PDF Processor
Inicio
Editar documento
Editar documento: 12. Patología Benigna de Mama
Título
Contenido mejorado
Contenido original
Contenido mejorado por IA (Markdown)
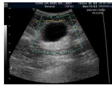
# PATOLOGÍA MAMARIA BENIGNA ## DEFINICIÓN Se entiende por patología benigna mamaria a un grupo de alteraciones en el tejido mamario las cuales no tienen la capacidad de diseminarse, que responden a mecanismos de tipo hormonal, factores externos como son los hábitos nutricionales y estilos de vida que interactúan entre si creando un grupo de signos y síntomas muy variados que se manifiestan por dolor mamario, masas, nodularidad, turgencia, irritabilidad, secreción y descarga por el pezón y/o inflamación e infección, que en algunos casos pueden elevar el riesgo de patología mamaria maligna. ## EPIDEMIOLOGÍA - Más de la mitad de todas las mujeres desarrollan alguna forma de enfermedad benigna después de los 20 años. - El Ca de Mama en México se encuentra en un 12% en edad reprocutiva (Mastografía con limitación). - Los tumores constituyen el 20% de la patología mamaria, los hay de contenido sólido y líquido. - El FIBROADENOMA MAMARIO es el tumor benigno más frecuente. Las condiciones más frecuentes son: - Mastalgia - Fibroadenoma (FAM) - Condición Fibroquísitica (CF) - Papiloma Intraductal - Mastitis. ## FACTORES DE RIESGO - BRCA1 y BRCA2 - Anticonceptivos Orales y Terapia de reepmplazo hormonal - Gestación y lactancia - Menstruación, perimenopausia y posmenopausia - Hiperestrogenismo - Tabaquismo - Dietas ricas en grasa. # DETECCIÓN - La edad recomendable para el inicio del examen médico mamario rutinario es a partir de los 19 años. - En pacientes con BRCA1 y BRCA2 deben iniciar la exploración médica mamaria entre los 18 a 21 años de edad. ## EXPLROACIÓN CLÍNICA MAMARIA 1. Realizar entre el 50 y 70 día posterior a la menstruación (en menopáusicas puede ser un día fijo). 2. Se inicia con la Inspección de la pacientes sentada, con las manos en la cadera y posteriormente brazos a la cabeza. 3. Se explora el tamaño de las mamas, su simetría, lesiones ulcerativas, hoyuelos, resequedad de piel, retracciones, masas visibles, o eritema, la palpación mamaria puede ser en posición supina explorando completamente y sistemáticamente la mama, en forma circular, vertical u horizontal. Incluyendo la expresión del pezón y la exploración de ganglios axilares ## TRASTORNOS FUNCIONALES ## TELORREA Es la secreción espontánea pero no fisiológica procedente del pezón. Se encuentran diferentes tipos de secreción según el aspecto macroscópico de la misma. - Secreción Grumosa: la secreción es pegajosa y de aspecto hemorrágico. Puede ocurrir a cualquier edad pero es más frecuente en mujeres menopáusicas o perimenopáusicas y en presencia de mastopatía fibroquística. - Secreción Purulenta: puede manifestarse en los distintos tipos de mastitis. - Secreción Acuosa: es poco frecuente y suele sugerir una lesión maligna, por lo que se aconsejan estudios para descartar este diagnóstico. - Secreciones Serosas, Serosanguinolentas y Hemorrágicas: son los tipos más frecuentes. Su causa principal, sobre todo en unilaterales, es el PAPILOMA INTRADUCTAL.El pico de incidencia es en torno a los 40 años, pero a partir de los 50, la lesión más frecuente es el carcinoma y está indicada la biopsia siempre que se palpe algún nódulo. - Secreción Lechosao Galactorrea: se caracteriza por ser bilateral y pluriporificial. Asociada o no a hiperprolactinemia. # TRASTORNOS INFLAMATORIOS ## MASTITIS Las mastitis puerperales agudas son la forma más habitual de aparición, aunque ha aumentado la frecuencia de mastitis agudas no asociadas con la lactancia. Gérmenes más frecuentes: - S. aureus - S. epidermidis - Estreptococos. La infección puede progresar y originar un absceso que requiere drenaje quirúrgico. El diagnóstico diferencial ha de establecerse con el carcinoma inflamatorio, que no suele acompañarse de fiebre, pero en caso de duda se realiza biopsia.  ## TRATAMIENTO 1. Manejo Sintomático 2. Dicloxacilina (en caso de alergia, Eritromicina) ## ENFERMEDAD DE MONDOR Que consiste en una tromboblebitis de las venas subcutáneas de la pared torácica secundaria a un trauma local. Puede persistir varios meses, pero no requiere tratamiento. ## MASTODINIA Consiste en un dolor mamario cíclico que AUMENTA EN EL PERIODO PREMENSTRUAL y se alivia tras la menstruación. La mastodinia es el principal síntoma de las Mastopatía Fibroquística. Debe distinguirse del dolor mamario en general (Mastalgia); siempre que exista dolor, se debe descartar la existencia de patología mamaria subyacente. # MASTOPATÍA FIBROQUÍSTICA/DISTLASIA MAMARIA ## DEFINICIÓN Se trata de una enfermedad benigna y crónica, caracterizada por una alteración en la proliferación del estroma y del parénquima mamario, desarrollando tumores o quistes palpables. - Es la patología más frecuente en la mujer premenopáusica y es muy rara después de la menopausia. Su etiología es desconocida, proponiéndose una influencia de un desequilibrio hormonal, con hiperestrogenismo, aunque no es constante. ## CLÍNICA No hay una clínica específica para la Mastopatía Fibroquística. ## DOLOR MAMARIO (el más frecuente) - Suele ser premenestrual y mejora con la menstruación (MASTODINIA) - El dolor es bilateral - Pueden aparecer induración o nódulos palpables. - Secreción de pezón. El embarazo y la lactancia ponen en reposo la MFQ. ## CLASIFICACIÓN Para determinar el riesgo de degeneración a cáncer de mama, se valora la existencia de proliferación del componente epitelial y si hay atipia o no en esa proliferación, distinguiéndose 3 tipos de MFQ. | NO PROLIFERATIVA | 68 % | | :-- | :--: | | PROLIFERATIVA SIN ATIPIA | 26 % | | PROLIFERATIVA CON ATIPIA | 4 % | | Lesiones No Proliferativas | - Fibroadenoma (Tumor más común) - Quistes - Hiperplasia Leve o Usual - Calcificaciones Epiteliales - Papila con Cambios Apocrinos | | :--: | :--: | | Lesiones Proliferativas Sin Atipia | - Adenosis Esclerosante - Lesiones Radiales y Esclerosantes Complejas - Hiperplasia Moderada y Florida Usual - Papilomas Intraductuales | | Lesiones Proliferativas Con Atipia | - Hiperplasia Lobular Atípica - Hiperplasia Ductal Atípica | La mayoría de los cambios que se producen en la displasia no se relacionan con un aumento en la incidencia de cáncer de mama. El riesgo de cáncer está moderadamente aumentado en los tipos proliferativos con atipia, que son la hiperplasia ductal atípica y la hiperplasia lobulillar atípica. # DIAGNÓSTICO ## Clínica + Ecografía (o Mastografía) + Estudio Microscópico (citología e histología) ## PUNCIÓN-ASPIRACIÓN - Indicado en mastopatía fibroquístico de predominio nodular-quístico - Ofrece garantía diagnóstica, puesto que cura el quiste tras evacuación del contenido. ## TRATAMIENTO 1. En general la mastopatía fibroquística no requiere tx. 2. Se debe explicar a la paciente la benignidad del proceso y tranquiliza. 3. Tx médico - Progestágenos en la 29 fase del ciclo para compensar el hiperestronismo. 4. Pueden ser útiles progestágenos en gel para tx local y aceite de onagra. # FIBROADENOMA ## DEFINICIÓN Son masas circunscritas nítidamente, móviles y usualmente solitarias que ocurren comúnmente antes de los 30 años, aumentan su tamaño con el embarazo y suelen presentar regresión y calcificación posmenopáusicas. Es el tumor benigno más frecuente de la mama, formado por la proliferación de elementos epiteliales y mesenquimatosos bien diferenciados, predominando su carácter fibroso frente al glandular. Es pseudoencapsulado, bien delimitado del tejido mamario adyacente, móvil, esférico u ovoide, aunque puede ser multilobulado. ## EPIDEMIOLOGÍA - Se observa frecuentemente entre 20-40 años - Puede aparecer durante el embrazo - En menores de 35 años las masas mamarias son usualmente un Fibroadenoma. ## DIAGNOSTICO Clínica del nódulo de características benignas ## 1ra elección: ULTRASONIDO - Al tratarse de padecimiento en mujeres jóvenes será la técnica de elección para confirmar. - Patrón típico con nódulo sólido, regular, de bordes bien delimitados, ovoide, hipoecoico. - Calcificaciones grandes, gruesas, que aumentan con el tiempo. ## MASTOGRAFÍA - Tiene un papel limitado debido a que en las mujeres jóvenes la mama es radiológicamente muy densa, dificultando la valoración de las imágenes. - La imagen típica en mastografía es "palomitas de maíz". ## RIESGO DE CÁNCER - Aumenta si el Fibroadenoma es complejo - La mayoría no hay aumento en riesgo  - Lesiones bien definidas - Si se encuentran datos de MICROCALCIFICACIONES - Tomar biopsia. # TRATAMIENTO ## 1ra elección: Seguimiento clínico y por USG ANUAL ## Extirpación Quirúrgica: - Tamaño superior a 2 cm - Rápido crecimiento - Duda diagnóstica - Cancerofobia ## ADENOMA - Es un tumor bien delimitado, compuesto de elementos epiteliales diferenciados con escaso estroma. - No es frecuente y afecta sobre todo a mujeres jóvenes. ## TRATAMIENTO 1ra elección: Extirpación completa de la lesión. # PAPILOMA INTRADUCTUAL Se trata de proliferaciones exofíticas de células epiteliales de los conductos galactóforos sobre un eje fibrovascular. | PAPILOMA SOLITARIO | PAPILOMATOSIS MÚLTIPLE | | :--: | :--: | | Afecta a los conductos principales, localizándose a 1-2 cm del pezón. - Suele aparecer en mujeres premenopáusicas. - Es la causa más frecuente de telorrea. - No se asocia a riesgo de cáncer de mama CLÍNICA Telorrea sanguinolenta uriorificial espontánea, sin tumor palpable. TRATAMIENTO Extirpación quirúrgica del conducto que produce la telorragia. Suele recidivar. | Afecta a varios conductos y se origina en las unidades lobulillares terminales. - Se asocia a hiperplasia epitelial atípica. - Aparece en mujeres más jóvenes que el papiloma solitario. CLÍNICA No es tan habitual la presencia de telorrea. TRATAMIENTO Exéresis quirúrgica de una zona amplia alrededor de la lesión. 40%de los casos se asocian a Cáncer de Mama |  # GUESTE MAMARIO - Se suelen presentar en el contexto de la mastografía fibroquística y son MUY frecuentes. - La máxima incidencia se da entre los 40 - 50 años. GALACTOSELES: son una variante en donde los quistes de leche en mamas lactantes que cesan su actividad. ## CLÍNICA - TUMORACIONES INDOLORAS. - Se palpan de forma redondeada, lisa, móvil, no adherida, sensible y a la presión se nota tensión e incluso fluctuación. ## DIAGNÓSTICO ## 1ra elección: USG - Se visualizan nódulos anecogénicos de limites muy precisos. - Morfología regular y refuerzo posterior. ## TRATAMIENTO  ## ASPIRACIÓN POR PUNCIÓN Si un quiste mamario es palpable y visible, debe ser aspirado por punción. - Si su aspiración arroja líquido claro, transparente y sin sangre, no es necesaria la citología del líquido. - Requiere cita en 6 semanas para seguimiento. Si el quiste es un hallazgo únicamente por USG, no es necesaria su punción. ## PROCEDIMIENTO QUIRÚRGICO Si un quiste se resuelve posterior a la aspiración con un conteo por USG, no requiere mayor tratamiento. Si el quiste no desaparece posterior a la aspiración o existe recurrencia dentro de 6 semanas, se realiza una REMOCIÓN QUIRÚRGICA DEL QUISTE. # ECTASIA DUCTAL Aparece en mujeres perimenopáusicas y menopáusicas, más frecuentemente en fumadoras. Se presenta por dilatación de los ductos subareolares principales Da lugar a una secreción por el pezón, que si se infecta, puede abscesificar y fistulizar a piel. ## TRATAMIENTO - Extirpación quirúrgica. ## TUMOR PHYLLODES - Aparece en la 4 - 5 década de la vida. - Crecimiento rápido - Riesgo aumentado Sx Li-Fraumeni - Comportamiento Limítrofe benigno y maligno.  Figura 2: TF borderline recalcicado. ## TRATAMIENTO - Cirugía local RESECCIÓN AMPLIA margen mínimo 1 cm . - Pronóstico adverso puede ser tx paliativo.
Vista previa
Contenido original (Markdown)
# PATOLOGÍA MAMARIA BENIGNA ## DEFINICIÓN Se entiende por patología benigna mamaria a un grupo de alteraciones en el tejido mamario las cuales no tienen la capacidad de diseminarse, que responden a mecanismos de tipo hormonal, factores externos como son los hábitos nutricionales y estilos de vida que interactúan entre si creando un grupo de signos y síntomas muy variados que se manifiestan por dolor mamario, masas, nodularidad, turgencia, irritabilidad, secreción y descarga por el pezón y/o inflamación e infección, que en algunos casos pueden elevar el riesgo de patología mamaria maligna. ## EPIDEMIOLOGÍA - Más de la mitad de todas las mujeres desarrollan alguna forma de enfermedad benigna después de los 20 años. - El Ca de Mama en México se encuentra en un 12% en edad reprocutiva (Mastografía con limitación). - Los tumores constituyen el 20% de la patología mamaria, los hay de contenido sólido y líquido. - El FIBROADENOMA MAMARIO es el tumor benigno más frecuente. Las condiciones más frecuentes son: - Mastalgia - Fibroadenoma (FAM) - Condición Fibroquísitica (CF) - Papiloma Intraductal - Mastitis. ## FACTORES DE RIESGO - BRCA1 y BRCA2 - Anticonceptivos Orales y Terapia de reepmplazo hormonal - Gestación y lactancia - Menstruación, perimenopausia y posmenopausia - Hiperestrogenismo - Tabaquismo - Dietas ricas en grasa. # DETECCIÓN - La edad recomendable para el inicio del examen médico mamario rutinario es a partir de los 19 años. - En pacientes con BRCA1 y BRCA2 deben iniciar la exploración médica mamaria entre los 18 a 21 años de edad. ## EXPLROACIÓN CLÍNICA MAMARIA 1. Realizar entre el 50 y 70 día posterior a la menstruación (en menopáusicas puede ser un día fijo). 2. Se inicia con la Inspección de la pacientes sentada, con las manos en la cadera y posteriormente brazos a la cabeza. 3. Se explora el tamaño de las mamas, su simetría, lesiones ulcerativas, hoyuelos, resequedad de piel, retracciones, masas visibles, o eritema, la palpación mamaria puede ser en posición supina explorando completamente y sistemáticamente la mama, en forma circular, vertical u horizontal. Incluyendo la expresión del pezón y la exploración de ganglios axilares ## TRASTORNOS FUNCIONALES ## TELORREA Es la secreción espontánea pero no fisiológica procedente del pezón. Se encuentran diferentes tipos de secreción según el aspecto macroscópico de la misma. - Secreción Grumosa: la secreción es pegajosa y de aspecto hemorrágico. Puede ocurrir a cualquier edad pero es más frecuente en mujeres menopáusicas o perimenopáusicas y en presencia de mastopatía fibroquística. - Secreción Purulenta: puede manifestarse en los distintos tipos de mastitis. - Secreción Acuosa: es poco frecuente y suele sugerir una lesión maligna, por lo que se aconsejan estudios para descartar este diagnóstico. - Secreciones Serosas, Serosanguinolentas y Hemorrágicas: son los tipos más frecuentes. Su causa principal, sobre todo en unilaterales, es el PAPILOMA INTRADUCTAL.El pico de incidencia es en torno a los 40 años, pero a partir de los 50, la lesión más frecuente es el carcinoma y está indicada la biopsia siempre que se palpe algún nódulo. - Secreción Lechosao Galactorrea: se caracteriza por ser bilateral y pluriporificial. Asociada o no a hiperprolactinemia. # TRASTORNOS INFLAMATORIOS ## MASTITIS Las mastitis puerperales agudas son la forma más habitual de aparición, aunque ha aumentado la frecuencia de mastitis agudas no asociadas con la lactancia. Gérmenes más frecuentes: - S. aureus - S. epidermidis - Estreptococos. La infección puede progresar y originar un absceso que requiere drenaje quirúrgico. El diagnóstico diferencial ha de establecerse con el carcinoma inflamatorio, que no suele acompañarse de fiebre, pero en caso de duda se realiza biopsia.  ## TRATAMIENTO 1. Manejo Sintomático 2. Dicloxacilina (en caso de alergia, Eritromicina) ## ENFERMEDAD DE MONDOR Que consiste en una tromboblebitis de las venas subcutáneas de la pared torácica secundaria a un trauma local. Puede persistir varios meses, pero no requiere tratamiento. ## MASTODINIA Consiste en un dolor mamario cíclico que AUMENTA EN EL PERIODO PREMENSTRUAL y se alivia tras la menstruación. La mastodinia es el principal síntoma de las Mastopatía Fibroquística. Debe distinguirse del dolor mamario en general (Mastalgia); siempre que exista dolor, se debe descartar la existencia de patología mamaria subyacente. # MASTOPATÍA FIBROQUÍSTICA/DISTLASIA MAMARIA ## DEFINICIÓN Se trata de una enfermedad benigna y crónica, caracterizada por una alteración en la proliferación del estroma y del parénquima mamario, desarrollando tumores o quistes palpables. - Es la patología más frecuente en la mujer premenopáusica y es muy rara después de la menopausia. Su etiología es desconocida, proponiéndose una influencia de un desequilibrio hormonal, con hiperestrogenismo, aunque no es constante. ## CLÍNICA No hay una clínica específica para la Mastopatía Fibroquística. ## DOLOR MAMARIO (el más frecuente) - Suele ser premenestrual y mejora con la menstruación (MASTODINIA) - El dolor es bilateral - Pueden aparecer induración o nódulos palpables. - Secreción de pezón. El embarazo y la lactancia ponen en reposo la MFQ. ## CLASIFICACIÓN Para determinar el riesgo de degeneración a cáncer de mama, se valora la existencia de proliferación del componente epitelial y si hay atipia o no en esa proliferación, distinguiéndose 3 tipos de MFQ. | NO PROLIFERATIVA | 68 % | | :-- | :--: | | PROLIFERATIVA SIN ATIPIA | 26 % | | PROLIFERATIVA CON ATIPIA | 4 % | | Lesiones No Proliferativas | - Fibroadenoma (Tumor más común) - Quistes - Hiperplasia Leve o Usual - Calcificaciones Epiteliales - Papila con Cambios Apocrinos | | :--: | :--: | | Lesiones Proliferativas Sin Atipia | - Adenosis Esclerosante - Lesiones Radiales y Esclerosantes Complejas - Hiperplasia Moderada y Florida Usual - Papilomas Intraductuales | | Lesiones Proliferativas Con Atipia | - Hiperplasia Lobular Atípica - Hiperplasia Ductal Atípica | La mayoría de los cambios que se producen en la displasia no se relacionan con un aumento en la incidencia de cáncer de mama. El riesgo de cáncer está moderadamente aumentado en los tipos proliferativos con atipia, que son la hiperplasia ductal atípica y la hiperplasia lobulillar atípica. # DIAGNÓSTICO ## Clínica + Ecografía (o Mastografía) + Estudio Microscópico (citología e histología) ## PUNCIÓN-ASPIRACIÓN - Indicado en mastopatía fibroquístico de predominio nodular-quístico - Ofrece garantía diagnóstica, puesto que cura el quiste tras evacuación del contenido. ## TRATAMIENTO 1. En general la mastopatía fibroquística no requiere tx. 2. Se debe explicar a la paciente la benignidad del proceso y tranquiliza. 3. Tx médico - Progestágenos en la 29 fase del ciclo para compensar el hiperestronismo. 4. Pueden ser útiles progestágenos en gel para tx local y aceite de onagra. # FIBROADENOMA ## DEFINICIÓN Son masas circunscritas nítidamente, móviles y usualmente solitarias que ocurren comúnmente antes de los 30 años, aumentan su tamaño con el embarazo y suelen presentar regresión y calcificación posmenopáusicas. Es el tumor benigno más frecuente de la mama, formado por la proliferación de elementos epiteliales y mesenquimatosos bien diferenciados, predominando su carácter fibroso frente al glandular. Es pseudoencapsulado, bien delimitado del tejido mamario adyacente, móvil, esférico u ovoide, aunque puede ser multilobulado. ## EPIDEMIOLOGÍA - Se observa frecuentemente entre 20-40 años - Puede aparecer durante el embrazo - En menores de 35 años las masas mamarias son usualmente un Fibroadenoma. ## DIAGNOSTICO Clínica del nódulo de características benignas ## 1ra elección: ULTRASONIDO - Al tratarse de padecimiento en mujeres jóvenes será la técnica de elección para confirmar. - Patrón típico con nódulo sólido, regular, de bordes bien delimitados, ovoide, hipoecoico. - Calcificaciones grandes, gruesas, que aumentan con el tiempo. ## MASTOGRAFÍA - Tiene un papel limitado debido a que en las mujeres jóvenes la mama es radiológicamente muy densa, dificultando la valoración de las imágenes. - La imagen típica en mastografía es "palomitas de maíz". ## RIESGO DE CÁNCER - Aumenta si el Fibroadenoma es complejo - La mayoría no hay aumento en riesgo  - Lesiones bien definidas - Si se encuentran datos de MICROCALCIFICACIONES - Tomar biopsia. # TRATAMIENTO ## 1ra elección: Seguimiento clínico y por USG ANUAL ## Extirpación Quirúrgica: - Tamaño superior a 2 cm - Rápido crecimiento - Duda diagnóstica - Cancerofobia ## ADENOMA - Es un tumor bien delimitado, compuesto de elementos epiteliales diferenciados con escaso estroma. - No es frecuente y afecta sobre todo a mujeres jóvenes. ## TRATAMIENTO 1ra elección: Extirpación completa de la lesión. # PAPILOMA INTRADUCTUAL Se trata de proliferaciones exofíticas de células epiteliales de los conductos galactóforos sobre un eje fibrovascular. | PAPILOMA SOLITARIO | PAPILOMATOSIS MÚLTIPLE | | :--: | :--: | | Afecta a los conductos principales, localizándose a 1-2 cm del pezón. - Suele aparecer en mujeres premenopáusicas. - Es la causa más frecuente de telorrea. - No se asocia a riesgo de cáncer de mama CLÍNICA Telorrea sanguinolenta uriorificial espontánea, sin tumor palpable. TRATAMIENTO Extirpación quirúrgica del conducto que produce la telorragia. Suele recidivar. | Afecta a varios conductos y se origina en las unidades lobulillares terminales. - Se asocia a hiperplasia epitelial atípica. - Aparece en mujeres más jóvenes que el papiloma solitario. CLÍNICA No es tan habitual la presencia de telorrea. TRATAMIENTO Exéresis quirúrgica de una zona amplia alrededor de la lesión. 40%de los casos se asocian a Cáncer de Mama |  # GUESTE MAMARIO - Se suelen presentar en el contexto de la mastografía fibroquística y son MUY frecuentes. - La máxima incidencia se da entre los 40 - 50 años. GALACTOSELES: son una variante en donde los quistes de leche en mamas lactantes que cesan su actividad. ## CLÍNICA - TUMORACIONES INDOLORAS. - Se palpan de forma redondeada, lisa, móvil, no adherida, sensible y a la presión se nota tensión e incluso fluctuación. ## DIAGNÓSTICO ## 1ra elección: USG - Se visualizan nódulos anecogénicos de limites muy precisos. - Morfología regular y refuerzo posterior. ## TRATAMIENTO  ## ASPIRACIÓN POR PUNCIÓN Si un quiste mamario es palpable y visible, debe ser aspirado por punción. - Si su aspiración arroja líquido claro, transparente y sin sangre, no es necesaria la citología del líquido. - Requiere cita en 6 semanas para seguimiento. Si el quiste es un hallazgo únicamente por USG, no es necesaria su punción. ## PROCEDIMIENTO QUIRÚRGICO Si un quiste se resuelve posterior a la aspiración con un conteo por USG, no requiere mayor tratamiento. Si el quiste no desaparece posterior a la aspiración o existe recurrencia dentro de 6 semanas, se realiza una REMOCIÓN QUIRÚRGICA DEL QUISTE. # ECTASIA DUCTAL Aparece en mujeres perimenopáusicas y menopáusicas, más frecuentemente en fumadoras. Se presenta por dilatación de los ductos subareolares principales Da lugar a una secreción por el pezón, que si se infecta, puede abscesificar y fistulizar a piel. ## TRATAMIENTO - Extirpación quirúrgica. ## TUMOR PHYLLODES - Aparece en la 4 - 5 década de la vida. - Crecimiento rápido - Riesgo aumentado Sx Li-Fraumeni - Comportamiento Limítrofe benigno y maligno.  Figura 2: TF borderline recalcicado. ## TRATAMIENTO - Cirugía local RESECCIÓN AMPLIA margen mínimo 1 cm . - Pronóstico adverso puede ser tx paliativo.
Vista previa
Cancelar
Guardar cambios