PDF Processor
Inicio
Editar documento
Editar documento: 6. Síndrome de Ovarios Poliquístico (SOP)
Título
Contenido mejorado
Contenido original
Contenido mejorado por IA (Markdown)
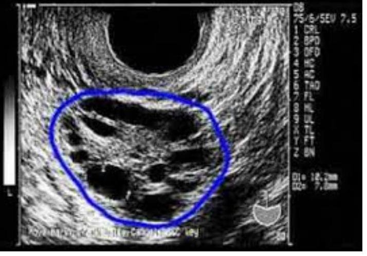
# SÍNDROME DE OVARIO POLIAÚSTICO ## DEFINICIÓN El Síndrome de Ovarios Poliquísticos (SOP) es un síndrome de disfunción ovárica, caracterizado por un hiperandorgenismo clínico o bioquímico, alteraciones menstruales, casi siempre acompañado por alteraciones ováricas identificadas por ultrasondio (poliquistosis). Fue descrito por Stein y Leventhal en 1935. Es un ESTADO DE ANOVULACIÓN CRÓNICA que se relaciona con una producción anormal de estrógenos y una secreción inadecuada de gonadotropinas, con un aumento de la sensibilidad a los pulsos rápidos de GnRH. ## EPIDEMIOLOGÍA - Aproximadamente el 6-10% de las mujeres en edad reproductiva tienen alguna forma de SOP. - Es la principal causa de oligo/anovulación crónica y de esterilidad en el primer mundo. - Los hallazgos incidentales en USG aparecen en 33 % en mujeres asintomáticas. - En el 35 % de los casos coexiste resistencia a la insulina. Complicaciones: Subfertilidad, Diabetes Gestacional, Enfermedad Hipertensiva, Sx Hiperestimulación Ovárica. El SOP Predispone a las siguientes enfermedades: - Síndrome Metabólico - Hiperplasia y Cáncer Endometrio (por oligo y amenorrea sostenida). - Hipertensión en el embarazo y Preeclampsia - Diabetes Mellitus Tipo 2 - (realizar detección ANUAL de alteraciones en el metabolismo de carbohidratos si hay intolerancia a la glucosa) - Diabetes gestacional - Enfermedades Cardiovasculares - Parto Pretérmino. ## FACTORES DE RIESGO - Obesidad y sobrepeso - Antecedente familiar primer grado # FISIOPATOLOGÍA Las dos principales anormalidades hormonales en el SOP son: - ELEVACIÓN DE LH - ELEVACIÓN DE INSULINA. 1. Existe un sinergismo de la elevación de ambas hormonas, lo cual termina por provocar atresia folicular e incapacidad para la formación de estrógenos en el ovario. 2. La hiperestimulación ovárica por la insulina provoca el hiperandrogenismo. 3. Se han identificado en el ovario humano receptores para la insulina y los factores de crecimiento similares a la Insulina Tipo 1 (IGF-1), los cuales son homólogos de los receptores de insulina en un 40 %, pero con menor afinidad, se unen a ella en presencia de ciertas patologías que cursan con estados de resistencia a la insulina e hiperinsulinemia compensatoria. 4. En un círculo vicioso, la HIPERINSULINEMIA incrementa formación de receptores IGF-1 y la hipófisis también tiene receptores para la insulina, por lo que teniendo un estímulo de la insulina, incrementa secreción de LH. 5. La hiperinsulinemia inhibie la producción de la proteína transportadora de hormonas sexuales, lo cual aumenta la proporción de testosterona libre, que a su vez representa la orma activa de la hormona. 6. La conversión periférica de andrógenos a estrona inhibe la secreción de FSH, llevando a ciclos anovulatorios. 7. El eje hipotálamo-hipófisis-adrenal está involucrado en el SOP (40-70%) en donde se elevan los andróngenos suprarrenales circulantes con respuesta inapropiadamente alta durante las pruebas de estimulación con ACTH. 8. Puede tener relación con la elevación de la enzima ovárica Citocroma P450c17 alfa, la cual se relaciona con la biosíntesis de andrógenos e incrementa los niveles de 17-alfa-hidroxiprogesterona.  # CLÍNICA - INFERTILIDAD: Es la afección que más frecuentemente refieren (causada por anovulación). - TRASTORNOS MESTRUALES - Fluctuan durante la pubertad hasta llegar a OLIGOMENORREA o AMENORREA ## EXPLORACIÓN FÍSICA - Obesidad típicamente androide - Hirsutismo - Acné - Alopecia androgénica ## ESCALA DE FERRIMAN Y GALLAWAY  Datos de Resistencia a la Insulina: - Acantosis nigricans - Zonas hiperpigmentadas en nuca, axilas o ingles # DIAGNÓSTICO Existen diversos criterios planteados por consensos y sociedads que se utilizan para diagnosticar el SOP. ## CRITERIOS DEL NIH (recomendados por la GPC) 1. Hiperandorgenismo clínico o hiperandrogenemia 2. Oligoovulación o anovulación 3. Exclusión de trastornos relacionados a Hiperandrogenismo (hiperprolactinemia, desordenes tiroideos, hiperplasia adrenal congénita, tumores secretores de andrógenos, Sx Cushing, deficiencia de 21hidroxilasa, hiperplasia adrenal no clásica, uso de drogas anabólicas o andrógenos, Sx resistencia a la insulina severa) ## CRITERIOS DE AE / PCOS SOCIETY Hirsutismo o Hiperandrogenemia Disfunción ovárica: Ologio o anovulación y/o Ovarios Poliquísticos Exclsuión de trastornos relacionados a hiperandrogenemia ## CRITERIOS DE ESHRE/ASRM (DE ROTERDAM) Debe incluir 2 de las siguientes 3 características, después de la exclusión de otros trastornos relacionados: 1. Oligoovulación o Anovulación 2. Datos clínicos o bioquímicos de hiperandrogenismo 3. Ovarios Poliquísticos por imagen ## ESTUDIO DE IMAGEN ## ULTRASONIDO PÉLVICO Presencia de 12 o más folículos Con diámetro 2-9 mm  Volumen Ovárico +10ml # ESTUDIOS HORMONALES La medición sérica de andrógenos, incluyendo la testosterona libre debe ser usada solo como herramienta coadyuvante de trastornos hiperandrogénicos y no como criterio único de diagnóstico.  ## LH/FSH - La LH se eleva y estimula la producción de andrógenos por las células de la teca, provocando un aumento de la androstenediona y testosterona de origen ovárico (causando atresia de folículos en desarrollo) - La conversión periférica de andrógenos provoca aumento de Estrógenos, ihibiendo liberación de FSH. - Relación LH/FHS > 2.5 ## TESTOSTERONA TOTAL - Puede estar normal o moderadamente elevada en el SOP. - En niveles superiores de 60 ng / dLL es sospechoso para SOP. - Nivel elevado: realizar prueba de 17-hidroxiprogesterona para descartar otro origen. ## GLOBULINA FIJADORA DE HORMONAS SEXUALES (SHBG) - Es normal o tiende a la baja en mujeres con SOP (menor a 3.4 nmol / L ) - Porporciona una medida sustituta del grado de hiperinsulinemia. ## ÍNDICE DE ANDRÓGENOS LIBRES - Este es normal o elevado en mujeres con SOP (normalmente es inferior a 5) - Porporciona evaluación de la cantidad de testosterona presente fisiológicamente activa. ## INSULINA Se presenta una hiperinsulinemia, secundaria a la resistencia de insulina. - No se considera diagnóstico pero la identificación permite conocer aquellas pacientes que se beneficiaran de la reducción de insulina. - Se recomienda realizar carga oral de glucosa con 75 gramos. ## SÍNDROME METABÓLICO | Presión Arterial | >135 / 80 | | :--: | :--: | | Circunferencia De Cadera | >90 ~cm | | Glucosa En Ayuno | >100 | | HDL | <50 | | Triglicéridos | >150 | - Evluar perfil de Lípidos ABORDAJE PARACLÍNICO: LH, FSH, Testosterona Totla, Dehidroepiandrosterona, Curva de Tolerancia a la Glucosa, Progesterona, Prolactina, TSH. # TRATAMIENTO ## 1ra elección: DIETA Y EJERCICIO - Indicado en mujeres con sobrepeso y SOP. Debe iniciarse previo al uso de inducción a ovulación. - Reduce el hiperinsulinismo e hiperandrogenismo - Reduce el riesgo de DM2 y enfermedad cardiovascular - Regulariza la menstruación ## METFORMINA - Mejora la sensibilidad a la insulina, con beneficios para las tasas de ovulación y embarazo, sin embargo, no se recomienda como manejo único para la ovulación. - Disminuyen concentración de LH. ## INFERTILIDAD ## ANTIESTRÓGENOS ## 1ra elección: CITRATO DE CLOMIFENO - Aumenta la ovulación y las tasas de embarazo. - Usar durante \mathbf{1 2} meses en pacientes con deseo de embarazo. - Otro: TAMOXIFENO (si hay resistencia - Gonadotropinas sintéticas (FSH) ) - OBJETIVO: generar NO MÁS DE 3 FOLÍCULOS con posibilidad de ovular en cada ciclo inducido con el fin de minimizar el riesgo de Síndrome de Hiperestimulación Ovárica o Embarazo Múltiple. ## HIRSUTISMO Se tuilizan antiandrógenos en combinación de anticonceptivos orales. ## 1ra elección: ACETATO DE CIPROTERONA + ETINILESTRADIOL. - Es un potente progestágeno de larga acción que inhibe la liberación de Gonadotropina y compite por la unión con los receptores de andrógenos. Debe darse combinada como píldora anticonceptiva. - Indicado para Hirsutismos Leves. OTROS: - FLUTAMIDA: antiandrogénico no esteroideo que carece de otra actividad hormonal. Efecto secundario Hepatotoxicidad. - Epironolactona: efectivo para disminuir el grado de hirsutismo. - Finasterida: Bloqueador 5-alfa reductasa, responsable de convertir testosterona en dihidrotestosterona (escasos efectos secundarios, pero no mayor efecto anti hirsutismo) Efecto en feto: FEMINIZACIÓN DE FETOS MASCULINOS Ante cualquier tratamiento antiandrogénico en mujeres fértiles, debe asegurarse la anticoncepción efectiva para evitar riesgo de feminización de feto masculino. Los antiandrógenos de efecto prolongado deben suspenderse al menos 2 meses antes de buscar el embarazo. # PROFILAXIS CÁNCER DE ENDOMETRIO La oligo o amenorrea se asocia a hiperplasia y cáncer de endometrio. - Iniciar PROGESTÁGENOS para inducir hemorragia por deprivación por lo menos cada 3 - 4 meses en SOP. ## QUIRÚRGICO ## Cirugía Laparoscópica con Diatermia o Laser - Destrucción ovárica parcial con cauterización o láser vía laparoscópica (disminuye porducción andrógenos), pequeñas incisiones en el ovario para disminuir la cuenta folicular. - Está indicado para inducir la ovulación en pacientes que no responden al tratamiento con Antiestrógenos o que serán sometidas a laparoscopía. Efectos secundarios: adherencias y falla ovárica prematura.
Vista previa
Contenido original (Markdown)
# SÍNDROME DE OVARIO POLIAÚSTICO ## DEFINICIÓN El Síndrome de Ovarios Poliquísticos (SOP) es un síndrome de disfunción ovárica, caracterizado por un hiperandorgenismo clínico o bioquímico, alteraciones menstruales, casi siempre acompañado por alteraciones ováricas identificadas por ultrasondio (poliquistosis). Fue descrito por Stein y Leventhal en 1935. Es un ESTADO DE ANOVULACIÓN CRÓNICA que se relaciona con una producción anormal de estrógenos y una secreción inadecuada de gonadotropinas, con un aumento de la sensibilidad a los pulsos rápidos de GnRH. ## EPIDEMIOLOGÍA - Aproximadamente el 6-10% de las mujeres en edad reproductiva tienen alguna forma de SOP. - Es la principal causa de oligo/anovulación crónica y de esterilidad en el primer mundo. - Los hallazgos incidentales en USG aparecen en 33 % en mujeres asintomáticas. - En el 35 % de los casos coexiste resistencia a la insulina. Complicaciones: Subfertilidad, Diabetes Gestacional, Enfermedad Hipertensiva, Sx Hiperestimulación Ovárica. El SOP Predispone a las siguientes enfermedades: - Síndrome Metabólico - Hiperplasia y Cáncer Endometrio (por oligo y amenorrea sostenida). - Hipertensión en el embarazo y Preeclampsia - Diabetes Mellitus Tipo 2 - (realizar detección ANUAL de alteraciones en el metabolismo de carbohidratos si hay intolerancia a la glucosa) - Diabetes gestacional - Enfermedades Cardiovasculares - Parto Pretérmino. ## FACTORES DE RIESGO - Obesidad y sobrepeso - Antecedente familiar primer grado # FISIOPATOLOGÍA Las dos principales anormalidades hormonales en el SOP son: - ELEVACIÓN DE LH - ELEVACIÓN DE INSULINA. 1. Existe un sinergismo de la elevación de ambas hormonas, lo cual termina por provocar atresia folicular e incapacidad para la formación de estrógenos en el ovario. 2. La hiperestimulación ovárica por la insulina provoca el hiperandrogenismo. 3. Se han identificado en el ovario humano receptores para la insulina y los factores de crecimiento similares a la Insulina Tipo 1 (IGF-1), los cuales son homólogos de los receptores de insulina en un 40 %, pero con menor afinidad, se unen a ella en presencia de ciertas patologías que cursan con estados de resistencia a la insulina e hiperinsulinemia compensatoria. 4. En un círculo vicioso, la HIPERINSULINEMIA incrementa formación de receptores IGF-1 y la hipófisis también tiene receptores para la insulina, por lo que teniendo un estímulo de la insulina, incrementa secreción de LH. 5. La hiperinsulinemia inhibie la producción de la proteína transportadora de hormonas sexuales, lo cual aumenta la proporción de testosterona libre, que a su vez representa la orma activa de la hormona. 6. La conversión periférica de andrógenos a estrona inhibe la secreción de FSH, llevando a ciclos anovulatorios. 7. El eje hipotálamo-hipófisis-adrenal está involucrado en el SOP (40-70%) en donde se elevan los andróngenos suprarrenales circulantes con respuesta inapropiadamente alta durante las pruebas de estimulación con ACTH. 8. Puede tener relación con la elevación de la enzima ovárica Citocroma P450c17 alfa, la cual se relaciona con la biosíntesis de andrógenos e incrementa los niveles de 17-alfa-hidroxiprogesterona.  # CLÍNICA - INFERTILIDAD: Es la afección que más frecuentemente refieren (causada por anovulación). - TRASTORNOS MESTRUALES - Fluctuan durante la pubertad hasta llegar a OLIGOMENORREA o AMENORREA ## EXPLORACIÓN FÍSICA - Obesidad típicamente androide - Hirsutismo - Acné - Alopecia androgénica ## ESCALA DE FERRIMAN Y GALLAWAY  Datos de Resistencia a la Insulina: - Acantosis nigricans - Zonas hiperpigmentadas en nuca, axilas o ingles # DIAGNÓSTICO Existen diversos criterios planteados por consensos y sociedads que se utilizan para diagnosticar el SOP. ## CRITERIOS DEL NIH (recomendados por la GPC) 1. Hiperandorgenismo clínico o hiperandrogenemia 2. Oligoovulación o anovulación 3. Exclusión de trastornos relacionados a Hiperandrogenismo (hiperprolactinemia, desordenes tiroideos, hiperplasia adrenal congénita, tumores secretores de andrógenos, Sx Cushing, deficiencia de 21hidroxilasa, hiperplasia adrenal no clásica, uso de drogas anabólicas o andrógenos, Sx resistencia a la insulina severa) ## CRITERIOS DE AE / PCOS SOCIETY Hirsutismo o Hiperandrogenemia Disfunción ovárica: Ologio o anovulación y/o Ovarios Poliquísticos Exclsuión de trastornos relacionados a hiperandrogenemia ## CRITERIOS DE ESHRE/ASRM (DE ROTERDAM) Debe incluir 2 de las siguientes 3 características, después de la exclusión de otros trastornos relacionados: 1. Oligoovulación o Anovulación 2. Datos clínicos o bioquímicos de hiperandrogenismo 3. Ovarios Poliquísticos por imagen ## ESTUDIO DE IMAGEN ## ULTRASONIDO PÉLVICO Presencia de 12 o más folículos Con diámetro 2-9 mm  Volumen Ovárico +10ml # ESTUDIOS HORMONALES La medición sérica de andrógenos, incluyendo la testosterona libre debe ser usada solo como herramienta coadyuvante de trastornos hiperandrogénicos y no como criterio único de diagnóstico.  ## LH/FSH - La LH se eleva y estimula la producción de andrógenos por las células de la teca, provocando un aumento de la androstenediona y testosterona de origen ovárico (causando atresia de folículos en desarrollo) - La conversión periférica de andrógenos provoca aumento de Estrógenos, ihibiendo liberación de FSH. - Relación LH/FHS > 2.5 ## TESTOSTERONA TOTAL - Puede estar normal o moderadamente elevada en el SOP. - En niveles superiores de 60 ng / dLL es sospechoso para SOP. - Nivel elevado: realizar prueba de 17-hidroxiprogesterona para descartar otro origen. ## GLOBULINA FIJADORA DE HORMONAS SEXUALES (SHBG) - Es normal o tiende a la baja en mujeres con SOP (menor a 3.4 nmol / L ) - Porporciona una medida sustituta del grado de hiperinsulinemia. ## ÍNDICE DE ANDRÓGENOS LIBRES - Este es normal o elevado en mujeres con SOP (normalmente es inferior a 5) - Porporciona evaluación de la cantidad de testosterona presente fisiológicamente activa. ## INSULINA Se presenta una hiperinsulinemia, secundaria a la resistencia de insulina. - No se considera diagnóstico pero la identificación permite conocer aquellas pacientes que se beneficiaran de la reducción de insulina. - Se recomienda realizar carga oral de glucosa con 75 gramos. ## SÍNDROME METABÓLICO | Presión Arterial | >135 / 80 | | :--: | :--: | | Circunferencia De Cadera | >90 ~cm | | Glucosa En Ayuno | >100 | | HDL | <50 | | Triglicéridos | >150 | - Evluar perfil de Lípidos ABORDAJE PARACLÍNICO: LH, FSH, Testosterona Totla, Dehidroepiandrosterona, Curva de Tolerancia a la Glucosa, Progesterona, Prolactina, TSH. # TRATAMIENTO ## 1ra elección: DIETA Y EJERCICIO - Indicado en mujeres con sobrepeso y SOP. Debe iniciarse previo al uso de inducción a ovulación. - Reduce el hiperinsulinismo e hiperandrogenismo - Reduce el riesgo de DM2 y enfermedad cardiovascular - Regulariza la menstruación ## METFORMINA - Mejora la sensibilidad a la insulina, con beneficios para las tasas de ovulación y embarazo, sin embargo, no se recomienda como manejo único para la ovulación. - Disminuyen concentración de LH. ## INFERTILIDAD ## ANTIESTRÓGENOS ## 1ra elección: CITRATO DE CLOMIFENO - Aumenta la ovulación y las tasas de embarazo. - Usar durante \mathbf{1 2} meses en pacientes con deseo de embarazo. - Otro: TAMOXIFENO (si hay resistencia - Gonadotropinas sintéticas (FSH) ) - OBJETIVO: generar NO MÁS DE 3 FOLÍCULOS con posibilidad de ovular en cada ciclo inducido con el fin de minimizar el riesgo de Síndrome de Hiperestimulación Ovárica o Embarazo Múltiple. ## HIRSUTISMO Se tuilizan antiandrógenos en combinación de anticonceptivos orales. ## 1ra elección: ACETATO DE CIPROTERONA + ETINILESTRADIOL. - Es un potente progestágeno de larga acción que inhibe la liberación de Gonadotropina y compite por la unión con los receptores de andrógenos. Debe darse combinada como píldora anticonceptiva. - Indicado para Hirsutismos Leves. OTROS: - FLUTAMIDA: antiandrogénico no esteroideo que carece de otra actividad hormonal. Efecto secundario Hepatotoxicidad. - Epironolactona: efectivo para disminuir el grado de hirsutismo. - Finasterida: Bloqueador 5-alfa reductasa, responsable de convertir testosterona en dihidrotestosterona (escasos efectos secundarios, pero no mayor efecto anti hirsutismo) Efecto en feto: FEMINIZACIÓN DE FETOS MASCULINOS Ante cualquier tratamiento antiandrogénico en mujeres fértiles, debe asegurarse la anticoncepción efectiva para evitar riesgo de feminización de feto masculino. Los antiandrógenos de efecto prolongado deben suspenderse al menos 2 meses antes de buscar el embarazo. # PROFILAXIS CÁNCER DE ENDOMETRIO La oligo o amenorrea se asocia a hiperplasia y cáncer de endometrio. - Iniciar PROGESTÁGENOS para inducir hemorragia por deprivación por lo menos cada 3 - 4 meses en SOP. ## QUIRÚRGICO ## Cirugía Laparoscópica con Diatermia o Laser - Destrucción ovárica parcial con cauterización o láser vía laparoscópica (disminuye porducción andrógenos), pequeñas incisiones en el ovario para disminuir la cuenta folicular. - Está indicado para inducir la ovulación en pacientes que no responden al tratamiento con Antiestrógenos o que serán sometidas a laparoscopía. Efectos secundarios: adherencias y falla ovárica prematura.
Vista previa
Cancelar
Guardar cambios