PDF Processor
Inicio
Editar documento
Editar documento: 19. Coartación de la Aorta
Título
Contenido mejorado
Contenido original
Contenido mejorado por IA (Markdown)
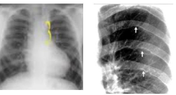
# COARTACIÓN DE LA AORTA ## DEFINICIÓN **Coartación de la Aorta** La coartación de la aorta es un estrechamiento que usualmente se localiza en la región del ligamento arterioso, adyacente al nacimiento de la subclavia izquierda y que puede estar asociada con hipoplasia difusa del arco aórtico o del istmo. En ausencia de circulación colateral abundante o extensa, se define como la presencia de **hipertensión en las extremidades superiores** asociada a un gradiente significativo extremidades superiores-inferiores de al menos **20 mm Hg**. Cuando existe abundante circulación colateral puede no existir gradiente en cuyo caso el diagnóstico se apoya con estudios de imagen. ## ETIOLOGÍA  Usualmente es de origen esporádico. - Puede asociarse a Sx de Turner, Sx de Williams-Beuren, Rubeola congénita, Neurofibromatosis, Arteritis de Takayasu o a Traumatismos. - Se puede presentar en otras anormalidades cardiovasculares como Aorta Bivalva y Aneurismas Intracraneales, alteraciones de la circulación **braquiocefálica**, circulación colateral, estenosis subaórtica y alteraciones de la válvula mitral. ## Existen dos teorías: - Reducción anterógrada del flujo sanguíneo intrauterino que ocasiona un pobre desarrollo del arco aórtico. - Constricción del tejido ductal que se extiende dentro de la aórtica torácica. ## EPIDEMIOLOGIA - Representa el 5-8% de todos los **defectos congénitos del corazón**. - La razón hombres: mujeres es de 1.5:1. - Forma parte de las **cardiopatías congénitas acianógenas** con flujo pulmonar normal y para ser más precisos se ubica dentro de las **obstrucciones izquierdas**. # CLÍNICA Dependerá de la severidad de la coartación. **HALLAZGOS CLÁSICOS**: - Hipertensión en las extremidades superiores. - Disminución o retardo de los pulsos femorales (retardo braquial-femoral). - Presión arterial no obtenible o disminuida en las extremidades inferiores. Otras: hipertensión, cefalea, mareo, tinnitus, epistaxis, disnea, angina abdominal,  claudicación, extremidades frías. **COARTACIÓN LEVE**: leve hipoplasia, ausencia de colaterales y sin gradiente o leve, tampoco hay hipertensión. **COARTACIÓN SEVERA**: marcada estrechez anatómica, presencia de ramificaciones colaterales, elevado gradiente e hipertensión significativa. ## ESTUDIOS DE IMAGEN GS: **ANGIOTOMOGRAFÍA DE TÓRAX** es el estudio más específico y sensible. ELECTROCARDIOGRAMA - Puede mostrar normalidad o hasta hipertrofia del ventrículo izquierdo con incremento del voltaje. - Cambios en el ST y la onda T en las derivaciones precordiales izquierda. ## RADIOGRAFÍA DE TÓRAX - Puede mostrar una muesca en el tercio posterior de la tercera a la octava costilla debido a la erosión ocasionada por el largo de las arterias colaterales (**Signo de Rösler**). Es más evidente a mayor edad del paciente. - La hendidura de la pared aórtica en el sitio de la coartación con la dilatación pre y post coartación producen el **SIGNO DEL 3** (causado por la indentación de la aorta en el sitio de la coartación, combinado con la dilatación pre y post coartación). ## Signo del 3 Se forma un 3 en el lugar preestenótico, el de la coartación y el postestenótico.  ## Signo de Rösler Escotaduras costales inferiores debido a tortuosidad de las arterias intercostales. ## ECOCARDIOGRAMA TRANSTORÁCICO - Es recomendado como estudio de imagen inicial para valorar la hemodinamia del paciente. - Puede ser demostrada en la ventana supraesternal apuntando hacia el arco aórtico. - Si se combina con doppler color y continuo se observa flujo turbulento en la porción proximal de aorta. - Útil para el procedimiento intervencionista ya que permite visualizar completa la aorta descendente, el balón e identifica complicaciones como la disección aórtica. ## RMN - Permiten visualizar la aorta en su mayor extensión, incluyendo el segmento coartado. - Brinda información anatómica para planear la intervención Qx o percutánea. (c) Copyright 2021-2022 Joyas ENARM - Todos los derechos reservados - # TRATAMIENTO FARMACOLÓGICO 1ra elección: **Betabloqueadores, IECA, ARA** + Manejo enfermedad primaria. Anticoagulantes: indicado en pacientes con **disfunción ventricular izquierda** y **alteraciones extensas de la movilidad parietal postinfarto** para evitar eventos tromboembólicos. Si persiste hipertensión posterior a intervención exitosa - **Metoprolol**. ## TRATAMIENTO INTERVENCIONISTA Se recomienda llevar a intervencionismo a todos los pacientes con coartación en las siguientes circunstancias: - Gradiente pico-pico de >20 mm Hg transcoartación. - Gradiente pico-pico < 20 mm Hg en presencia de imagen anatómica de coartación significativa con evidencia radiológica de circulación colateral significativa. ## TRATAMIENTO QUIRÚRGICO 1ra elección: **Intervención percutánea Transcatéter**. Indicada en gradiente pico al menos de 20 mmHg. 2da elección: **Cirugía**. ## COMPLICACIONES - Formación de **aneurismas** postintervención en el sitio afectado ( 0-55 % ). - Factores predisponentes:daño a pared vascular por balón de angioplastía, necrosis quística de la media. - Sangrado postquirúrgico temprano. - Derrame pleural. - Contusión pulmonar. - Parálisis del nervio laríngeo recurrente. - Parálisis del nervio frénico. - Formación de pseudoaneurisma en sitio de reparación. ## Recoartación - Se presenta como consecuencia de la proliferación neointimal excesiva en el sitio quirúrgico de la anastomosis o en respuesta al trauma vascular durante la intervención percutánea exacerbado por retracción elástica.
Vista previa
Contenido original (Markdown)
# OGARTACIÓN DE LA AGRITA ## OERNISTON Coartación de la aorta La coartación de la aorta es un estrechamiento que usualmente se localiza en la región del ligamento arterioso, adyacente al nacimiento de la subclavia izquierda y que puede estar asociada con hipoplasia difusa del arco aórtico o del istmo. En ausencia de circulación colateral abundante o extensa, se define como la presencia de hipertensión en las extremidades superiores asociada a un gradiente significativo extremidades superiores-inferiores de al menos 20 mm Hg. Cuando existe abundante circulación colateral puede no existir gradiente en cuyo caso el diagnóstico se apoya con estudios de imagen. ## ENVOIDA  Usualmente es de origen esporádico. - Puede asociarse a Sx de Turner, Sx de Williams-Beuren, Rubeola congénita, Neurofibromatosis, Arteritis de Takayasu o a Traumatismos. - Se puede presentar en otras anormalidades cardiovasculares como Aorta Bivalva y Aneurismas Intracraneales, alteraciones de la circulación braquiocefálica, circulación colateral, estenosis subaórtica y alteraciones de la válvula mitral. ## Existen dos teorías: - Reducción anterógrada del flujo sanguíneo intrauterino que ocasiona un pobre desarrollo del arco aórtico - Constricción del tejido ductal que se extiende dentro de la aórtica torácica. ## EHOMBLOGRA - Representa el 5-8% de todos los defectos congénitos del corazón. - La razón hombres: mujeres es de 1.5:1, - Forma parte de las cardiopatías congénitas acianógenas con flujo pulmonar normal y para ser más precisos se ubica dentro de las obstrucciones izquierdas. # QMAR Dependerán de la severidad de la coartación HALLAZGOS CLÁSICOS: - Hipertensión en las extremidades superiores - Disminución o retardo de los pulsos femorales (retardo braquial-femoral) - Presión arterial no obtenible o disminuida en las extremidades inferiores Otras: hipertensión, cefalea, mareo, tinnitus, epistaxis, disnea, angina abdominal,  claudicación, extremidades frías. COARTACIÓN LEVE: leve hipoplasia, ausencia de colaterales y sin gradiante o leve, tampoco hay hipertensión. COARTACIÓN SEVERA : marcada estrechez anatómica, presencia de ramificaciones colaterales, elevado gradiente e hipertensión significativa. ## QMAR 3 GS: ANGIOTOMOGRAFÍA DE TÓRAX es el estudio más específico y sensible. ELECTROCARDIOGRAMA Puede mostrar normalidad o hasta hipertrofia del ventrículo izquierdo con incremento del boltaje Cambios en el ST y la onda T en las derivaciones precordiales izquierda ## RADIOGRAFÍA DE TÓRAX Puede mostrar una muesca en el tercio posterior de la tercera a la octava costilla debido a la erosión ocasionada por el largo de las arterias colaterales (Signo de Rösler). Es más evidente a mayor edad del paciente. La hendidura de la pared aórtica en el sitio de la coartación con la dilatación pre y post coartación porducen el SIGNO DEL 3 (causado por la identación de la aorta en el sitio de la coartación, combinado con la dilaación pre y post coartación). ## Signo del 3 Se forma un 3 en el lugar preestenótico, el de la coartación y el postestenótico.  ## Signo de Rösler Escotaduras costales inferiores debido a tortuosidad de las arterias intercostales. ## ECOCARDIOGRAMA TRANSTORÁCICO - Es recomendado como estudio de imagen inicial para valorar la hemodinamia del paciente. - Puede ser ser demostrada en la ventana supraesternal apuntando hacia el arco aórtico. - Si se combina con doppler color y continuo se observa flujo turbulento en la proción proximal de aorta. - Util para el procedimiento intervencionista ya que permite visualizar completa la aorta descendente,el balón e identifica complicaciones como la disección aórtia. ## RMN - Permiten visualizar la aorta en su mayor extensión, incluyendo el segmento coartado. - Brinda información anatómica para planear la intervención Qx o percutánea. (c) Copyright 2021-2022 Joyas ENARM - Todos los derechos reservados - # 1ra elección: Betabloqueadores, IECA, ARA + Manejo enfermedad primaria Anticoagulantes: indicado en pacientes con disfunción ventricular izquierda y alteraciones extensas de la movilidad parietal postinfato para evitar eventos tromboembólicos. Si persiste hipertensión posterior a intervención exitosa - Metoprolol. ## Q94294679 Se recomienda llevar a intervencionismo a todos los pacientes con coartación en las siguientes circunstancias: - Gradiente pico-pico de >20 ~mm Hg transcoartación. - Gradiente pico-pico < 20 mm Hg en presencia de imagen anatómica de coartación significativa con evidencia radiológica de circulación colateral significativa. ## 1ra elección: Intervención percutánea Transcatéter Indicada en gradiente pico al menos de 20 mmHg . ## 2da elección: Cirugía ## Q94294680 Formación de aneurismas postintervención en el sitio afectado ( 0-55 % ) - Factores predisponentes: daño a pared vascular por balón de angioplastía, necrosis quística de la media. - Sangrado postquirúrgico temprano - Derrame pleural - Contusión pulmonar - Parálisis del nervio laríngeo recurrente - Parálisis del nervio frénico - Formación de pseudoaneurisma en sitio de reparación ## Recoartación - Se presenta como consecuencia de la proliferación neointimal excesiva en el sitio quirúrgico de la anastomosis o en respuesta al trauma vascular durante la intervención percutánea exacerbado por retracción elástica.
Vista previa
Cancelar
Guardar cambios