PDF Processor
Inicio
Editar documento
Editar documento: 7. Derrame Pleural
Título
Contenido mejorado
Contenido original
Contenido mejorado por IA (Markdown)
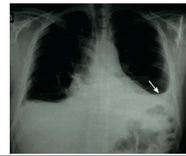
# DERRAME PLEURAL ## DEFINICIÓN El **Derrame Pleural** se define como la **acumulación anormal de líquido en la cavidad pleural** debido a una **producción excesiva** de este o a una **incapacidad para su depuración**. La **etiología** del **DP** depende de la región geográfica, de la edad del paciente y del centro donde se realice el diagnóstico. ## ETIOLOGÍA 1. Enfermedades Infecciosas 55.2 % 2. **Neumonías** y **derrame paraneumónico** 24.7 % 3. **Tuberculosis** / **VIH** 8.2 % 4. **Empiema** 11.3 % | **TRASUDADO** | **EXUDADO** | | :--: | :--: | | FRECUENTES: | FRECUENTES | | - **Falla del Ventrículo Derecho**<br>- **Cirrosis Hepática**<br>- **Hipoalbuminemia**<br>- **Diálisis Peritoneal** | - **Tuberculosis**<br>- **Malignidades**<br>- **Derrame Paraneumónico** | | MENOS FRECUENTES | MENOS FRECUENTES | | - **Hipotiroidismo**<br>- **Síndrome Nefrótico**<br>- **Estenosis Mitral**<br>- **TEP** | - **Infarto pulmonar**<br>- **Artritis reumatoide**<br>- **Enfermedades autoinmunes**<br>- **Pancreatitis** | | | - **Derrame benigno post-asbesto**<br>- **Quilotórax** | | RARAS | RARAS | | - **Pericarditis constrictiva**<br>- **Urinotórax**<br>- **Obstrucción de Vena Cava Superior** | - **Drogas**<br>- **Síndrome de uñas amarillas**<br>- **Infecciones fúngicas** | | - **Hiperestimulación Ovárica**<br>- **Síndrome de Meigs** | | # EPIDEMIOLOGÍA Edad media de presentación es 52 años. ## CLÍNICA Dependerá de la enfermedad subyacente y de la **cantidad de líquido** contenido en el **espacio pleural**. Datos sugestivos de **DP**: - **Disminución** / **ausencia** de los **movimientos respiratorios del lado afectado** - **Disminución de vibraciones vocales** - **Matidez a la percusión** - **Disminución o ausencia de los ruidos respiratorios** - La **tráquea** se puede desviar al lado contralateral (dependiendo de la cantidad de derrame) ## LARGE EFFUSIONS **PAIN** (**PLEURISY**) **SHORTNESS of BREATH** **WORSE WHEN LYING DOWN**   © Copyright 2021-2022 Joyas ENARM - Todos los derechos reservados - # DIAGNÓSTICO ## LABORATORIO ## PCR - Marcador sensible para evaluar la progresión de una **Neumonía**. - Recomendado para **evaluación inicial y seguimiento** de tipo **infeccioso**. ## LEUCOCITOS - En **pacientes** con **Neumonía** pueden aparecer 3 días después de iniciar la **infección**. ## IMAGEN ## RADIOGRAFÍA TÓRAX (AP Y LATERAL) 1ra elección: en pacientes con sospecha clínica de **DP**. - Cantidad normal de LP es 10-15 ml. - 50 - 75 ml de **líquido pleural** - **Borramiento del ángulo costodiafragmático** (**signo del menisco**) - >200 ml de **líquido pleural** - **Borramiento de ángulos cardiofrénico y costodiafragmático**. **Derrrames pequeños** pueden detectarse en una **radiografía en decúbito lateral** sobre el lado afectado. **Derrames Masivos** ocupan todo el hemitórax, desplazan mediastino al lado opuesto.  **Derrame Pleural izquierdo** (**Signo del Menisco** en la flecha)  **Radiografía lateral** izquierda, se observa la medición del **derrame pleural** en **decúbito lateral**. # ULTRASONIDO TÓRAX Es más específico y sensible que la **radiografía**. ## Indicaciones: - Identificar **DP** pequeños. - Establecer localización para efectuar **Toracocentesis**, **Biopsia Pleural** o colocar **sonda**. - Identificar **loculaciones pleurales**. - Diferenciar entre **derrame** y **engrosamiento pleural**. ## TOMOGRAFÍA Reservada para casos más complicados, como los que se debe caracterizar la **extensión parenquimatosa** o la presencia de un **absceso pulmonar**, cuyo resultado puede repercutir en la **Qx**. Si se realiza con contraste, es útil para diferenciar una **consolidación pulmonar**, que capta el contraste, de un **DP** que se muestra hipodenso. Se identifican **colecciones interlobulares**, en **pleura mediastínica** y de pequeño tamaño paravertebrales. Útil en **diagnóstico de empiema**, cuando la pleura realza intensamente alrededor del **líquido**. **Hallazgos que sugieren malignidad**: - **Engrosamiento pleural nodular** - **Engrosamiento pleural mediastinal** - **Engrosamiento parietal** > 10 mm - **Engrosamiento pleural circunferencial**. # TORACOCENTESIS DIAGNÓSTICA - **Derrame** >10 mm de profundidad en la **radiografía lateral**, en asociación a **trauma torácico reciente**, **cirugía reciente** y en **sepsis** - **TOMAR MUESTRA LÍQUIDO PLEURAL**. - **Derrame** menos de 10 mm - **NO SE TOMA MUESTRA DE LP** (a menos que en su curso aumente el tamaño o se agreguen datos de **sepsis**). - **Derrame** + **Sospecha de Infección** - **Hemocultivo** + **Cultivo de LP**. ## Técnica: 1. Tomar 50 ml de **Líquido pleural** con aguja de 21 G. 2. 5 ml a bacteriología. 3. 2-5 ml a citoquímico con **tinción de Gram**. 4. 20-40 ml a citológico. 5. Una parte en **jeringa heparinizada** para **gasometría**. Se puede guiar por **Ultrasonido**.  ## CRITERIOS DE LIGHT Clasifican correctamente el 98 % de los **DP** en **Exudado** y **Trasudado**. | CRITERIO | TRASUDADO | EXUDADO | | :--: | :--: | :--: | | **Relación DHL Pleural / Suero** | Menor 0.6 | Mayor 0.6 | | **Relación Proteína Pleural / Suero** | Menor 0.5 | Mayor 0.5 | | **DHL en líquido pleural** | Menor a 2/3 partes del límite superior normal de DHL plasmática | Mayor a 2/3 partes del límite superior normal de DHL plasmática | | **Colesterol** | Menor a 43 | Mayor a 43 | | **Gradiente Sérico Pleural de Albúmina** | Mayor a 1.2 | Menor a 1.2 | ## CITOLOGÍA Y BIOPSIA - Se recomienda en caso de **sospechar malignidad**. Debe repetirse si el estudio inicial es negativo y añadir toma de muestras mediante **Biopsia**. - La combinación de estas pruebas mejora el **diagnóstico** para **DP maligno** (o **Tb Pleural**). - Se debe realizar **Biopsia guiada por TAC** en sospecha de **DP maligno** y **pH** y **Glucosa bajos en el LP**. ## ADENOSIN DESAMINASA (ADA) Cifras > 35 UI en el **LP** son sospechosos de **Tuberculosis Pleural** o en su defecto **BIOPSIA PLEURAL**. # TRATAMIENTO ## ANTIBIÓTICO La selección se realiza teniendo en cuenta el origen comunitario del **derrame pleural**, paciente, peculiaridad geográfica y local. Se debe iniciar de forma **empírica y precoz**, incluyendo cobertura para **anaerobios** y ajustarlo con el **cultivo**. ## 1ra elección: PENICILINA **Alergia** - **CLINDAMICINA** (sola o + **Quinolona** o **Cefalosporina 3a Generación** = **CEFTRIAXONA**). Si el origen es un **S. aureus meticilino-resistente** o **S. pneumoniae resistente a Cefalosporinas**: - **Vancomicina** o **Linezolid**. Los **aminoglucósidos** tienen escasa penetración en la pleura, no están indicados. - La **mala evolución clínica durante el tratamiento con antibióticos** debe conducir a **repetir toma de muestras de laboratorio, líquido pleural** ecluso **colocar sonda pleural**. - Al identificar la **presencia de organismos** por **tinción de Gram** y/o **cultivo de una muestra de LP no purulento** indica que se ha establecido la **infección pleural** y debe conducir a **drenaje torácico**. ## TORACOCENTESIS EVACUADORA (SONDA TORÁCICA) La **evacuación** debe efectuarse lentamente para evitar **edema pulmonar de reexpansión**, monitorizando la **presión pleural** durante la evacuación del **líquido** y en **adultos con DP maligno** hasta 1.5 L en una ocasión. Indicada en: - **Derrame Paraneumónico complicado** (pH<7.2, Glucosa <60 mg / dL). O Si no cumple con esos criterios, puede ser tratado únicamente con **antibióticos**. - **Empiema**. - **Derrame loculado**. - **Microorganismos en el LP**. - **Neumotórax asociado**. - **Paciente séptico**. ## FIBRINOLÍTICOS ## 1ra elección en pacientes con Empiema o Derrame Loculado.  - El **exudado** es más viscoso por alto contenido de **fibrina**, formando **septos y loculaciones**. - Si se coloca **sonda pleural** y **antibiótico** no resolvería el problema. **Fármacos** - **Estreptoquinasa, Uroquinasa o Alteplasa (aTP)**. # TRATAMIENTO QUIRÚRGICO ## Cirugía Torácica Video-Asistida (VATS) Indicado si el **DP** está en fase **fibrinopurulenta** u **Organizada** y en **DP persistente** por 2 o más semanas. Es el **Gold Standard** del manejo del **DP complicado** en fase II o III.  ## TORACCTOMÍA - Si no se ha logrado una **expansión pulmonar completa** y existe **fuga aérea** o **salida de pus por el drenaje**. - **Falla** en las **maniobras terapéuticas** presentadas con anterioridad. - Envío a tercer nivel de acuerdo a los resultados.  ## EMPIEMA NECESSITATIS - **Pus dentro de la cavidad pleural** que irrumpe hacia los **tejidos blandos, tejido subcutáneo** y hasta la **piel**. - Se trata su **etiología** (**Tb, Micosis, Mycobacterias atípicas, empiema bacteriano crónico**). - **Drenaje Percutáneo** + **Drenaje Pleural**.
Vista previa
Contenido original (Markdown)
# DERRAME PLEURAL ## DEFINICIÓN El Derrame Pleural se define como la acumulación anormal de líquido en la cavidad pleural debido a una producción excesiva de éste o a una incapacidad para su depuración. La etiología del DP depende de la región geográfica, de la edad del paciente y del centro donde se realice el diagnóstico. ## ETIOLOGÍA 1. Enfermedades Infecciosas 55.2 % 2. Neumonías y derrame paraneumónico 24.7 % 3. Tuberculosis / VIH 8.2 % 4. Empiema 11.3 % | TRASUDADO | EXUDADO | | :--: | :--: | | FRECUENTES: | FRECUENTES | | - Falla del Ventrículo Derecho - Cirrosis Hepática - Hipoalbuminemia - Diálisis Peritoneal | - Tuberculosis - Malignidades - Derrame Paraneumónico | | MENOS FRECUENTES | MENOS FRECUENTES | | - Hipotiroidismo - Síndrome Nefrótico - Estenosis Mitral - TEP | - Infarto pulmonar - Artritis reumatoide - Enfermedades autoinmunes - Pancreatitis - Derrame benigno post- asbesto - Quilotórax | | RARAS | RARAS | | - Pericarditis constrictiva - Urinotórax - Obstrucción de Vena Cava Superior - Hiperstimulación Ovárica - Síndrome de Meigs | - Drogas - Síndrome de uñas amarillas - Infecciones fúngicas | # EPIDEMIOLOGÍA Edad media de presentación es 52 años ## CLÍNICA Dependerá de la enfermedad subyacente y de la cantidad de líquido contenido en el espacio pleural. Datos sugestivos de DP: - Movimientos respiratorios del lado afectado - Disminución de vibraciones vocales - Matidez a la percusión - Disminución o ausencia de los ruidos respiratorios - La tráquea se puede desviar al lado contralateral (dependiendo de cantidad de derrame) ## LARGE EFFUSIONS L PAIN (PleuRISY) L ShORNESS of BREATH L WORSE WHEN LYING DOWN   © Copyright 2021-2022 Joyas ENARM - Todos los derechos reservados - # DIAGNÓSTICO ## LABORATORIO ## PCR - Marcador sensible para evaluar la progresión de una neumonía. - Recomendado para evaluación inicial y seguimiento de tipo infeccioso. ## LEUCOCITOS - En pacientes con neumonía pueden aparecer 3 días después de iniciar infección. ## IMAGEN ## RADIOGRAFÍA TÓRAX (AP Y LATERAL) 1ra elección: en pacientes con sospecha clínica de DP. - Cantidad normal de LP es 10-15 ml. - 50 - 75 ml de líquido pleural - Borramiento del ángulo costodiafragmático (signo del menisco) - >200 ml de líquido pleural - Borramiento de ángulos cardiofrénico y costodiafragmático. Derrrames pequeños pueden detectarse en una radiografía en decúbito lateral sobre el lado afectado. Derrames Masivos ocupan todo el hemitórax, desplazan mediastino al lado opuesto.  Derrame Pleural izquierdo (Signo del Menisco en la flecha)  Radiografía lateral izquierda, se observa la medición del derrame pleural en decúbito lateral) # ULTRASONIDO TÓRAX Es más específico y sensible que la radiografía. ## Indicaciones: - Identificar DP pequeños - Establecer localización para efectuar toracocentesis, biopsia pleural o colocar sonda. - Identificar loculaciones pleurales - Diferenciar entre derrame y engrosamiento pleural. ## TOMOGRAFÍA Reservada para casos más complicados, como los que se debe caracterizar la extensión parenquimatosa o la presencia de un absceso pulmonar, cuyo resultado puede repercutir en la Qx. Si se realiza con contraste, es útil para diferenciar una consolidación pulmonar, que capta el contraste, de un DP que se muestra hipodensa. Se identifican colecciones ineterlobulares, en pleura mediastínica y de pequeño tamaño paravertebrales. Útil en diagnóstico de empiema, cuando la pleura realza intensamente alrededor del líquido. Hallazgos que sugieren malignidad: - Engrosamiento pleural nodular - Engrosamiento pleural mediastinal - Engrosamiento parietal > 10 mm - Engrosamiento pleural circunferencial. # TORACOCENTESIS DIAGNÓSTICA - Derrame >10 ~mm de profundidad en la radiografía lateral, en asociación a truama torácico reciente, cirugía reciente y en sepsis - TOMAR MUESTRA Líquido Pleural - Derrame menos de 10 mm - NO SE TOMA MUESTRA DE LP (a menos que en su curso aumente el tamaño o se agreguen datos de sepsis). - Derrame + Sospecha de Infección - Hemocultivo + Cultivo de LP. ## Técnica: 1. Tomar 50 ml de Líquido pleural con aguja de 21 G 2. 5 ml a bacteriología 3. 2-5 ml a citoquímico con tinción de Gram 4. 20-40 ml a citológico 5. Una parte en jeringa heparinziada para gasometría ** Se puede guiar por Ultrasonido.  ## CRITERIOS DE LIGHT Clasifican correctamente el 98 % de los DP en Exudado y Trasudado. | CRITERIO | TRASUDADO | EXUDADO | | :--: | :--: | :--: | | Relación DHL Pleural / Suero | Menor 0.6 | Mayor 0.6 | | Relación Proteína Pleural / Suero | Menor 0.5 | Mayor 0.5 | | DHL en líquido pleural | Menor a 2/3 partes del límite superior normal de DHL plasmática | Mayor a 2/3 partes del límite superior normal de DHL plasmática | | Colesterol | Menor a 43 | Mayor a 43 | | Gradiente Sérico Pleural de Albúmina | Mayor a 1.2 | Menor a 1.2 | ## CITOLOGÍA Y BIOPSIA - Se recomienda en caso de sospechar malignidad. Debe repetirse si el estudio uncial es negativo y añadir toma de muestras mediante biopsia. - La combinación de estas pruebas mejora el diagnóstico para DP maligno (o Tb Pleural) - Se debe realizar Biopsia guiada por TAC en sospecha de DP maligno y pH y Glucosa bajos en el LP. ## ADENOSIN DESAMINASA (ADA) Cifras > 35 UI en el LP son sospechosos de Tuberculosis Pleural o en su defecto BIOPSIA PLEURAL # TRATAMIENTO ## ANTIBIÓTICO La selección se realiza teniendo en cuenta el origen comunitario del derrame pleural, paciente, peculiaridad georáfica y local. Se debe iniciar de forma empírica y precoz, incluyendo cobertura para anaerobios y ajustarlo con el cultivo. ## 1ra elección: PENICILINA Alergia - CLINDAMICINA (sola o + Quinolona o Cefalosporina 3a Generación = CEFTRIAXONA). Si el origen es un S. aureus meticilino.resistente o S. pneumoniae resitente a Cefalosporinas - Vancomicina o Linezolid. Los aminoglucósidos tienen escasa penetración en la pleura, no están indicados. - La mala evolución clínica durante el tratamiento con antibióticos debe conducir a repetir toma de muestras de laboratorio, líquido pleural e incluso colocar sonda pleural. - Al identificar la presencia de organismos por tinción de Gram y/o cultivo de una muestra de LP no purulento indica que se ha establecido la infección pleural y debe conducir a drenaje torácico. ## TORACOCENTESIS EVACUADORA (SONDA TORÁCICA) La evacuación debe efectuarse lentamente para evitar edema pulmonar de reexpansión, monitorizando la presión pleural durante la evacuación del líquido y en adultos con DP maligno hasta 1.5 L en una ocasión. Indicada en: - Derrame Paraneumónico complicado ( pH>7.2, Glucosa >60 mg / dL ) O Si no cumple con esos criterios, puede ser tratado únicamente con antibióticos. - Empiema - Derrame loculado - Microorganismos en el LP. - Neumotorax asociado - Paciente septico ## FIBRINOLÍTICOS ## 1ra elección en pacientes con Empiema o Derrame Loculado.  - El exudado es más viscoso por alto contenido de fibrina, formando septos y loculaciones. - Si se coloca sonda pelural y antibiótico no resolvería el problema. Fármacos - Estreptoquinasa, Uroqinasa o Alteplasa (aTP) # TRATAMIENTO QUIRÚRGICO ## Cirugía Torácica Video-Asistida (VATS) Indicado si el DP está en fase fibrinopurilenta u Organizada y en DP persistente por 2 o más semanas. Es el Gold Standard del maneoj del DP complicado en fase II o III.  ## TORACTOMÍA - Si no se ha logrado una expansión pulmonar completa y existe fuga aérea o salida de pus por el drenaje. - Falla en las maniobras terapéuticas presentadas con anterioridad. - Envío a tercer nivel de acuerdo a los resultados.  ## EMPIEMA NECESSITATIS - Pus dentro de la cavidad pleural que irrumpe hacias los tejidos blandos, tejido subcutáneo y hasta la piel. - Se trata su etiología (Tb, Micosis, Mycobacterias atípicas, empiama bacteriano crónico) - Drenaje Percutáneo + Drenaje Pleural.
Vista previa
Cancelar
Guardar cambios