PDF Processor
Inicio
Editar documento
Editar documento: 1. Oclusión Intestinal
Título
Contenido mejorado
Contenido original
Contenido mejorado por IA (Markdown)
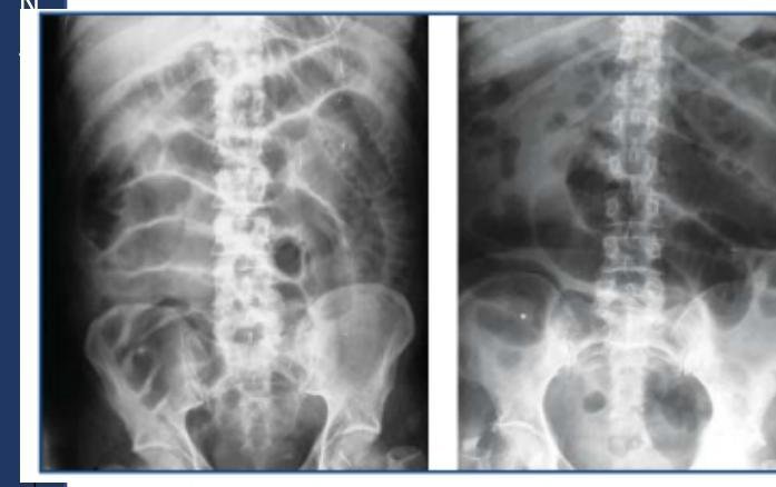
# OCLUSIÓN INTESTINAL ## DEFINICIÓN Se define como la **INTERRUPCIÓN DEL TRÁNSITO INTESTINAL**, lo que impide expulsar gases y heces por el recto. El bloqueo de la luz intestinal se da en su mayoría por factores extrínsecos (adherencias, hernia inguinal, hernia de pared estrangulada) y en pocas ocasiones por obstrucción de la luz. **ADHERENCIAS PERITONEALES**: son bandas fibrosas entre órganos o tejidos o ambos en la cavidad abdominal que normalmente están separados. TIPOS DE ÍLEO | PARALÍTICO / ADINÁMICO | Existe una causa funcional que altera el peristaltismo. La causa más frecuente es la cirugía abdominal (íleo reflejo postquirúrgico). Tras la cirugía, el intestino delgado es el primero en recuperar la movilidad a las 24 horas, seguido del estómago 48 horas, el colon tarda 3 -5 días. | | :--: | :-- | | OBSTRUCTIVO / MECÁNICO | Existe una causa orgánica que lo produce como son las barreras físicas que obstruyen la luz. | | ESPÁSTICO | Hiperactividad descoordinada del intestino que se observa en la intoxicación por metales pesados, porfiria y uremia. Se debe tratar la enfermedad sistémica. | | ÍLEO DE LA OCLUSIÓN VASCULAR | Movilidad descoordinada del intestino isquémico | ## EPIDEMIOLOGÍA - LAS **ADHERENCIAS SON LA CAUSA MÁS COMÚN DE OCLUSIÓN INTESTINAL** - Responsables en 65 - 75 % de los casos (mortalidad de 3.5 - 6%) - El 70% de las adherencias responde a manejo conservador, un 30% requiere manejo quirúrgico. - En el intestino delgado, la obstrucción mecánica es el trastorno quirúrgico más frecuente. ## FACTORES DE RIESGO - Adherencias - **Hernia inguinal** (primera causa en pacientes sin cirugía previa) - **Hernia de pared estrangulada** - Neoplasias - Íleo por cálculo biliar - **Enfermedad de Crohn** - **Vólvulo** - **Intususcepción** - Divertículo de Meckel - **Cuerpo Extraño** # CLÍNICA - **DOLOR ABDOMINAL TIPO CÓLICO** + **NÁUSEA**, **VÓMITO** Y **ESTREÑIMIENTO** - El vómito es más prominente en las obstrucciones proximales - La distensión se asocia al íleon distal. - Los ruidos intestinales son hiperactivos al principio, luego son mínimos | INTESTINO DELGADO | Dolor abdominal, vómitos (fecaloides si es distal), distensión abdominal, hiperperistaltismo con ruidos metálicos | | :--: | :--: | | INTESTINO GRUESO | Dolor y distensión abdominal Vómitos y estreñimiento Incapacidad de expulsar gases y heces | **Obstrucción Estrangulada**: Dolor abdominal desproporcionado, taquicardia, fiebre, leucocitosis y acidosis. ## DIAGNÓSTICO **GOLD STANDARD: RADIOGRAFÍA DE ABDOMEN** (En decúbito y de pie) + Tele de Tórax de pie. ## TRIADA DE RX: - Asas en Intestino delgado dilatadas (+3 cm de diámetro) - Niveles hidroaéreos - Escasez de aire en el colon  Radiografía en decúbito con dilatación de asas de intestino delgado con válvulas conniventes (separado de la base y por el extremo en contacto)  Signo de Collar de Perlas: representa pequeñas cantidades de aire atrapado en las válvulas del intestino delgado, predominantemente lleno de líquido. Se presenta en obstrucción mecánica de ID. DATOS EN **TAC**: 1. Dilatación proximal del intestino 2. Descompresión distal del intestino 3. Contraste luminal que no pasa más allá de la zona de transición 4. Colon con poco gas o líquido 5. Signo de las heces (burbujas)   Signo de **PILAS DE MONEDAS**: Pliegues intestinales engrosados, lisos, rectos y perpendiculares al eje longitudinal de la luz. # TRATAMIENTO ## CONSERVADOR ## SONDA NASOGÁSTRICA / TUBO INTESTINAL LARGO - El 90% de las obstrucciones de ID se resuelven con **SNG y REPOSICIÓN HIDROELECTROLÍTICA** - Debe mantenerse durante 48 - 72 horas. - Si existe obstrucción por estrangulación, obstrucción maligna, hernias encarceladas, cuerpo extraño, enteritis por radiación, peritonitis o abdomen agudo, debe considerarse **cirugía**. ## QUIRÚRGICO Deberá considerarse el manejo invasivo en los siguientes casos: A. **Íleo mecánico intestinal por más de 3 días** B. Drenaje por SNG al tercer día >500 ml C. Edad menor a 40 años o adherencias complejas D. **Obstrucción completa** del intestino delgado (sin aire en intestino grueso) y CPK mayor a 130 Considerar **Cirugía INMEDIATA** en los siguientes casos: - Cirugía dentro de las 6 semanas previas al cuadro de oclusión - Cuadro no resuelto con manejo conservador en las 48-72 horas a pesar de utilizar medio de contraste hidrosoluble por SNG - Presencia de líquido intraperitoneal, edema del mesenterio y signo de las heces en intestino delgado - Dolor abdominal mayor a 4, resistencia abdominal, leucocitos 10,000 o más, PCR 75 mg - Datos de **estrangulación**: fiebre, taquicardia, leucocitosis, acidosis metabólica. ## LAPAROTOMÍA EXPLORADORA 1. La incisión debe permitir tener una adecuada exposición y visibilidad 2. Identificar sitio y causa de obstrucción, si no es obvio, hay que descomprimir el intestino hasta encontrarla 3. Si el intestino está isquémico hay riesgo de ruptura con salida de contenido a cavidad abdominal 4. Después de corregir obstrucción se deben explorar los cuatro cuadrantes. 5. Si es requerido, realizar resección intestinal y anastomosis primaria. ## LAPAROSCOPÍA Solo se realizará en un grupo selecto de pacientes como abordaje - Casos de un primer episodio de oclusión intestinal por **adherencias** - Diámetro intestinal menor a 4 cm . - Sospecha de una banda - Antecedente de 2 o menos laparotomías - Antecedente de apendicectomía o colecistectomía puede someterse a laparoscopía. # ANEXOS 
Vista previa
Contenido original (Markdown)
# OCLUSIÓN IYTESTINAL ## DEFINICIÓN Se define como la INTERRUPCIÓN DEL TRÁNSITO INTESTINAL, lo que impide expulsar gases y heces por el recto. El bloqueo de la luz intestinal se da en su mayoría por factores extrínsecos (adherencias, hernia inguinal, hernia de pared estrangulada) y en pocas ocasiones por obstrucción de la luz. ADHERENCIAS PERITONEALES: son bandas fibrosas entre órganos o tejidos o ambos en la cavidad abdominal que normalmente están separados. TIPOS DE ÍLEO | PARALÍTICO / ADINÁMICO | Existe una causa funcional que altera el peristaltismo. La causa más frecuente es la cirugía abdominal (ileo reflejo postquirúrgico). Tras la cirugía, el intestino delgado es el primero en recuperar la movilidad a las 24 horas, seguido del estómago 48 horas, el colon tarda 3 -5 días. | | :--: | :-- | | OBSTRUCTIVO / MECÁNICO | Existe una causa orgánica que lo produce como son las barreras físicas que obstruyen la luz. | | ESPÁSTICO | Hiperactividad descoordinada del intestino que se observa en la intoxicación por metales pesados, porfiria y uremia. Se debe tratar la enfermedad sistémica. | | ÍLEO DE LA OCLUSIÓN VASCULAR | Movilidad descoordinada del intestino isquémico | ## EPIDEMIOLOGÍA - LAS ADHERENCIAS SON LA CAUSA MÁS COMÚN DE OCLUSIÓN INTESTINAL - Responsables en 65 - 75 % de los casos (mortalidad de 3.5 - 6%) - El 70% de las adherencias responde a manejo conservador, un 30% requiere manejo quirúrgico. - En el intestino delgado, la obstrucción mecánica es el trastorno quirúrgico más frecuente. ## FACTORES DE RIESGO - Adherencias - Hernia inguinal (primera causa en pacientes sin cirugía previa) - Hernia de pared extrangulada - Neoplasias - Íleo por cálculo biliar - Enfermedad de Crohn - Vólvulo - Intususcepción - Divertículo de Meckel - Cuerpo Extraño # CLÍNICA - DOLOR ABDOMINAL TIPO CÓLICO + NÁUSEA, VÓMITO Y ESTREÑIMIENTO - El vómito es más prominente en las obstrucciones proximales - La distensión se asocia al íleon distal. - Los ruidos intestinales son hiperactivos al principio, luego son mínimos | INTESTINO DELGADO | Dolor abdominal, vómitos (fecaloides si es distal), distensión abdominal, hiperperistaltismo con ruidos metálicos | | :--: | :--: | | INTESTINO GRUESO | Dolor y distensión abdominal Vómitos y estreñimiento Incapacidad de expular gases y heces | Obstrucción Estrangulada: Dolor abdominal desproporcionado, taquicardia, fiebre, leucocitosis y acidosis. ## DIAGNÓSTICO GOLD STANDARD: RADIOGRAFÍA DE ABDOMEN (En decúbito y de pie) + Tele de Tórax de pie. ## TRIADA DE RX: - Asas en Intestino delgado dilatadas ( +3 cm de diámetro) - Niveles hidroaéreos - Escasez de aire en el colon  adiografía en decúbito con dilatación de asas de intestino delgado con válvulas conniventes (separado de la base y por el extremo en contacto)  Signo de Collar de Perlas: representa pequeñas cantidades de aire atrapado en las válvulas del intestino delgado, predominantemente lleno de líquido. Se presenta en obstrucción mecánica de ID. DATOS EN TAC: 1. Dilatación proximal del intestino 2. Descompresión distal del intestino 3. Constraste luminal que no pasa más allá de la zona de transición 4. Colon con poco gas o líquido 5. Signo de las heces (burbujas)   Signo de PILAS DE MONEDAS: Pliegues intestinales engrosados, lisos, rectos y perpendiculares al eje longitudinal de la luz. # TRATAMIENTO ## CONSERVADOR ## SONDA NASOGÁSTRICA / TUBO INTESTINAL LARGO - El 90% de las obstrucciones de ID se resuelven con SNG y REPOSICIÓN HIDROELECTROLÍTICA - Debe mantenerse durante 48 - 72 horas. - Si existe obstrucción por estrangulación, obstrución maligna, hernias encarceladas, cuerpo extraño, enteritis por radiación, peritonitis o abdomen agudo, debe considerarse cirugía. ## QUIRÚRGICO Deberá considerarse el manejo invasivo en los siguientes casos: A. Íleo mecánico intestinal por más de 3 días B. Drenaje por SNG al tercer día >500 ml C. Edad menor a 40 años o adherencias complejas D. Obstrucción completa del intestino delgado (sin aire en intestino grueso) y CPK mayor a 130 Considerar Ciurgía INMEDIATA en los siguientes casos: - Cirugía dentro de las 6 semanas previas al cuadro de oclusión - Cuadro no resuelto con manejo conservador en las 48-72 horas a pesar de utilizar medio de contraste hidrosoble por SNG - Presencia de líquido intraperitoneal, edema del mesenterio y signo de las heces en intestino delgado - Dolor abdominal mayor a 4, resistencia abdominal, leucocitos 10,000 o más, PCR 75 mg - Datos de estrangulación: fiebre, taquicardia, leucocitosis, acidosis metabólica. ## LAPAROTOMÍA EXPLORADORA 1. La incision debe permitir tener una adecuada exposición y visibilidad 2. Identificar sitio y causa de obstrucción, si no es obvio, hay que descomprimir el intention hasta encontrarla 3. Si el intestino está isquémico hay riesgo de ruptura con salida de contenido a cavidad abdominal 4. Después de corregir obstrucción se deben explorar los cuatro cuadrantes. 5. Si es requerido, realizar resección intestinal y anastomosis primaria. ## LAPAROSCOPÍA Solo se realizará en un grupo selecto de pacientes como abordaje - Casos de un primer episodio de oclusión intestinal por adherencias - Diámetro intestinal menor a 4 cm . - Sospecha de una banda - Antecedente de 2 o menos laparotomías - Anecedente de apendicetomía o colecistectomía puede someterse a laparoscopía. # AMEXOS 
Vista previa
Cancelar
Guardar cambios