PDF Processor
Inicio
Editar documento
Editar documento: 1. TCE (Hematoma Epidural, Subdural, Contusión, Conmosión, Lesión Axonal Difusa)
Título
Contenido mejorado
Contenido original
Contenido mejorado por IA (Markdown)
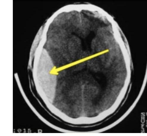
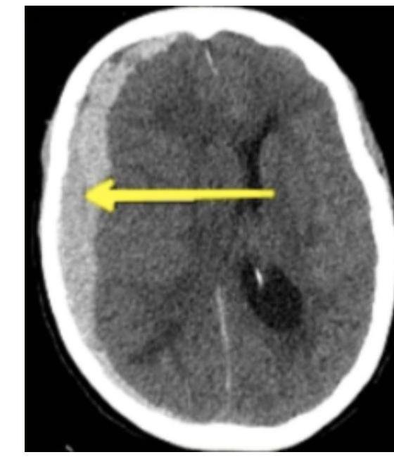
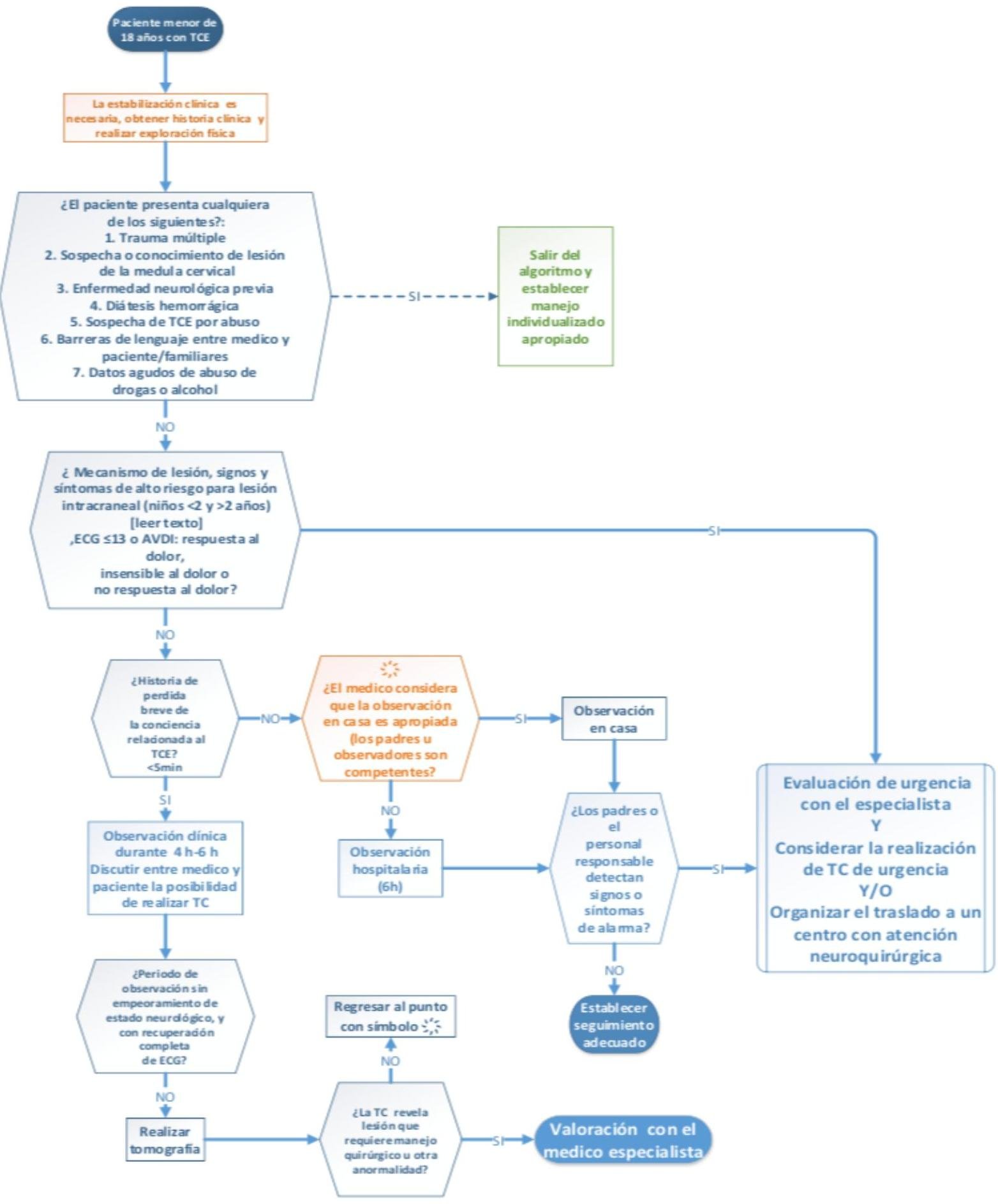
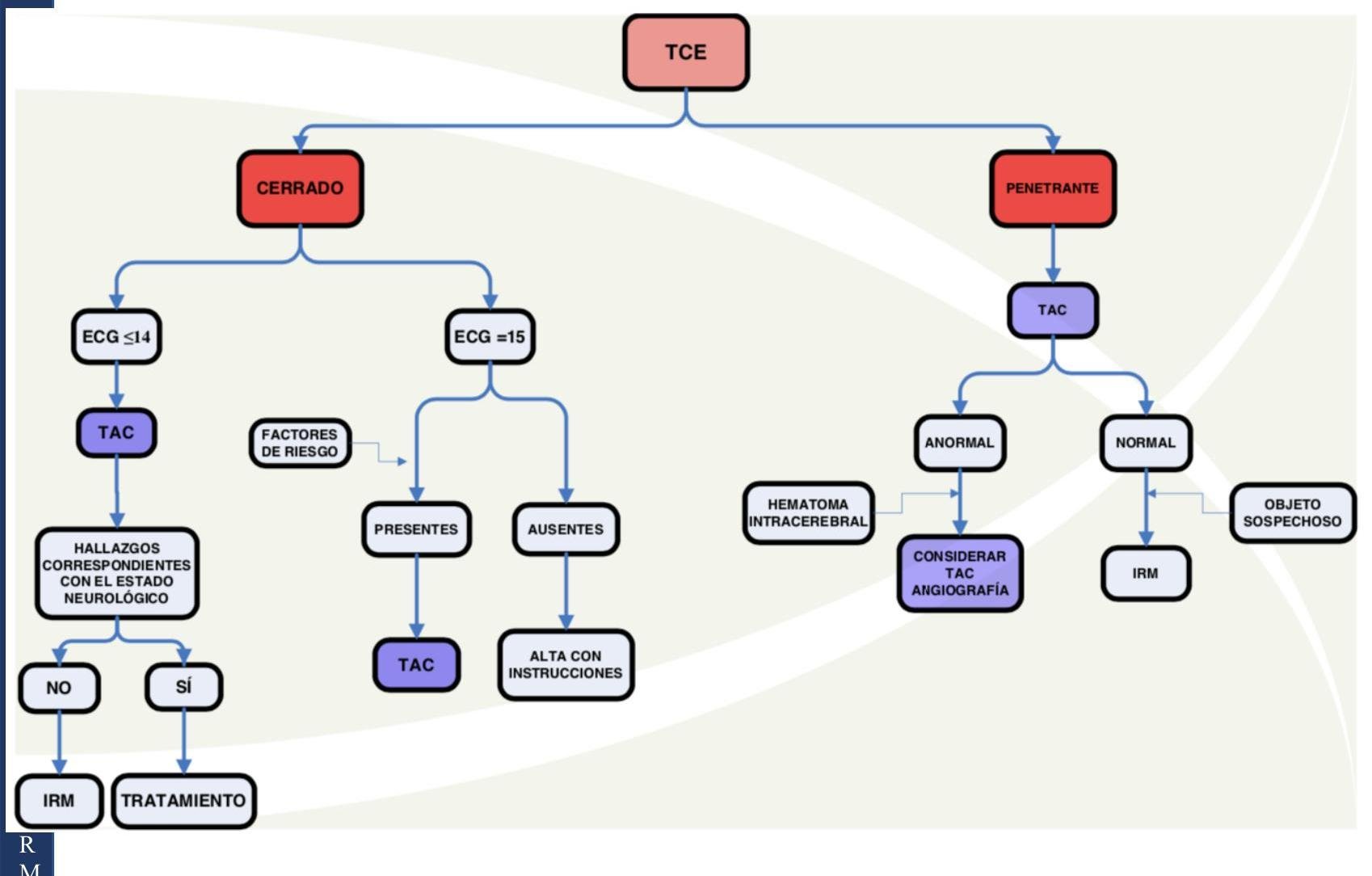
# TRAUMATISMO CRANEOENCEFÁLICO ## DEFINICIÓN Es una lesión directa en el cráneo, encéfalo o meninges por efecto mecánico provocado por un agente externo. Se clasifica en tres tipos: | TCE LEVE | Glasgow 14-15 | Cefalea leve, menos de 3 vómitos, sin pérdida de la conciencia | | :--------------: | :---------------------------------------------: | :----------------------------------------------------------------: | | TCE MODERADO | Glasgow 9-13 | Cefalea intensa, más de 3 vómitos, pérdida del estado de alerta, alteración de la conciencia, amnesia postraumática, convulsiones, sospecha de maltrato infantil, politraumatizado o trauma facial | | TCE GRAVE | Glasgow 8 o menor | Focalización, lesión penetrante del cráneo, fractura hundida o expuesta, disminución de Glasgow inicial, déficit neurológico de aparición posterior | **LESIÓN PRIMARIA**. Es el daño directo causado por el **impacto** del trauma o por los mecanismos de **aceleración-desaceleración**. Incluye **contusión cortical**, **laceración cerebral**, **fractura de cráneo**, **lesión axonal**, **contusión del tallo**, **desgarro dural o venoso**, etc. **LESIÓN SECUNDARIA**. Se desarrolla como consecuencia de la **injuria primaria**, desarrollando **sangrados**, **edemas**, **hiperemia**, **trombosis** y otros **procesos fisiopatológicos secundarios**. Incluye **hematoma intracraneano**, **epidural o subdural**, **edema cerebral**, **hipoxia y/o hipoperfusión cerebral**, elevación de **neurocitotoxinas** y **radicales libres**, **neuroinfección** y aumento de la **hipertensión endocraneana**. # EPIDEMIOLOGÍA - Es la causa más frecuente de coma (en ausencia de tumores o intoxicaciones). - Causa más frecuente de epilepsia en adolescentes y adultos jóvenes. ## FACTORES DE RIESGO - Causa y mecanismo de la lesión. - Tiempo transcurrido. - Estado mental subsecuente. - Presencia de crisis convulsivas postraumáticas. - Signos clínicos de fractura de cráneo. - Déficit neurológico específico. - Trastornos de la coagulación y uso de fármacos. - Sospecha de maltrato en menores de 18 años. ## ESCALA DE GLASGOW ADULTOS vs. NIÑOS | RESPUESTA OCULAR | | Puntos | | :---------------: | :--------------: | :------: | | **ADULTOS** | **LACTANTE** | | | Espontánea | Espontánea | 4 | | A estímulos verbales | A estímulos verbales | 3 | | Al dolor | Al dolor | 2 | | Ausencia de respuesta | Ausencia de respuesta | 1 | | RESPUESTA VERBAL | | | | **ADULTOS** | **LACTANTE** | | | Orientado | Sonríe, arrulla, gorgorea | 5 | | Desorientado / Confuso | Llora apropiadamente | 4 | | Palabras incoherentes | Grita, llanto inadecuado | 3 | | Sonidos incomprensibles | Quejido - gruñido | 2 | | Ausencia de respuesta | Sin respuesta | 1 | | RESPUESTA MOTORA | | | | **ADULTOS** | **LACTANTE** | | | Obedece órdenes | Adecuada al hablarle | 6 | | Localiza el dolor | Localiza el dolor | 5 | | Retira lo que le causa dolor | Retira lo que le causa dolor | 4 | | Flexión anormal | Flexión anormal | 3 | | Extensión anormal | Extensión anormal | 2 | | Ausencia de respuesta | Ausencia de respuesta | 1 | # MANEJO INICIAL DEL TCE ## TRAUMA LEVE (GLASGOW 14-15) Evaluación: Una vez documentado que se trata de un paciente con **TCE Leve**, se sabe que el riesgo de **complicaciones** es mínimo, por lo que el paciente no amerita **manejo intrahospitalario**. Monitorización: La **vigilancia** estará a cargo de los padres o **custodios** del menor en **DOMICILIO**. - La vigilancia de 6 horas en hospital es a criterio de decisión del médico. - No existe evidencia de que deba impedirse el **sueño** en las horas posteriores (incluso la falta de sueño puede modificar la conducta del paciente, dificultando la vigilancia de **datos de alarma**). - Se sugiere despertarlo cada 3 horas para evaluarlo. Indicaciones de una **NUEVA VALORACIÓN** (datos de alarma): - 3 o más vómitos en 24 horas. - Cefalea intensa. - Imposibilidad para establecer o mantener estado de despierto. - Crisis convulsivas. - Cambios en la conducta del menor. - Cualquier déficit neurológico (amaurosis, amnesia, paresia). - Presencia de hemorragia o salida de líquido por nariz u oído. - Marcha tambaleante o posturas anormales. TRAUMA MODERADO (GLASGOW 9-13) **VALORACIÓN E INVESTIGACIÓN EN URGENCIAS**: - **ABC**. - Deben ser valorados en un tiempo máximo de 15 minutos. - Si clínicamente se evidencia una lesión cerebral o de columna cervical, la valoración debe ser extensa. Criterios para realizar **RX**: - Menores de 1 año. - Sospecha de maltrato (complementar con huesos largos). - Pérdida de conciencia superior a cinco minutos (solo si no hay TAC). - Crepitaciones o hundimiento. - Trauma facial grave. - Rx Cervical indicada si hay politraumatismo, TCE Grave, dolor cervical (proyección antero-posterior). - No deben ser usadas como diagnóstico, solo de apoyo. # CRITERIOS PARA TAC INMEDIATA - Pérdida de conciencia de más de 5 minutos. - Amnesia anterógrada o retrógrada de más de 5 minutos. - Letargia. - 3 o más vómitos. - Convulsiones postraumáticas (sin antecedente de epilepsia). - Glasgow <15 en menores de 1 año y Glasgow <14 en el resto de pediátricos. - Sospecha de lesión abierta o deprimida (fontanela tensa). - Cualquier signo de fractura de base del cráneo. - Déficit neurológico focal. - Si es menor de un año: hematoma, edema, laceración de +5 cm en cabeza. - Mecanismo peligroso: accidente de alta velocidad, caída mayor a 3 metros, daño de alta velocidad con proyectil. - Coagulopatía (antecedente de sangrado o anticoagulantes). ## CRITERIOS PARA RMN: - No se indica como método primario de investigación para lesión cerebral secundaria a TCE. - Puede otorgar información adicional para el pronóstico (detecta lesiones pequeñas que no se ven en TAC). ## CRITERIOS PARA INTUBACIÓN EN TCE PEDIÁTRICO: - Escala de coma de Glasgow menor a 10 (adultos < 8). - Disminución de Glasgow de +3 puntos posterior a una calificación inicial. - Coma. - Anisocoria > 1 mm. - Lesión cervical espinal que comprometa ventilación. - Apnea. - Pérdida de reflejos de protección laríngea. - Hipercapnia (PaCO2 > 45 mmHg) o Hipoxemia (PaO2 < 60 mmHg). - Hiperventilación espontánea que ocasione PaCO2 < 25 mmHg. ## ESTABILIZACIÓN CIRCULATORIA - Determinación de FC, TA, calidad de pulsos centrales, periféricos y llenado capilar. - **Reanimación agresiva con fluidos** es necesaria si hay hipotensión. - - **CRISTALOIDES ISOTÓNICOS** 20 ml/kg (Cloruro de Sodio 0.9%). ○ No usar hipotónicos (Solución glucosada o Agua Inyectable) para reanimación inicial. - La TA mínima (percentil 5) para niños se obtiene = **70 + (Edad en Años x 2)**. - No se recomienda usar diuréticos. # HEMATOMA EPIDURAL - Consiste en la **acumulación de sangre** entre el **cráneo y la duramadre**. - Representa el 2-4 % de los traumas que requieren hospitalización. - Es más común en **niños, jóvenes y adultos jóvenes** (entre más edad, la **duramadre** está más pegada al hueso). ## ETIOLOGÍA 1. **SANGRADO ARTERIAL** (75-95% asociado a **fracturas**) → 70 % región **TEMPORAL**. a. **ARTERIA MENÍNGEA MEDIA**. 2. **Sangrado Venoso** (15%). ## CLÍNICA 1. **Pérdida de conciencia y luego periodo lúcido**, posterior **deterioro neurológico** (50 % de los casos). 2. Cefalea, vómito, hemiparesia, deterioro de alerta. 3. **Coma**. 4. **Herniación**. 5. **Muerte**. **TRIADA DE CUSHING** (Hipertensión Intracraneana) Sucede cuando el **efecto de masa** aumenta la **PIC**: **Hipertensión** + **Bradicardia** + **Alteraciones Respiratorias**. ## DIAGNÓSTICO **TOMOGRAFÍA COMPUTARIZADA**: Hallazgos: Forma de **LENTE BICONVEXA** + (puede) **Desplazamiento de línea media** (en los exámenes lo pueden mencionar como forma de **naranja o limón**). ## TRATAMIENTO ## QUIRÚRGICO:  El paciente puede estar asintomático; el **tratamiento quirúrgico** será en los que el **desplazamiento de la línea media** sea **significativo** (**efecto de masa > 10 mm**). **CIRUGÍA - CRANEOTOMÍA + DRENAJE DE HEMATOMA** (se realiza **evacuación y hemostasia**). Si hay **Hipertensión Intracraneana** - **Manitol al 20 %**. ## PRONÓSTICO La **Mortalidad** es del **5%**. - Si se presenta en región **TEMPORAL** es **más peligroso** que el parietal debido al riesgo de **herniación** (puede empujar el lóbulo temporal y formar una **hernia uncal**). # HEMATOMA SUBDURAL - Originado por una **LESIÓN EN PLEXOS VENOSOS SUBDURALES Y VENAS PUENTE** que comunican hacia los senos venosos durales, es decir, **debajo de la duramadre** y **antes de la aracnoides**. Es **más frecuente en la población adulta mayor** (poco común en niños). **Localización más frecuente** - **Fronto-Temporal**. ## ETIOLOGÍA 1. **Contusiones cerebrales** (50%). 2. **Hemorragia subaracnoidea** (25%). La causa más común son las **caídas desde su propia altura**. 3. **Hematomas epidurales** (10%). ## FISIOPATOLOGÍA 1. **Acumulación de sangre** alrededor de **laceración del parénquima**. 2. **RUPTURA DE VENAS PUENTE** por **mecanismo de aceleración-desaceleración**. 3. **Lesión arterial** - **MUY RARO** (puede ser por **ruptura de aneurisma**). ## CLASIFICACIÓN - Agudo: 1-3 días (TAC Hiperdensa). - Subagudo: 4-14 días (TAC Isodensa). - Crónico: +15 días (TAC Hipodensa). ## CLÍNICA - **Dolor de cabeza**. - **Cambios en el estado mental**. - **Hemiparesia contralateral**. - **Focalización neurológica**. - **Pseudodemencia en ancianos**. # DIAGNÓSTICO ## Tomografía Computarizada ## Hallazgos: - Imagen en **Semiluna (Falciforme)** que sigue el contorno del cerebro. - (En los exámenes lo pueden mencionar como **banana**). ## TRATAMIENTO  QUIRÚRGICO: - Se realiza una **evacuación del hematoma + lavado + hemostasia + drenaje subgaleal**. ## PRONÓSTICO ## MAL PRONÓSTICO - **Hipotensión arterial**. - **Mayores de 60 años**. - **Glasgow menor a 6**. **MORTALIDAD** 50%. - **Hematomas de > 10 mm de espesor**. - **Desviación línea media mayor a 5 mm**. # EPIDURAL vs. SUBDURAL  EPIDURAL SUBDURAL # FRACTURA DE LA BASE DEL CRÁNEO Es importante evaluar las **fracturas craneales** ya que son **marcadores de intensidad** y **sugieren lesión intracraneal**. Las fracturas que presenten **fragmentos de hueso deprimido** necesitarán **reparación quirúrgica**. ## CLÍNICA - **Hemotímpano**. - Lesión de **PC** (Anosmia, PCI Frontoetmoidales, PC VII yd VIII por fracturas del peñasco y del VI par en las fracturas del clivus). - **Otorrea**. - **Epistaxis**.  | BASE ANTERIOR | **Equimosis periorbitaria (Ojos de Mapache)** y **Rinorraquia** | | :-------------: | :------------------------------------------------------------ | | BASE MEDIA | **Equimosis retroauricular (Signo de Battle)** y **Otorraquia** | | BASE POSTERIOR | Cuadro clínico no definido, se visualiza por **TAC** | ## DIAGNÓSTICO ## TOMOGRAFÍA COMPUTARIZADA - Se debe realizar en **TCE Moderado y Severo** para descartar lesiones. ## TRATAMIENTO - Conservador. # CONMOCIÓN CEREBRAL ## CLÍNICA - **Alteración del nivel de conciencia transitoria y duración variable**. - **Amnesia del episodio**. - **Incoordinación**. ## DIAGNÓSTICO - **TAC sin alteración radiológica**. ## TRATAMIENTO No precisa tratamiento específico. ## CONTUSIÓN CEREBRAL Corresponde al 9% de los TCE, por **mecanismos de golpe y contragolpe** (pueden ser **hemorrágicos o no**). ## CLÍNICA - Variable y limitado deterioro del estado neurológico. - Su comportamiento es **amenazante entre el día 4 y 7** debido al **efecto de masa** por la **contusión y el edema** con pico. ## DIAGNÓSTICO - **TAC** que evidencia **lesiones intraparenquimatosas hiperdensas pequeñas**. ## TRATAMIENTO - **Cirugía** dependiendo de la localización, tamaño y el estado neurológico del paciente. - **Anticonvulsivante profiláctico**. # LESIÓN AXONAL DIFUSA Traduce la suma de un concepto clínico (**coma traumático prolongado**) y un concepto anatomopatológico (**alteración del citoesqueleto**, con **degeneración del axón** y **desconexión del mismo o axotomía**). Tras el **TCE**, la **secuencia fisiopatogénica** sería una **primitiva excitación neuronal** seguida de una **inhibición**, produciéndose la **pérdida de conciencia** y la **liberación masiva de iones al medio extracelular**. ## CLÍNICA **Deterioro precoz y mantenido del nivel de conciencia**. ## DIAGNÓSTICO - **TAC de aspecto aparentemente normal**. ## TRATAMIENTO **Conservador**.  # MANEJO TCE NIÑOS  # EVALUACIÓN INICIAL TCE ADULTOS  # MANEJO TCE ADULTOS  # MÉTODOS DIAGNÓSTICOS ADULTOS 
Vista previa
Contenido original (Markdown)
# TRAUMATISMO CRANEOENCEFÁLICO ## DEFINICIÓN Es una lesión directa en el cráneo, encéfalo o meninges por efecto mecánico provocado por un agente externo. Se clasifica en tres tipos: | TCE LEVE | Glasgow 15- 14 | Cefalea Leve Menos de 3 vómitos Sin pérdida de la conciencia | | :--: | :--: | :--: | | TCE MODERADO | Glasgow 13 - 9 | Cefalea intensa Más de 3 vómitos Pérdida del estado de alerta Alteración de la conciencia Amnesia post-traumática Convulsiones Sospecha de maltrato infantil Politraumatizado o trauma facial | | TCE GRAVE | Glasgow 8 o menor | Focalización Lesión penetrante del cráneo Fractura hundida o expuesta Disminución de Glasgow inicial Déficit neurológico de aparición posterior | LESIÓN PRIMARIA. Es el daño directo causado por el impacto del trauma o por los mecanismos de aceleracióndesaceleración. Incluye contusión cortical, laceración cerebral, fractura de cráneo, lesión axonal, contusión del tallo, desgarro dural o venoso, etc. LESIÓN SECUNDARIA. Se desarrolla como consecuencia de la injuria primaria, desarrollando sangrados, edemas, hiperemia, trombosis y otros procesos fisiopatológicos secundarios. Incluye hematoma intracraneano, epidural o subdural, edema cerebral, hipoxia y/o hipoperfusión cerebral, elevación de neurocitotoxinas y radicales libres, neuroinfección y aumento de la hipertensión endocraneana # EPIDEMIOLOGÍA - Es la causa más frecuente de coma (en ausencia de tumores u ocupacional) - Causa más frecuente de epilepsia en adolescentes y adultos jóvenes. ## FACTORES DE RIESGO - Causa y mecanismo de la lesión - Tiempo transcurrido - Estado mental subsecuente - Presencia de crisis convulsivas postraumáticas - Signos clínicos de fractura de cráneo - Déficit neurológico específico - Trastornos de la coagulación y uso de fármacos - Sospecha de maltrato en menores de 18 años ## ESCALA DE GLASGOW ADULTOS V NIÑOS | RESPUESTA OCULAR | | Puntos | | :--: | :--: | :--: | | ADULTOS | LACTANTE | | | Espontánea | Espontánea | 4 | | A estímulos Verbales | A estímulos Verbales | 3 | | Al dolor | Al dolor | 2 | | Ausencia de respuesta | Ausencia de respuesta | 1 | | RESPUESTA VERBAL | | | | ADULTOS | LACTANTE | | | Orientado | Sonríe, arrulla, gorgorea | 5 | | Desorientado / Confuso | Llora apropiadamente | 4 | | Palabras Incoherentes | Grita, llanto inadecuado | 3 | | Sonidos Incomprensibles | Quejido - gruñido | 2 | | Ausencia de Respuesta | Sin respuesta | 1 | | RESPUESTA MOTORA | | | | ADULTOS | LACTANTE | | | Obedece órdenes | Adecuada al hablarle | 6 | | Localiza el dolor | Localiza el dolor | 5 | | Retira lo que le causa dolor | Retira lo que le causa dolor | 4 | | Flexión Anormal | Flexión Anormal | 3 | | Extensión Anormal | Extensión Anormal | 2 | | Ausencia de respuesta | Ausencia de respuesta | 1 | # MANEJO INICIAL DEL TCE ## TRAUMA LEVE (GLASGOW 14-15) Evaluación: una vez documentado que se trata de un paciente con TCE Leve, se sabe que el riesgo de complicaciones es mínimo por lo que el paciente no amerita manejo intrahospitalario. Monitorización: vigilancia estará a cargo de los padres o custidos del menor en DOMICILIO. - La vigilancia de 6 horas en hospital es a criterio de decisión del médico - No existe evidencia de que deba impedirse el sueño en las horas posteriores (incluso la falta de sueño puede modificar la conducta del paciente, dificultando la vigilancia de datos de alarma) - Se sugiere despertarlo cada 3 horas horas para evaluarlo Indicaciones de una NUEVA VALORACIÓN (datos de alarma) - 3 o más vómitos en 24 horas - Cefalea intensa - Imposibilidad para establecer o mantener estado de despierto - Crisis convulsivas - Cambios en la conducta del menor - Cualquier déficit neurológico (amaurosis, amnesia, paresia) - Presencia de hemorragia o salida de líquido por nariz.u oído - Marcha fambaleante o posturas anormales. TRAUMA MODERADO (GLASGOW 9 - 13) VALORACIÓN E INVESTIGACIÓN EN URGENCIAS: ## - ABC - Deben ser valorados en un tiempo máximo de 15 minutos - Si clínicamente se evidencia una lesión cerebral o de columna cervica, la valoración debe ser extesna, Criterios para realizar RX - Menores de 1 año - Sospecha de maltrato (complementar con huesos largos) - Pérdida de conciencia superir a cinco minutos (solo si no hay TAC) - Crepitaciones o hundimiento - Trauma facial grave - Rx Cervical indicada si hay lesiones politrauma, TCE Grave, dolor cervical (proyección antero-posterior - No deben ser usadas como diagnóstico, solo de apoyo. # CRITERIOS PARA TAC INMEDIATA - Pérdida de conciencia de +5 minutos - Amnesia anterógrada o retrógrada de +5 minutos - Letargia \Rightarrow 3 o más vómitos - Convusliones post traumáticas (Sin antecedente de epilepsia) - Glasgow <15 en menores de 1 año y Glasgow <14 en el resto de pediátricos - Sospecha de lesión abierta o deprimida (fontanela tensa) - Cualquier signo de fractura de base del cráneo - Déficit neurológico focal - Si es menor de un año: hematoma, edema, laceración de +5 cm en cabeza - Mecanismo peligroso: accidente alta velocidad, caída mayor a 3 metros, daño de alta velocidad con proyectil - Coagulopatía (antecedente de sangrado o anticoagulantes) ## CRITERIOS PARA RMN: - No se indica como método primario de investigación para lesión cerebral secundaria a TCE - Puede otorgar información adicional para el pronóstico (detecta lesiones pequeñas que no se ven en TAC) ## CRITERIOS PARA INTUBACIÓN EN TCE PEDIÁTRICO: - Escala de coma de Glasgow menor a 10 (adultos 8) - Disminución de Glasgow de +3 puntos posterior a una calificación incial - Coma - Anisocoria +1 mm - Lesión cervical espinal que comprometa ventilación - Apnea - Pérdida de reflejos de protección laríngea - Hipercapina (PaCO2 +45mmHg) o Hipoxemia (PaCO2 -60mmHg) - Hiperventilación espontánea que ocasione PaCO2 - 25 mmHg ## ESTABILIZACIÓN CIRCULATORIA - Determinación de FC, TA, Calidad de pulsos centrales, periféricos y llando capilar - Reanimación agresiva con fluidos es necesaria si hay hipotensión - - CRISTALOIDES ISOTÓNICOS 20 ml / kg (Cloruro de Sodio 0.9%) ○ No usar hipotónicos (Sol glucosada o Agua Inyectable) para reanimación inicial - La TA mínima (percentil 5) para niños se obtiene =\mathbf{7 0}+ (Edad en Años x2) - No se recomienda usar diuréticos. # HEMATOMA EPIDURAL - Consiste en la acumulación de sangre entre el cráneo y la duramadre - Representa el 2-4 % de los traumas que requieren hospitalización. - Es más común en niños, jóvenes y adultos jóvenes (entre más edad, la duramadre está más pegada al hueso) ## ETIOLOGÍA 1. SANGRADO ARTERIAL (75-95% asociado a fracturas) \rightarrow 70 % región TEMPORAL. a. ARTERIA MENÍNGEA MEDIA 2. Sangrado Venoso (15%) ## CLÍNICA 1. Pérdida de conciencia y luego periodo lúcido, posterior deterioro neurológico ( 50 % de los casos) 2. Cefalea, vómito, hemiparesia, deterioro de alerta 3. Coma 4. Herniación 5. Muerte TRIADA DE CUSHING (Hipertensión Intracraneana) Sucede cuando el efecto de masa aumenta la PIC Hipertensión + Bradicardia + Alteraciones Respiratorias ## DIAGNÓSTICO TOMOGRAFÍA COMPUTARIZADA: Hallazgos: Forma de LENTE BICONVEXA + (puede) Desplazamiento de línea media (en los exámenes lo pueden mencionar como forma de naranja o limón) ## TRATAMIENTO ## QUIRÚRGICO:  El paciente puede estar asintomático (el tratamiento Q x será en los que el desplazamiento de la línea media sea significativo - efecto de masa +10 mm ) CIRUGÍA - CRANEOTOMÍA + DRENAJE DE HEMATOMA (se realiza evacuación y hemostasia) Si hay Hipertensión Intracraneana - Manitol al 20 % ## PRONÓSTICO Mortalidad es del 5% - Si se presenta en región tempral es más peligroso que el parietal debido al riesgo de herniación (puede empujar el lóbulo temporal y formar una hernia uncal) # HEMATOMA SUBDURAL - Originado por una LESIÓN EN PLEXOS VENOSOS SUBDURALES Y VENAS PUENTE que comunican hacia los senos venosos durales, es decir, debajo de la duramadre y antes de la aracnoides. Es más frecuente en la población adulta mayor (poco común en niños) Localización más frecuente - Fronto-Temporal ## ETIOLOGÍA 1. Contusiones cerebrales (50%) 2. Hemorragia subaracnoidea (25%) La causa más común son las caídas desde su propia altura 3. Hematomas epidurales (10%) ## FISIPATOLOGÍA 1. Acumulación de sangre alrededor de laceración del parénquima 2. RUPTURA DE VENAS PUENTE por mecanismo de aceleración-desaceleración 3. Lesión arterial - MUY RARO (puede ser por ruptura de aneurisma) ## CLASIFICACIÓN - Agudo: 1-3 días (TAC Hiperdensa) - Subagudo: 4-14 días (TAC Isodensa) - Crónico: +15 días (TAC Hipodensa) ## CLÍNCIA - Dolor de cabeza - Cambios en el estado mental - Hemiparesia Contralateral - Focalización neurológica - Pseudodemencia en ancianos # DIAGNÓSTICO ## Tomografía Computarizada ## Hallazgos: - Imagen en Semiluna (Falciforme) que sigue el contorno del cerebro. - (En los exámenos lo pueden mencionar como banana) ## TRATAMIENTO  QUIRÚRGICO: - Se realiza una evacuación del hematoma + lavado + hemostasia + drenaje subgaleal ## PRONÓSTICO ## MAL PRONÓSTICO - Hipotensión Arterial - Mayores de 60 años - Glasgow menor a 6 MORTALIDAD 50% - Hematomas de +10 mm de espesor - Desviación línea media mayor a 5 mm # EPIDURAL VS SUBDURAL  EPIDURAL SUBDURAL # FRACTURA DE LA BASE DEL CRÁNEO Es importante evaluar las fracturas craneales ya que son marcadores de intensidad y sugieren lesión intracraneal. Las fracturas que presenten fragmentos de hueso deprimido necesitarán reparación quirúrgica. ## CLÍNICA - Hemotímpano - Lesión de PC (Anosmia, PCI Frontoetmoidales, PC VII y VII por fracturas del peñasco y del VI par en las fracturas del clivus - Otorrea - Epistaxis  | BASE ANTERIOR | Equimosis Periorbitaria (Ojos de Mapache) y Rinorraquia | | :--: | :-- | | BASE MEDIA | Equimosis Retroauricular (Signo de Battle) y Otorraquia | | BASE POSTERIOR | Cuadro clínico no definido, se visualiza por TAC | ## DIAGNÓSTICO ## TOMOGRAFÍA COMPUTARIZADA - Se debe realizar en TCE Moderado y Severo para descartar lesiones. ## TRATAMIENTO - Conservador # CONMOCIÓN CEREBRAL ## CLÍNICA - Alteración del nivel de conciencia transitoria y duración variable - Amnesia del episodio - Incoordinación ## DIAGNÓSTICO - TAC sin alteración radiológica. ## TRATAMIENTO No precisa tratamiento específico ## CONTUSIÓN CEREBRAL Corresponde al 9% de los TCE, por mecanismos de golpe y contragolpe (pueden ser hemorrágico o no). ## CLÍNICA - Variable y limitado deterioro del estado neurológico - Su comportamiento es amenazante entre el día 4 y 7 debido al efecto de masa por la contusión y el edema con picos ## DIAGNÓSTICO - TAC que evidencia lesiones intraparenquimatosas hiperdensas pequeñas ## TRATAMIENTO - Cirugía dependiendo de la localización, tamaño y el estado neurológico del paciente - Aniconvulsivante profiláctico. # LESIÓN AXONAL DIFUSA (CONCUSIÓN) Traduce la suma de un concepto clínico (coma traumático prolongado) y un concepto anatomopatológico (alteración del citoesqueleto, con degeneración del axón y desconexión del mismo o axotomía). Tras el TCE la secuencia fisiopatogénica sería una primitiva excitación neuronal seguida de una inhibición, produciéndose la pérdida de conciencia y la liberación masiva de iones al medio extracelular. ## CLÍNICA Deterioro precoz y mantenido del nivel de conciencia ## DIAGNÓSTICO - TAC de aspecto aparentemente normal ## TRATAMIENTO Conservador.  # MANEJO TCE NIÑOS  # EVALUACIÓN INICIAL TCE ADULTOS  # MANEJO TCE ADULTOS  # MÉTODOS DIAGNÓSTICOS ADULTOS 
Vista previa
Cancelar
Guardar cambios