PDF Processor
Inicio
Editar documento
Editar documento: 3. Tumores del Sistema Nervioso Central
Título
Contenido mejorado
Contenido original
Contenido mejorado por IA (Markdown)
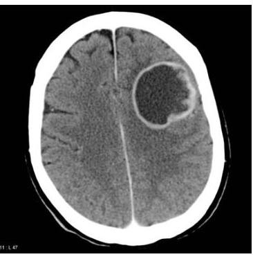
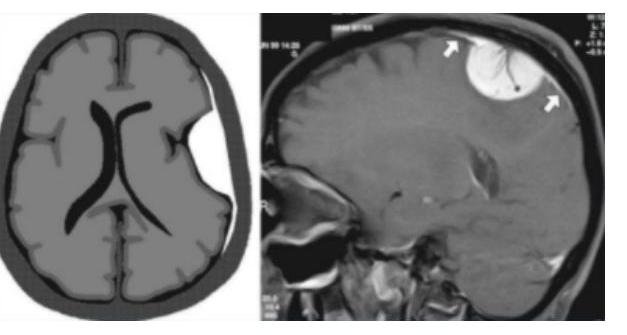
# **TUMORES DEL SNC** ## **DEFINICIÓN** Los tumores cerebrales representan un grupo grande y heterogéneo de neoplasias cuyo factor común es un desequilibrio que se produce en relación con la proliferación/muerte celular debido a la acumulación de células provocada por mecanismos genéticos o epigenéticos. ## **EPIDEMIOLOGÍA** - Los meningiomas son los tumores primarios más frecuentes. - En cuanto a tumores generales, las **METÁSTASIS** son los tumores cerebrales más frecuentes. - El cáncer de pulmón de células pequeñas es la metástasis a cerebro más frecuente. - Las neoplasias cerebrales representan 15-20% de los tumores en infancia y adolescencia. - Pediátricos: **FOSA CRANEAL POSTERIOR**, **TALLO** y **CEREBELO** (60% de los tumores). - Adultos: **SUPRATENTORIAL**. - El tamaño de la lesión **NO SE RELACIONA CON EL PRONÓSTICO**. - El Glioblastoma Multiforme es el tumor primario más común en el adulto (**MAL PRONÓSTICO**). ## **FACTORES DE RIESGO** - Genéticos (NFM 1 y 2, Esclerosis Tuberosa, Ataxia Telangiectasia, Sx Von Hippel-Lindau, Sx Sturge-Weber) - Inmunológicos - Radiación **IONIZANTE** (Radiografías, TAC, Hemodinamia) - Exposición a hidrocarburos aromáticos - Neurofibromatosis ## **CLÍNICA** - **CEFALEA** (es el síntoma más común). - Característica: Que lo despierta en la noche. - Náuseas/vómitos - Focalidad neurológica - Alteración de la personalidad - Nistagmo - **HIPERTENSIÓN INTRACRANEAL**: **CEFALEA MATUTINA** + **NÁUSEA** + **VÓMITO**. - **SÍNDROME CEREBELOSO**: **VERMIANO** + **ATAXIA TRONCAL** o de la **MARCHA** + **DISMETRÍA** + **DISARTRIA** + **ROTS** pendulares. ## **SÍNDROME DE HIPERTENSIÓN INTRACRANEAL CRÓNICO**: - Puede ser por hidrocefalia, tumores o infección. - Síntomas de un solo lado: Pensar en **CORTEZA CEREBRAL**. - Síntomas bilaterales y pares craneales en contralateral: **TALLO CEREBRAL**. - Síntomas de marcha y nistagmus del mismo lado de la lesión del **CEREBELO**. ## **DATOS DE ALARMA**: **CEFALEA CRÓNICA Y PROGRESIVA**, **VÓMITO RECURRENTE**, **ALTERACIONES VISUALES**, **DISFUNCIÓN ENDOCRINA**, **REGRESIÓN DE HITOS DEL DESARROLLO**, **ALTERACIÓN EXAMEN NEUROLÓGICO**. - **PAPILEDEMA** + **FONTANELA TENSA** + **VÓMITO** + **OJOS EN SOL NACIENTE** (no se pueden levantar). ## **TRIADA DE CUSHING** (**HIPERTENSIÓN INTRACRANEANA**) Sucede cuando el efecto de masa aumenta la PIC: **HIPERTENSIÓN** + **BRADICARDIA** + **ALTERACIONES RESPIRATORIAS**. # **DIAGNÓSTICO** ## 1ra elección: **EXPLORACIÓN NEUROLÓGICA** Debe realizarse un examen neurológico exhaustivo ya que en más del \mathbf{95 \%} de los casos se encuentra alguna alteración neurológica añadida a los síntomas que motivaron la consulta. ## **GOLD STANDARD**: **RMN CON GADOLINIO** Ante la sospecha de tumor cerebral, el estudio de imagen más importante siempre será **RMN CON GADOLINIO**. ## **TAC** En su modalidad simple o contrastada es una alternativa útil cuando no se cuenta con RMN y cuando es indispensable descartar **HIDROCEFALIA** asociada.  # **MANEJO INICIAL** - Posición neutra. - Elevación 15-30°. - Descompresión abdominal con SNG. - Si hay falla respiratoria, **INTUBACIÓN ENDOTRAQUEAL** de secuencia rápida. ## **ESTADO EPILÉPTICO** - **MIDAZOLAM** Fenitoína puede recomendarse en menores de 6 años de forma empírica para evitar la recurrencia. No se recomienda el uso de antiepilépticos profilácticos. ## **MANEJO ANTIEDEMA** ## 1ra e: **DEXAMETASONA IV** - Dosis de 1 mg/kg como dosis de carga y posteriormente 1-1.5 mg/kg dividido en 4 dosis. # **ASTROCITOMA** - Es la neoplasia cerebral más frecuente en **NIÑOS**. A nivel histopatológico aparecen **FIBRAS DE ROSENTHAL** en la tinción hematoxilina-eosina. **LOCALIZACIÓN**: **INFRATENTORIAL** (43%). ## **CARACTERÍSTICAS** - Causan **CRISIS EPILÉPTICAS**. - No captan **CONTRASTE**. - Aparecen en **LÓBULO FRONTAL** y **TEMPORAL**.  | GRADO OMS | GRADO | TRATAMIENTO | | :--: | :-- | :-- | | Grado I | Bajo Grado | **CIRUGÍA** | | Grado II | Bajo Grado | **CIRUGÍA**. Radioterapia si no es resecable. Quimioterapia en recurrencias. | | Grado III | **ANAPLASIA** y **ACTIVIDAD MITÓTICA** | **CIRUGÍA** + **RT** + **QT**. | | Grado IV | **PROLIFERACIÓN MICROVASCULAR** y **NECROSIS** | | ## **OLIGODENDROGLIOMA** ## **CARACTERÍSTICAS** Es el tumor más **EPILEPTÓGENO**. **LÓBULO FRONTAL**. Histopatología: Aspecto de **HUEVO FRITO**. **TRATAMIENTO**: - **CIRUGÍA** + **QUIMIOTERAPIA**. ## **EPENDIMOMA** ## **CARACTERÍSTICAS** Afecta principalmente la **MÉDULA ESPINAL** y el suelo del \(4^{\circ}\) ventrículo. Es común en **NIÑOS**. **TRATAMIENTO**: - **CIRUGÍA** + **RADIOTERAPIA**.  ## **MEDULOBLASTOMA** ## **CARACTERÍSTICAS** - Es la neoplasia más frecuente en **MENORES DE 5 AÑOS**. - Asociación con Síndromes de **LI-FRAUMENI** y **TURCOT**. - Localizado en el techo del \(4^{\circ}\) ventrículo. Histopatología: **ROSETA DE HOMER-WRIGHT**. ## **TRATAMIENTO** - **CIRUGÍA** + **QUIMIOTERAPIA** + **RADIOTERAPIA**. ## **MENINGIOMA** - \(2^{\circ}\) neoplasia más frecuente en el adulto (después del **GLIOMA**). - Típico en **MUJERES** de \(5^{a}\) y \(6^{a}\) década. - Se asocia a **CA DE MAMA** y **TVP**. ## RMN: **COLA DURAL**. ## **TRATAMIENTO** - **CIRUGÍA**. ## **GERMINOMA** - Es el tumor **PINEAL** más frecuente. - Se acompaña de **DIABETES INSÍPIDA** / **PUBERTAD PRECOZ**. - Es un tumor **INVASOR** y causa **HIDROCEFALIA**. ## **TRATAMIENTO** - **RADIOTERAPIA**.  | TUMOR | LOCALIZACIÓN | DIAGNÓSTICO | DATOS | | :--: | :--: | :--: | :--: | | ASTROCITOMA | **INFRATENTORIAL** (43%). **PISO DEL \(4^{\circ}\) VENTRÍCULO**. | RMN: **REALCE EN ANILLO**. | Tumor cerebral más frecuente en **PEDIATRÍA** (<18 años). | | MEDULOBLASTOMA | Localizado en el techo del \(4^{\circ}\) ventrículo. | **PUNCIÓN LUMBAR**: Se buscan células y marcadores específicos preoperatorios. | Tumor más frecuente en **<4 AÑOS**. Tumor embrionario altamente **MALIGNO** con tendencia a la **DISEMINACIÓN LEPTOMENÍNGEA**. Asociación con Síndromes de **LI-FRAUMENI** y **TURCOT**. | | OLIGODENDROGLIOMA | **LÓBULO FRONTAL**. | Histopatología: Aspecto de **HUEVO FRITO**. | Es el tumor más **EPILEPTÓGENO**. | | EPENDIMOMA | **MÉDULA ESPINAL** y el suelo del \(4^{\circ}\) ventrículo. Se origina de células ependimarias del sistema ventricular y canal central de médula. | **ROSETAS PERIVASCULARES**. | Lesión **FOSA CRANEAL POSTERIOR**. **EDAD MEDIA**: 5.6 **AÑOS**. | | MENINGIOMA | Tumor localizado en las **MENINGES**. | RMN: **COLA DURAL**. | \(2^{\circ}\) neoplasia más frecuente en el adulto (después del **GLIOMA**). Es el **TUMOR NO MALIGNO** más frecuente en el adulto. Se asocia a **CA DE MAMA** y **TVP**. | | GERMINOMA | **GLÁNDULA PINEAL**. Tumor **INVASOR** y causa **HIDROCEFALIA**. | Asociado a **DIABETES INSÍPIDA** / **PUBERTAD PRECOZ**. | Es el tumor **PINEAL** más frecuente. | # **SÍNTOMAS DE AUMENTO DE PRESIÓN INTRACRANEANA**: 1. **VÓMITOS** (69%). 2. **CEFALEA** (53%). 3. **ATAXIA** (27%). 4. **LATERALIZACIÓN DE CABEZA** (8%). 5. **CONVULSIONES** (6%).
Vista previa
Contenido original (Markdown)
# TUMORES DEL SNC ## DEFINICIÓN Los tumores cerebrales representan un grupo grande y heterogéneo de neoplasias cuyo factor común es un desequilibrio que se produce en relación a la proliferación/muerte celular a factor de la acumulación de células, provocado por mecanismos genéticos o epigenéticos. ## EPIDEMIOLOGÍA - Los meningiomas son los tumores primarios más frecuentes. - En cuanto a tumores generales, las METÁSTASIS son los tumores cerebrales más frecuentes. - El cáncer de pulmón de células pequeñas es la metástasis a cerebro más frecuente. - Las neoplasias cerebrales representan 15-20 % de los tumores en infancia y adolescencia. - Pediátricos FOSA CRANEAL POSTERIOR, TALLO y CEREBELO (60% de los tumores) - Adultos SUPRATENTORIAL. - El tamaño de la lesión NO SE RELACIONA CON EL PRONÓSTICO. - El Glioblastoma Multiforme es el tumor primario más común en el adulto (mal pronóstico) ## FACTORES DE RIESGO - Genéticos (NFM 1 y 2, Esclerosis Tuberosa, Ataxia Telangiectasia, Sx Von-Hipel-Lindau, Sx Sturge-Weber) - Inmunológicos - Radiación IONIZANTE (Radiografías, TAC, Hemodinamia) - Exposición a hidrocarburos aromáticos - Neurofibromatosis CLÍNICA - CEFALEA (es el síntoma más común) - Característica: que lo despierta en la noche - Náuseas/Vómitos - Focalidad Neurológica - Alteración en la personalidad - Nistagmo - Hipertensión Intracraneal: CEFALEA MATUTINA + NÁUSEA + VÓMITO - Síndrome Cerebeloso: Vermiano + Ataxia Troncal o de la Marcha + Dismetría + Disartria + ROTS pendulares. ## SÍNDROME DE HIPERTENSIÓN INTRACRANEAL CRÓNICO: - Puede ser por hidrocefalia, tumores o infección - Síntomas de un solo lado: Pensar en corteza cerebral - Síntomas bilaterales y pares craneales en contralateral: Tallo cerebral - Síntomas de marcha y nistagmus del mismo lado de la lesión del Cerebelo ## DATOS DE ALARMA: cefalea crónica y progresiva, vómito recurrente, alteraciones visuales, disfunción endócrina, regresión de hitos del desarrollo, alteración examen neurológico. - Papiledema + Fontanela Tensa + Vómito + Ojos en sol naciente (no se pueden levantar) TRIADA DE CUSHING (Hipertensión Intracraneana) Sucede cuando el efecto de masa aumenta la PIC Hipertensión + Bradicardia + Alteraciones Respiratorias # DIAGNÓSTICO ## 1ra elección: EXPLORACIÓN NEUROLÓGICA Debe realizarse un examen neurológico exhaustivo ya que en más del \mathbf{9 5 %} de los casos se va a encontrar alguna alteración neurológica agregada a los síntomas que motivaron la consulta. ## GOLD STANDARD: RMN CON GADOLINEO Ante la sospecha de tumor cerebral el estudio de imagen más importante siempre será RMN CON GADOLINIO. ## TAC En su modalidad simple o contrastada es una alternativa útil cuando no se cuenta con RMN y cuando es indispensable descartar hidrocefalia asociada  # MANEJO INICIAL - Posición neutra - Elevación 15-30 - Descompresión abdominal con SNG - Si hay falla respiratoria Intubación Endotraqueal de secuencia rápida ## ESTADO EPILÉPTICO - MIDAZOLAM Fenitoína puede recomendarse en menores de 6 años de forma empírica para evitar la recurrencia. No se recomienda el uso de antiepilépticos profilácticos. ## MANEJO ANTIEDEMA ## 1rae: DEXAMETASONA IV - Dosis de 1 mg / kg como dosis de carga y posteriormente 1 - 1.5 dividido en 4 dosis. # ASTROCITOMA ## - Es la neoplasia cerebral más frecuente en niños. A nivel histopatológico aparecen Fibras de Rosenthal en la tinción hematoxilina-eosina. LOCALIZACIÓN: INFRATENTORIAL (43%) ## CARACTERÍSTICAS - Causan crisis epilépticas - No captan contraste - Aparecen en Lóbulo frontal y temporal  ## RMN - Realce en Anillo | GRADO OMS | GRADO | TRATAMIENTO | | :--: | :-- | :-- | | Grado I | Bajo Grado | Cirugía | | Grado II | Bajo Grado | Cirugía Radioterapia si no es resecable Quimioterapia en recurrencias | | Grado III | Anaplasia y Actividad Mitótica | Cirugía + RT + QT Cirugía + RT + QT | | Grado IV | Proliferación microvascular y necrosis | | ## OLIGODENDROGLIOMA ## CARACTERÍSTICAS Es el tumor más epileptógeno Lóbulo frontal Histopatología: Aspecto de Huevo Frito Tratamiento: - Cirugía + Quimioterapia ## EPENDIMOMA ## CARACTERÍSTICAS Afecta principalmente la médula espinal y el suelo del 4^{\circ} ventrículo Es común en niños. Tratamiento: - Cirugía + Radioterapia  ## MEDULOBLASTOMA ## CARACTERÍSTICAS - Es la neoplasia más frecuente en MENORES 5 años. - Asociación con Síndromes de Li-Fraumeni y Turcot. - Localizado en el techo del 40 ventrículos. Histopatología: Roseta de Homer-Wright ## TRATAMIENTO - Cirugía + Quimioterapia + Radioterapia ## MENINGIOMA - 20 neoplasia más frecuente en el adulto (después del Glioma) - Típico en mujeres de 5o y 6o década - Se asocia a Ca de Mama y TVP ## RMN: Cola Dural - ## TRATAMIENTO - Cirugía ## GERMINOMA - Es el tumor PINEAL más frecuente - Se acomaña a diabetes insípida/pubertad precoz - Es un tumor invasor y causa hidrocefalia ## TRATAMIENTO - Radioterapia  | TUMOR | LOCALIZACIÓN | DIAGNÓSTICO | DATOS | | :--: | :--: | :--: | :--: | | ASTROCITOMA | INFRATENTORIAL (43 %) PISO DEL 4^{\circ} VENTRICULO | RMN: Realce en Anillo | Tumor cerebral más frecuente en pediatría ( <18 años) | | MEDULOBLASTOMA | Localizado en el techo del 4^{\circ} ventrículos. | PUNCIÓN LUMBAR: Se buscan células y marcadores específicos preoperatorios. | Tumor más frecuente en <4 años Tumor embrionario altamente maligno con tendencia a la diseminación leptomeníngea Asociación con Síndromes de Li- Fraumeni y Turcot. | | OLIGODENDROGLIOMA | Lóbulo frontal | Histopatología: Aspecto de Huevo Frito | Es el tumor más epileptógeno | | EPENDIMOMA | Médula espinal y el suelo del 4^{\circ} ventrículo Se origina de células ependimarias del sistema ventricular y canal central de médula | Rosetas perivasculares | Lesión FOSA CRANEAL POSTERIOR EDAD MEDIA: 5.6 AÑOS | | MENINGIOMA | Tumor localizado en las meninges. | RMN: Cola Dural | 2^{\circ} neoplasia más frecuente en el adulto (después del Glioma) Es el TUMOR NO MALIGNO más frecuente en el adulto. Se asocia a Ca de Mama y TVP | | GERMINOMA | Glándula Pineal Tumor invasor y causa hidrocefalia | Asociado a Diabetes Insípida/pubertad precoz | Es el tumor PINEAL más frecuente. | # SÍNTOMAS DE AUMENTO DE PRESIÓN INTRACRANEANA: ## 1. Vómitos 69% 2. Cefalea 53 % 3. Ataxia 27 % 4. Lateralización de Cabeza 8 5. Convulsiones 6 %
Vista previa
Cancelar
Guardar cambios