PDF Processor
Inicio
Editar documento
Editar documento: 10. Aspergilosis Pulmonar
Título
Contenido mejorado
Contenido original
Contenido mejorado por IA (Markdown)
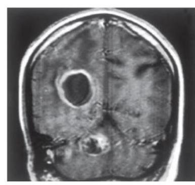
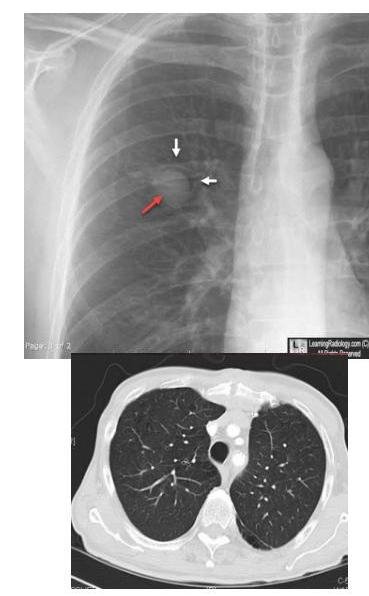
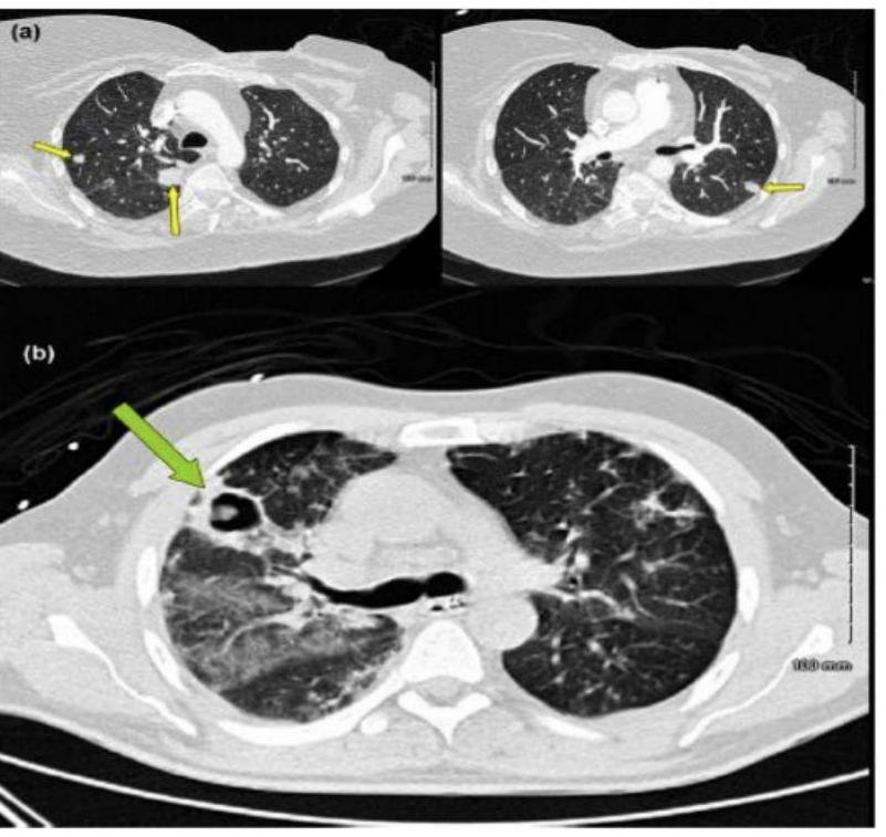
# ASPERGILOSIS ## DEFINICIÓN La Aspergilosis Invasora es la enfermedad causada por diferentes especies del **HONGO** género *Aspergillus*, a partir de un sitio de inoculación e **infección primaria**. El proceso de enfermedad incluye **angioinvasión**, **trombosis** y **tromboembolismo**; esto último, favorece la **diseminación** a otros órganos. La enfermedad invasora por *Aspergillus* afecta principalmente a pacientes **inmunocomprometidos** tales como: con **leucemia**, **linfoma**, **neutropenia prolongada**, **trasplantados** especialmente de **MO** y **pulmón**, aquellos tratados con **inmunomoduladores**, **inmunodeficiencias primarias**, con **enfermedad injerto contra huésped**, **anemia aplásica** y con terapia crónica con **corticosteroides sistémicos**. La forma invasora **incluye** las **infecciones** de las vías **respiratorias inferiores**, **senos paranasales** y **piel** como sitio de entrada. La **diseminación hematógena** o por contigüidad puede condicionar infección a nivel del **sistema nervioso central (SNC)**, cardiovascular y a otros órganos y sistemas. ## EPIDEMIOLOGÍA ## Aspergilosis Invasora: Típica aparición en **Leucemia Mieloide Aguda** y **Trasplantados**. - **Inmunocompromiso** - Mediana de edad 9-11 años (coincide con el pico de **incidencia de leucemias**) - **Neoplasias hematológicas** - **Neutropenia** < 100 cl/mm³ La presencia de **CAVITACIONES PULMONARES PREEXISTENTES** secundarias a infecciones por **Tuberculosis** facilita el desarrollo de Aspergilosis. ## Aspergilosis Broncopulmonar alérgica: - **Hipersensibilidad** asociada a **asma** - **Fibrosis quística** # CLÍNICA Es **inespecífica** en todas sus variables, por lo que es recomendable establecer la certeza diagnóstica con base en los **factores del hospedero** y sus **manifestaciones**. ## RIESGO INTERMEDIO Y ALTO - **Fiebre** y **dolor facial** - Las **lesiones isquémicas** y **úlceras** traducen un **diagnóstico tardío** Otras presentaciones: **Absceso cerebral**, **vasculitis**, **meningoencefalitis**. ## INFECCIÓN DISEMINADA ## ASPERGILOSIS CEREBRAL **Imágenes en anillo**. La aspergilosis **cerebral aislada** puede ocurrir en pacientes **inmunocompetentes**. **Signos neurológicos focales**, **alteraciones en el estado mental** y **cefalea**.  ## Enfermedad cutánea **Diseminación hematógena** o **infección local** (**inserción de catéteres**). **Quemaduras** y **heridas quirúrgicas**. **Eritema** de rápido crecimiento, con **centro necrótico**, frecuentemente **ulcerado**.  ## Aspergiloma * Una **esfera fúngica** coloniza **cavidad pulmonar preexistente** (**habitualmente una caverna tuberculosa residual**). * Se visualiza como **estructura redondeada** dentro de **cavidad pulmonar**, cambia de posición con los movimientos. * **Tuberculosis** 21 %, **no micobacterias** 20 %. ## Osteomielitis **Poco común**. **Extensión local** de **proceso pulmonar**, **sinusal**, **cerebral**. 1.ª en **enfermedad granulomatosa crónica** y **usuarios de drogas**.  # DIAGNÓSTICO ## GOLD STANDARD: CULTIVO / HISTOPATOLOGÍA / PCR / GALACTOMANANO ## CULTIVO Se debe identificar el nivel de la especie para la **susceptibilidad** de los **antimicóticos** disponibles **in vitro**. **Diagnóstico definitivo**. ## HISTOPATOLÓGICO Examen con **tinciones especiales**: PAS y/o Grocott Gomori. **Diagnóstico Definitivo**. ## GALACTOMANANO **Componente** de la **pared fúngica** excretado en la fase de **crecimiento del hongo**, siendo su nivel **proporcional a la carga fúngica** en el tejido. **Positivo en fusariosis**. **Diagnóstico Definitivo**. * Se mide en **suero** y en **lavado broncoalveolar**. * Puede haber **falsos positivos** con el uso de **pipetazo** y otros **betalactámicos**. ## RADIOGRAFÍA DE TÓRAX Se observan **cavitaciones** o **infiltrados**.  (c) Copyright 2021-2022 Joyas ENARM - Todos los derechos reservados - # TOMOGRAFÍA DE TÓRAX Debe realizarse de manera **inicial**, seguida de una **TAC de Alta Resolución** (**cortes finos de 1 mm**) si en la primera se identifica **anormalidad**. **SIGNO DEL HALO**: área de **opacidad en vidrio deslustrado** alrededor de un **nódulo** o **consolidación focal**. Se observa durante la **neutropenia** y es muy **característica** de la **infección invasora por hongos del pulmón**. **Presente** en el **60% de los casos** por 5-7 días posteriores a la **neutropenia grave**. ## TRATAMIENTO  ## **1.ª elección: VORICONAZOL** **Alternativas**: **Isavuconazol** **Efectos secundarios**: **alteraciones visuales**, **hepatotoxicidad** y **fotosensibilidad**. **FORMA INVASIVA**: **Anidulafungina**, **Caspofungina**, **Micafungina**.
Vista previa
Contenido original (Markdown)
# ASPERGILOSIS ## DEFINICIÓN La Aspergilosis Invasora es la enfermedad causada por diferentes especies del HONGO género Aspergillus, a partir de un sitio de inoculación e infección primaria. El proceso de enfermedad incluye angioinvasión, trombosis y trombo-embolismo; esto último, favorece la diseminación a otros órganos. La enfermedad invasora por Aspergillus afecta principalmente a pacientes inmuno comprometidos tales como: con leucemia, linfoma, neutropenia prolongada, trasplantados especialmente de MO y pulmón, aquellos tratados con inmunomoduladores, inmunodeficiencias primarias, con enfermedad injerto contra huésped, anemias aplásica y con terapia crónica con corticosteroides sistémicos La forma invasora incluyen las infecciones de las vías respiratorias inferiores, senos paranasales y piel como sitio de entrada. La diseminación hematógena o por contigüidad puede condicionar infección a nivel del sistema nervioso central (SNC), cardiovascular y a otros órganos y sistemas. ## EPIDEMIOLOGÍA ## Aspergilosis Invasora: Típica aparición en Leucemia Mieloide Aguda y Trasplantados. - Inmunocompromiso - Mediana de edad 9-11 años (coincide con el pico de incidencia de leucemias) - Neoplasias hematológicas - Neutropenia <100 cl mm 3 La presencia de CAVITACIONES PULMONARES PREEXISTENTES secundarias a infecciones por Tuberculosis facilita el desarrollo de Aspergilosis. ## Aspergilosis Broncopulmonar alérgica: - Hipersensibilidad asociada a asma - Fibrosis quística # CLÍNICA Es inespecífica en todas sus variables, por lo que es recomendable establecer la certeza diagnóstica con base en los factores del hospedero y sus manifestaciones. ## RIESGO INTERMEDIO Y ALTO - Fiebre y dolor facial - Las lesiones isquémicas y úlceras traducen un diagnóstico tardío Otras presentaciones: Absceso cerebral, vasculitis, meningoencefalitis. ## INFECTIÓN DISEMINADA ## ASPERGILOSIS CERBRAL Imágenes en anillo La aspergilosis cerebral aislada puede ocurrir en pacientes inmunocompetentes. Signos neurológicos focales, alteraciones en el estado mental y cefalea.  ## Enfermedad cutánea Diseminación hematógena o infección local (inserción de catéteres ). Quemaduras y heridas quirúrgicas. Eritema de rápido crecimiento, con centro necrótico, frecuentemente ulcerado.  ## Aspergiloma - Una esfera fúngica coloniza cavidad pulmonar preexistente (habitualmente una caverna tuberculosa residual) - Se visualiza como estructura redondeada dentro de cavidad pulmonar, cambia de posición con movimientos. - Tuberculosis 21 %, no micobacterias 20 % ## Osteomielitis Poco común. Extensión local de proceso pulmonar, sinusal, cerebral. 1a en enf. granulomatosa crónica y usuarios de drogas.  # DIAGNÓSTICO ## GOLD STANDARD: CULTIVO/ HISTOPATOLOGÍA / PCR / GALACTOMANO ## CULTIVO Se debe identificar el nivel de la especie para la susceptibilidad de los antimicóticos disponibles en vitro. Diagnóstico definitivo. ## HISTOPATOLÓGICO Examen con tinciones especiales: PAS y / o Grocot Gomori. Diagnóstico Definitvo. ## GALACTOMANANO Componente de la pared fúngica excretado en la fase de crecimiento del hongo, siendo su nivel proporcional a la carga funica en el tedjio positivo en fusariosis. Diagnóstico Definitivo. - Se mide en suero y en lavado bronquioalveolar - Ppuede haber falsos positivos con el uso de pipetazo y otros betalactamcisos ## RADIOGRAFÍA DE TÓRAX Se observan cavitaciones o infiltrados.  (c) Copyright 2021-2022 Joyas ENARM - Todos los derechos reservados - # TOMOGRAFÍA DE TÓRAX Debe realizarse de manera inicial, seguida de una TAC de Alta Resolución (cortes finos de 1 mm ) si en la primera se identifica anormalidad. SIGNO DEL HALO: área de opacidad en vidrio despulido alrededor de un nódulo o consolidación focal. Se observa durante la neutropenia y es muy característica de la infección invasora por hongos del pulmón. Presente en el 60% de los casos por 5-7 días posteriores a la neutropenia grave. ## TRATAMIENTO  ## 1ra elección: VORICONAZOL Alternativas: Isavuconazol Efectos secundarios: alteraciones visuales, hepatotoxicidad y fotosensibilidad FORMA INVASIVA - Anidulafungina, Caspofungina, Micafungina.
Vista previa
Cancelar
Guardar cambios