PDF Processor
Inicio
Editar documento
Editar documento: 13. Absceso Pulmonar
Título
Contenido mejorado
Contenido original
Contenido mejorado por IA (Markdown)
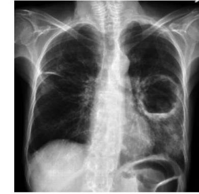
# ABSCESO PULMONAR ## DEFINICIÓN Un absceso pulmonar es la infección e inflamación que resulta en necrosis y cavitación pulmonar caracterizada por el acúmulo de pus. ## CLASIFICACIÓN | PRIMARIOS | Broncoaspiración | | :-- | :-- | | SECUNDARIOS | Cuerpo extraño, tumor, infección sistémica | ## TEMPORALIDAD | AGUDOS | Menos de 6 semanas | | :-- | :-- | | CRÓNICOS | Más de 6 semanas | ## ETIOLOGÍA **ANAEROBIOS DE LA FLORA DE CAVIDAD ORAL** (Peptostreptococcus, Prevotella, Bacteroides y Fusobacterium) Otros agentes: - S. aureus - E. coli - Pseudomonas - Klebsiella - Legionella - Mycobacterium tuberculosis ## LOCALIZACIÓN: - **SEGMENTOS INFERIORES** (parte posterior de los lóbulos superiores y parte superior de los lóbulos inferiores) - Debido a la predisposición de los materiales aspirados - Son más frecuentes en el pulmón derecho. ## EPIDEMIOLOGÍA ## FACTORES DE RIESGO - Compromiso mental - Mala higiene bucal - Alcoholismo - Toxicomanías - Convulsiones - Ventilación mecánica # CLÍNICA - Fiebre - Diaforesis - Tos productiva fétida - Puede haber hemoptisis - Puede haber dolor abdominal o torácico. ## COMPLICACIONES - Empiema - Fístula Broncopleural - Hemoptisis Masiva - Absceso Cerebral Metastásico ## DIAGNÓSTICO ## CLÍNICO - Inicia con la sospecha y los antecedentes del paciente ## ESTUDIO DE IMAGEN La presencia de un absceso se confirma con una imagen torácica que lo evidencie. - **RADIOGRAFÍA DE TÓRAX**: se detecta una cavidad de pared gruesa con un nivel hidroaéreo. - **TAC**: proporciona mejor definición y evidencia más precoz de la cavitación  ## CULTIVO DE ESPUTO Se puede complementar para definir la etiología ## TRATAMIENTO ## 1ra elección: **CLINDAMICINA O AMOXICALV** - Por lo regular el tratamiento se continúa hasta la desaparición del absceso o la presencia de una cicatriz pequeña en el estudio de imagen. ## CASOS GRAVES - Se agrega al esquema **CEFALOSPORINA 30 G, PIPE/TAZO O IMIPENEM** ## QUIRÚRGICO - Indicado en casos complicados, con mala evolución o de **ABSCESO MAYOR A 6 cm**.
Vista previa
Contenido original (Markdown)
# ABSCESO PULMONAR ## DEFINICIÓN Un absceso pulmonar es la infección e inflación que resulta en necrosis y cavitación pulmonar caracterizada por el acúmulo de pus. ## CLASIFICACIÓN | PRIMARIOS | Broncoaspiración | | :-- | :-- | | SECUNDARIOS | Cuerpo extraño, tumor, infección sistémica | ## TEMPORALIDAD | AGUDOS | Menos de 6 semanas | | :-- | :-- | | CRÓNICOS | Más de 6 semanas | ## ETIOLOGÍA ANAEROBIOS DE LA FLORA DE CAVIDAD ORAL (Peptostreptococcus, Prevotella, Bacteroides y Fusobacterium) Otros agentes: - S. aureus - E. coli - Pseudomonas - Klebsiella - Legionella - Mycobacterium tuberculosis ## LOCALIZACIÓN: - SEGMENTOS INFERIORES (parte posterior de los lóbulos superiores y parte superior de los lóbulos inferiores) - Debido a la predisposición de los materiales aspirados - Son más frecuentes en el pulmón derecho. ## EPIDEMIOLOGÍA ## FACTORES DE RIESGO - Compromiso mental - Mala higiene bucal - Alcoholismo - Toxicomanías - Convulsiones - Ventilación mecánica # CLÍNICA - Fiebre - Diaforesis - Tos productiva fétida - Puede haber hemoptisis - Puede haber dolor abdominal o torácico. ## COMPLICACIONES - Empiema - Fístula Broncopleural - Hemoptisis Masiva - Absceso Cerebral Metastásico ## DIAGNÓSTICO ## CLÍNICO - Inicia con la sospecha y los antecedentes del paciente ## ESTUDIO DE IMAGEN La presencia de un absceso se confirma con una imagen torácica que lo evidencie. - RADIOGRAFÍA DE TÓRAX: se detecta una cavidad de pared gruesa con un nivel hidroaéreo. - TAC: proporciona mejor definición y evidencia más precoz de la cavitación  ## CULTIVO DE ESPUTO Se puede complementar para definir la etiología ## TRATAMIENTO ## 1ra elección: CLINDAMICINA O AMOXICALV - Por lo regualr el tratamiento se continúa hasta la desaparición del absceso o la presencia de una cicatriz pequeña en el estudio de imagen. ## CASOS GRAVES - Se agrega al esquema CEFALOSPORINA 30 G, PIPE/TAZO O IMIPENEM ## QUIRÚRGICO - Indicado en casos complicados, con mala evolución o de ABSCESO MAYOR A 6 cm .
Vista previa
Cancelar
Guardar cambios