan la interfase endometrio-miometrio o junctional zone (JZ) y que van desde un ligero engrosamiento de la misma hasta el compromiso difuso de todo el espesor del miometrio ## EPIDEMIOLOGÍA - Prevalencia varía ampliamente de 20-25% de mujeres - Se presenta en 20 % de menores de 40 años - 80 % en mayores de 40 ## CLÍNICA - Sangrado uterino anormal: hipermenorrea - Dismenorrea - PUNTO CARDINAL PARA DISTINCIÓN - Transporte anómalo transespermático ## DIAGNÓSTICO - Ultrasonido transvaginal - Resonancia Magnética - el más indicado - Definitivo - HISTOPATOLÓGICO ## TRATAMIENTO Objetivo: Infertilidad, control del dolor y el SUA. ## LEIOMOIMOAS Son tumores originados de las células del músculo liso, cuando aparecen en el útero, se denominan miomas. Para estudio completo: Ver Archivo de Miomatosis Uterina. ## MALIGNIDAD Las hiperplasias de endometrio con o sin atipias y los tumores malignos epiteliales o mesenquimáticos del cuerpo o cuello uterino son causas infrecuentes de SUA en este grupo de pacientes en edad reproductiva. Para estudio completo: Ver Archivo de Hiperplasia Endometrio y Cáncer Endometrio. (c) Copyright 2021-2022 Joyas ENARM - Todos los derechos reservados - # COAGULOPATÍAS ## DEFINICIÓN Dentro de este título se agrupan diferentes alteraciones de la hemostasia que pueden cursar con SUA como única manifestación o formar parte de un cuadro clínico más complejo. Aproximadamente 13% de las mujeres con SUA, especialmente sangrado menstrual abundante, tienen alguna alteración de la hemostasia, siendo la más frecuente de encontrar la enfermedad de von Willebrand. Alteraciones de la coagulación inducidos por medicamentos (anticoagulantes) que inicialmente se incluían en este grupo debería ser actualmente clasificados como iatrogénicos. ## CLÍNICA - Asintomáticos - Enfermedad de Von Willebrand - Desordenes Hemostáticos (púrpuras) ## DISFUNCIÓN OVULATORIA ## DEFINICIÓN Se agrupan una serie de trastornos endocrinológicos que tienen en común una falla de la ovulación, la producción sostenida de estrógenos y la ausencia de la producción de progesterona por el cuerpo lúteo en forma cíclica. Esto lleva a una proliferación endometrial persistente asociada con la disminución de prostaglandina F2 \alpha, uno de los principales factores relacionados con la hemostasia endometrial. - Endocrinopatías - SOP - Hipotiroidismo - Obesidad - Estrés - Anorexia - Ejercicio extremo - Medicamentos: Dopaminérgicos, antidepresivos, fenotiazinas. ## DIAGNÓSTICO Realizar pruebas de función tiroidea cunado existan hallazgos clínicos sugestivos de enfermedad tiroidea. La hemorragia uterina de origen ANOVULATORIO resulta de una disfunción hipotalámica: FSH y LH Elevada. # ENDOMETRIAL Se define como causa endometrial a aquel sangrado uterino anormal que ocurre en un ciclo ovulatorio normal sin ninguna otra causa de sangrado detectable. - Trastorno de la hemostasia local - Frecuente en adolescentes - Deficiencia de vasoconstrictores endotelina PG F2 - Factor activador del plasminógeno PE2 alfa Prostaciclina - Factores infecciosos - Diagnóstico de exclusión. ## IATROGÉNICO Dentro de esta categoría se agrupan aquellos dispositivos o intervenciones farmacológicas que pueden causar o contribuir al SUA. Dispositivos que afectan directamente al endometrio como los dispositivos intrauterinos (DIU) con cobre o los que liberan levonorgestrel (SIU-Lng) Medicamentos que afectan directamente al endometrio como las progesteronas via oral, sistémica o local. - Hormonales - DIU medicado - Implante - Acción sobre el endometrio - Puede ser de origen de coagulación u ovulatoria, pero causado iatrogénicamente ## NO CLASIFICABLE Se agrupan aquí aquellas condiciones o anormalidades raras o que su rol en la patogénesis de sangrado uterino anormal no está del todo definido. Ejemplos de estos casos son: malformaciones arterio venosas y los istmoceles. - Endometritis - Malformaciones Arteriovenosas - Alteraciones Mullerianas (útero didelfo, de Colix) - Hipertrofia miometrial - Errores bioquímicos del metabolismo.  # TRATAMIENTO SUA OBJETIVO: Suprimir el sangrado, evitar las recurrencias, prevenir la anemia y mejorar la calidad de vida. ## MANEJO MÉDICO ## Antiinflamatorios No Estroideos: AINES (PRIMER PASO) - Iniciarse 3 a 5 días previos al inicio del ciclo menstrual y continuarse 3 a 5 días posterior al inicio del sangrado. - La utilización de AINES deberá ser retirada si no se observa mejoría dentro de los 3 primeros ciclos de tratamiento, y si no hay respuesta en los tres primeros ciclos se deberá pasar a otro tratamiento farmacológico. ## Antifibrinolíticos del tipo Ácido Tranexámico ## MANEJO HORMONAL 1ra elección: Anticonceptivos Orales Combinados o Progestágenos como Medroxiprogesterona. - Controlan la hemorragia uterina - En adolescenetes se debe otorgar microdosis - Si no hay respuesta pensar en el uso de combinación de AINES y otras alternativas. 2da elección: DIU LEVONORGESTREL: recomendado en pacientes con alto riesgo de trombosis y cercanas a menopausia. - Revisión al mes de la inserción y cita cada 6 meses. Danazol o Agonistas de Hormonas Liberadoras de Gonadotropinas. - Indicado en caso de fallas a otros tratamiento debido a sus efectos secundarios. - Los GnRH deben ser limitados a escenarios en los cuales otros tratamientos médicos o quirúrgicos estánc ontraindicados, no estando recomendado su uso continuo mayor de 6 meses. ## MANEJO QUIRÚRGICO ## HISTERECTOMÍA - Falla en el tratamiento médico - Contraindicaciones farmacológicas - Anemia con alteraciones hemodinámicas - Impacto en la calidad de vida ## ABLACIÓN ENDOMETRIAL - Indicaciones: falla en el tratamiento médico, no deseo de embarazo y que no son candidatas a histerectomía. - Útero sin anomalías anatómicas ni histológicas - Fibromas de pequeños elementos (menos de 3 cm de diámetro) - Usar GnRH o Danazol antes de la ablación en la fase proliferativa. # REFERENCIA Serán Enviados A 2o Nivel Con Historia Clínica Y Exploración Física Completa, Además De BH, PIE, USG Pélvico Y Papanicolau: - Hemorragia uterina anormal de origen no anatómico que han recibido terapia médico no hormonal sin respuesta en mínimo 3 ciclos. - Pacientes con hemorragia uterina anormal de origen no anatómico que persistan con episodios de sangrado en quienes se han corregido causas posibles de hemorragia. - Pacientes con sospecha clínica de patología androgénica o tiroidea. - Pacientes con sospecha de coagulopatía. - Pacientes con hemorragia uterina anormal de origen - no anatómico desde la menarca.
Vista previa
Contenido original (Markdown)
# SANGRADO UTERINO ANORMAL ## DEFINICIÓN El Sangrado Uterino Anormal es la variación del ciclo menstrual normal, e incluye cambios en la regularidad, frecuencia del ciclo, y duración del flujo o en la cantidad de sangrado menstrual asociadas a disturbios médicos que sólo pueden ser identificados por una historia clínica orientada a búsqueda de etiología complementando con métodos de laboratorio, gabinete y determinaciones hormonales como por ejemplo coagulopatías, disfunciones ovulatorias o desordenes primarios endometriales. ## TERMINOLOGÍA | DURACIÓN NORMAL | Pérdida de sangrado menstrual de 3 - 7 días. | | :--: | :--: | | CICLO REGULAR | Se presenta con una variación normal de ciclo a ciclo de +2 hasta 20 días. | | CANTIDAD NORMAL | Sangrado menstrual entre 30 - 80 ml por ciclo (promedio 60 ml ) 1 toalla sanitaria nocturna =20 ml | | FRECUENCIA MENSTRUAL NORMAL | Presencia de intervalos de sangrado de 25 -35 días. | Polimenorrea: es un patrón de sangrado periódico y regular, pero con una frecuencia menor a 21 días. Hipomenorrea: son sangrados uterinos regulares, de duración normal, pero en cantidad reducida. Metrorragia: es un sangrado uterino que aparece fuera del periodo menstrual de cantidad es variable. Menorragia: es la pérdida ginecológica excesiva, con características de hemorragia importante, de duración prolongada y que aparece a intervalos regulares Hipermenorrea: son sangrados uterinos regulares, de duración normal, pero en cantidad excesiva (mayor de 80ml ). Oligomenorrea: es un patrón de sangrado periódico pero con una frecuencia mayor a 35 días. ## EPIDEMIOLOGÍA - El SUA es una condición frecuente, el cual tiene un impacto social y económico significativo. - Considerada como la segunda causa de consulta ginecológica, después de las infecciones cervicovaginal; por su origen puede ser de tipo anatómica o disfuncional. \Rightarrow 9 al 14 % de las mujeres en edad reproductiva han tenido ciclos menstruales mayores a 80 mililitros por ciclo menstrual - El tratamiento médico debe ser indicado entodos los casos, y si no hay respuesta al mismo, se decidira tratamiento quirúrgico según el caso. - La causa más frecuente de HEMORRAGIA POST-MENOPAÚSICA es ATROFIA ENDOMETRIAL, sin embargo, siempre se debe descartar que sea por Cáncer de Endometrio. # ETIOLOGÍA La clasificación actual de la hemorragia uterina anormal propuesta por a FIGO en 2011 conocida como PALMCOEIN , estratifica en 9 categorías de acuerdo al acrónimo. ## SANGRADO ANORMAL Pólipos Adenomiosis Leiomioma Malignidad/Hiperplasia  SANGRADO DISFUNCONAL | Coagulopatía | | :-- | | Ovulatory Disfunción | | Endometrial | | latrogénica | | No Clasificada |  ## DIAGNÓSTICO ## GOLD STANDARD: BIOPSIA DE ENDOMETRIO - Descarta patología endometrial por histopatología ## 1ra elección: USG ENDOVAGINAL - Es útil para el diagnóstico de lesiones estructurales focales ya que detecta alteraciones en mujeres premenopáusicas hasta en 97 % de los casos. - Muestra una mayor precisión en las características anatómicas. - Mide el grosor endometrial - Premenopáusicas con sangrado menor de 16 mm - Posmenopáusicas con sanrgrado menor a 5 mm ## MAGNITUD DE PÉRIDA DE SANGRE - TAMPÓN: Absorbe 5 ml . - TOALLA HIGIÉNICA: Aboserbe 15 ml . - Determinación Hematina/Alcalina cuantifica 95-100% de périda. ## ESTUDIOS DE LABORATORIO - Biometría Hemática: puede existir disminución de eritrocitios o hemoglobina - Pruebas de trastornos de coagulación: en menstruación abundante desde la menarca o historia familiar. - PIE: realizar en toda mujer con sangrado uterino anormal con vida sexual activa - Pruebas de función tiroidea: solo que existan hallazgos clínicos sugestivos. - Perfil androgénico: Testosterona total, libre y androstenediona; en caso de sospecha de tumor androgénico. - LH/FSH y Prolactina: si se sospecha anovulación crónica. # PÓLIPOS ## DEFINICIÓN Los pólipos son proliferaciones focales del endometrio constituidos por cantidades variables de glándula, estroma y vasos sanguíneos. Pueden ser de diferentes tamaños, únicos o múltiples, sésiles o pediculados. El componente glandular tiene algún grado de desorden arquitectural y puede ser funcional o atrófico según la edad de la paciente. Puede presentar metaplasia, hiperplasia con o sin atipia o más infrecuentemente carcinoma. El estroma tiene en generalmás componente fibroso y los vasossanguíneos paredes más gruesas que el endometrio circundante  ## OLÍNICA El mecanismo por el cual los pólipos pueden generar SUA no es claro y podría estar relacionado con las mismasteorías que tratan de explicarsu formación. Solo se puede inferirla relación causal en forma indirecta por el alivio de los síntomas de SUA que experimentan la mayoría de las pacientes luego de la polipectomía. - METRORRAGIA (frecuentemente asintomáticos) - Edad: 30 - 60 años ## DIAGNÓSTICO ## 1ra elección: USG TRANSVAGINAL O HISTEROSCOÍA. ## DEFINTIVO - ANATOMOPATOLÓGICO ## TRATAMIENTO - EXTIRPACIÓN QX POR HISTEROSCOPÍA - se realiza histología  - Descartar malignidad # ADENOMIOSIS ## DEFINICIÓN La adenomiosis es la presencia de glándula y estroma endometrial en el espesor del miometrio con hipertrofia e hiperplasia reactiva de las fibras musculares adyacentes. Si bien el diagnóstico es anatomopatológico no existen criterios universalmente aceptados. Adenomiosis es un conjunto de lesiones que afectan la interfase endometrio-miometrio o junctional zone (JZ) y que van desde un ligero engrosamiento de la misma hasta el compromiso difuso de todo el espesor del miometrio ## EPIDEMIOLOGÍA - Prevalencia varía ampliamente de 20-25% de mujeres - Se presenta en 20 % de menores de 40 años - 80 % en mayores de 40 ## CLÍNICA - Sangrado uterino anormal: hipermenorrea - Dismenorrea - PUNTO CARDINAL PARA DISTINCIÓN - Transporte anómalo transespermático ## DIAGNÓSTICO - Ultrasonido transvaginal - Resonancia Magnética - el más indicado - Definitivo - HISTOPATOLÓGICO ## TRATAMIENTO Objetivo: Infertilidad, control del dolor y el SUA. ## LEIOMOIMOAS Son tumores originados de las células del músculo liso, cuando aparecen en el útero, se denominan miomas. Para estudio completo: Ver Archivo de Miomatosis Uterina. ## MALIGNIDAD Las hiperplasias de endometrio con o sin atipias y los tumores malignos epiteliales o mesenquimáticos del cuerpo o cuello uterino son causas infrecuentes de SUA en este grupo de pacientes en edad reproductiva. Para estudio completo: Ver Archivo de Hiperplasia Endometrio y Cáncer Endometrio. (c) Copyright 2021-2022 Joyas ENARM - Todos los derechos reservados - # COAGULOPATÍAS ## DEFINICIÓN Dentro de este título se agrupan diferentes alteraciones de la hemostasia que pueden cursar con SUA como única manifestación o formar parte de un cuadro clínico más complejo. Aproximadamente 13% de las mujeres con SUA, especialmente sangrado menstrual abundante, tienen alguna alteración de la hemostasia, siendo la más frecuente de encontrar la enfermedad de von Willebrand. Alteraciones de la coagulación inducidos por medicamentos (anticoagulantes) que inicialmente se incluían en este grupo debería ser actualmente clasificados como iatrogénicos. ## CLÍNICA - Asintomáticos - Enfermedad de Von Willebrand - Desordenes Hemostáticos (púrpuras) ## DISFUNCIÓN OVULATORIA ## DEFINICIÓN Se agrupan una serie de trastornos endocrinológicos que tienen en común una falla de la ovulación, la producción sostenida de estrógenos y la ausencia de la producción de progesterona por el cuerpo lúteo en forma cíclica. Esto lleva a una proliferación endometrial persistente asociada con la disminución de prostaglandina F2 \alpha, uno de los principales factores relacionados con la hemostasia endometrial. - Endocrinopatías - SOP - Hipotiroidismo - Obesidad - Estrés - Anorexia - Ejercicio extremo - Medicamentos: Dopaminérgicos, antidepresivos, fenotiazinas. ## DIAGNÓSTICO Realizar pruebas de función tiroidea cunado existan hallazgos clínicos sugestivos de enfermedad tiroidea. La hemorragia uterina de origen ANOVULATORIO resulta de una disfunción hipotalámica: FSH y LH Elevada. # ENDOMETRIAL Se define como causa endometrial a aquel sangrado uterino anormal que ocurre en un ciclo ovulatorio normal sin ninguna otra causa de sangrado detectable. - Trastorno de la hemostasia local - Frecuente en adolescentes - Deficiencia de vasoconstrictores endotelina PG F2 - Factor activador del plasminógeno PE2 alfa Prostaciclina - Factores infecciosos - Diagnóstico de exclusión. ## IATROGÉNICO Dentro de esta categoría se agrupan aquellos dispositivos o intervenciones farmacológicas que pueden causar o contribuir al SUA. Dispositivos que afectan directamente al endometrio como los dispositivos intrauterinos (DIU) con cobre o los que liberan levonorgestrel (SIU-Lng) Medicamentos que afectan directamente al endometrio como las progesteronas via oral, sistémica o local. - Hormonales - DIU medicado - Implante - Acción sobre el endometrio - Puede ser de origen de coagulación u ovulatoria, pero causado iatrogénicamente ## NO CLASIFICABLE Se agrupan aquí aquellas condiciones o anormalidades raras o que su rol en la patogénesis de sangrado uterino anormal no está del todo definido. Ejemplos de estos casos son: malformaciones arterio venosas y los istmoceles. - Endometritis - Malformaciones Arteriovenosas - Alteraciones Mullerianas (útero didelfo, de Colix) - Hipertrofia miometrial - Errores bioquímicos del metabolismo.  # TRATAMIENTO SUA OBJETIVO: Suprimir el sangrado, evitar las recurrencias, prevenir la anemia y mejorar la calidad de vida. ## MANEJO MÉDICO ## Antiinflamatorios No Estroideos: AINES (PRIMER PASO) - Iniciarse 3 a 5 días previos al inicio del ciclo menstrual y continuarse 3 a 5 días posterior al inicio del sangrado. - La utilización de AINES deberá ser retirada si no se observa mejoría dentro de los 3 primeros ciclos de tratamiento, y si no hay respuesta en los tres primeros ciclos se deberá pasar a otro tratamiento farmacológico. ## Antifibrinolíticos del tipo Ácido Tranexámico ## MANEJO HORMONAL 1ra elección: Anticonceptivos Orales Combinados o Progestágenos como Medroxiprogesterona. - Controlan la hemorragia uterina - En adolescenetes se debe otorgar microdosis - Si no hay respuesta pensar en el uso de combinación de AINES y otras alternativas. 2da elección: DIU LEVONORGESTREL: recomendado en pacientes con alto riesgo de trombosis y cercanas a menopausia. - Revisión al mes de la inserción y cita cada 6 meses. Danazol o Agonistas de Hormonas Liberadoras de Gonadotropinas. - Indicado en caso de fallas a otros tratamiento debido a sus efectos secundarios. - Los GnRH deben ser limitados a escenarios en los cuales otros tratamientos médicos o quirúrgicos estánc ontraindicados, no estando recomendado su uso continuo mayor de 6 meses. ## MANEJO QUIRÚRGICO ## HISTERECTOMÍA - Falla en el tratamiento médico - Contraindicaciones farmacológicas - Anemia con alteraciones hemodinámicas - Impacto en la calidad de vida ## ABLACIÓN ENDOMETRIAL - Indicaciones: falla en el tratamiento médico, no deseo de embarazo y que no son candidatas a histerectomía. - Útero sin anomalías anatómicas ni histológicas - Fibromas de pequeños elementos (menos de 3 cm de diámetro) - Usar GnRH o Danazol antes de la ablación en la fase proliferativa. # REFERENCIA Serán Enviados A 2o Nivel Con Historia Clínica Y Exploración Física Completa, Además De BH, PIE, USG Pélvico Y Papanicolau: - Hemorragia uterina anormal de origen no anatómico que han recibido terapia médico no hormonal sin respuesta en mínimo 3 ciclos. - Pacientes con hemorragia uterina anormal de origen no anatómico que persistan con episodios de sangrado en quienes se han corregido causas posibles de hemorragia. - Pacientes con sospecha clínica de patología androgénica o tiroidea. - Pacientes con sospecha de coagulopatía. - Pacientes con hemorragia uterina anormal de origen - no anatómico desde la menarca.
Vista previa
Cancelar
Guardar cambios