PDF Processor
Inicio
Editar documento
Editar documento: 2. Colecisititis _ Colelitiasis
Título
Contenido mejorado
Contenido original
Contenido mejorado por IA (Markdown)
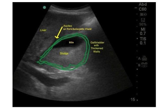
# COLELITIASIS Y COLECISTITIS ## DEFINICIÓN ## COLECISTITIS Es la inflamación de la vesícula biliar ocasionada principalmente por **cálculos (litos)** y con menor frecuencia por **barro (lodo) biliar**, aunque en raras ocasiones ninguna de estas dos está presente. ## COLELITIASIS O litiasis biliar, es la presencia de cálculos dentro de la vesícula biliar. Habitualmente, los cálculos biliares se forman en la vesícula biliar, pero pueden hacerlo a cualquier nivel del tracto biliar. ## COMPOSICIÓN Habitualmente están formados por una mezcla de colesterol, bilirrubinato cálcico, proteínas y mucina. 1. Colesterol (80%) 2. Pigmentarios (común en asiáticos) a. Negros: Bilirrubina, Carbonato, Fosfato, Calcio b. Marrones: Bilirrubinato cálcico, Ac. Palmítico 3. Mixta (la más común) ## ANATOMÍA  ## CHOLECYSTITIS Cystic Duct Gallbladder Gallstones Duodenum Minor Duodenal Papilla  # EPIDEMIOLOGÍA - La colecistitis aguda es una de las principales causas de consulta en el servicio de urgencias y en la consulta externa de cirugía general. - La **colecistitis** se presenta en el 5-20 % de los pacientes con **colelitiasis**. - La colecistitis aguda se presenta con mayor frecuencia en **mayores de 40 años**. - Femenino 2: 1 Masculino. - La colecistectomía es el procedimiento más común realizado por los cirujanos generales. - Los adultos producen entre 500-1,000 ml de Bilis al día. ## FACTORES DE RIESGO | FACTORES DE RIESGO LITOS DE COLESTEROL | FACTORES DE RIESGO LITOS PIGMENTADOS (Bilirrubina con Sales de Calcio o Bilirrubinato) | | :--: | :--: | | - Dislipidemias - **Muy importante** - Female (**mujeres**) - Forty (**mayores a 40 años**) - Fat (**Obesidad**) - Fertility (**Embarazo**) - Fármacos (**fibratos** y la **ceftriaxona**) - Anticonceptivos Orales y Terapia con Estrógenos - Enfermedades del íleon - Enfermedades Hepáticas y Metabólicas (Cirrosis, Diabetes Mellitus) - Antecedentes Familiares de Litiasis Biliar | - Trastornos hemolíticos - Cirrosis - Edad avanzada - Ser Asiático | - Las mujeres tienen el doble de riesgo con respecto a los hombres de presentar colecistitis y colelitiasis. - En cuanto a cirugías realizadas, la relación es Mujer 4 : 1 Hombre. - En el embarazo es frecuente la formación de cálculos de colesterol, normalmente son formas asintomáticas de litiasis biliar y tanto el barro biliar como los cálculos menos de 10 mm desaparecen tras el parto. - Los anticonceptivos orales y la terapia hormonal sustitutiva con estrógenos, en este caso con mayor riesgo en mujeres menores de 40 años y las que reciben una dosis mayor de 50 microgramos de estrógenos. # CLÍNICA Las manifestaciones clínicas de colecistitis y colelitiasis son las siguientes: ## COLELITIASIS Y COLECISTITIS AGUDA NO COMPLICADA 1. Signo de Murphy positivo 2. Masa en cuadrante superior derecho 3. Dolor en cuadrante superior derecho 4. Resistencia muscular en cuadrante superior derecho 5. Náusea y vómito ## COLELITIASIS Y COLECISTITIS COMPLICADA - Vesícula palpable - Fiebre mayor de 39^{\circ} C - Calosfríos - Inestabilidad Hemodinámica ## COLELITIASIS Y COLECISTITIS + PERFORACIÓN DE VESÍCULA CON PERITONITIS Se debe sospechar con los siguientes datos: | - Aumento dolor forma súbita | - Taquipnea | | :-- | :-- | | - Signos de irritación peritoneal difusa | - Acidosis Metabólica | | - Distensión abdominal | - Hipotensión | | - Taquicardia | - Choque. | ## CLASIFICACIÓN | GRADO I - LEVE | Colecistitis aguda en paciente saludable y sin disfunción orgánica. Cambios inflamatorios leves en la vesícula biliar. Colecistectomía segura con bajo riesgo operatorio. | | :--: | :--: | | GRADO II - MODERADA | Colecistitis aguda acompañada de las siguientes condiciones: - Leucocitosis Elevada (>18,000) - Masa palpable en cuadrante superior derecho - Duración del cuadro clínico >72 horas - Inflamación local (peritonitis biliar, absceso perivascular, hepático, enfisema). Requiere Internamiento + Antibióticos IV. | | GRADO III - GRAVE | Colecistitis aguda acompañada por **Daños a órgano o sistema**: - Disfunción cardiovascular (hipotensión que requiere dopamina o dobuta) - Disfunción neurológica (disminución del nivel de conciencia) - Disfunción respiratoria ( PaO2/Fio2 promedio <300) - Disfunción renal (oliguria, Creatinina >2.0 ) - Disfunción hematológica (plaquetas <100,000 ) | # DIAGNÓSTICO Considerar diagnóstico con: Signo o Síntoma Local + Signo Sistémico + Estudio de Imagen positivo. ## LABORATORIO No existen pruebas de laboratorio específicas para colecistitis aguda, sin embargo, las siguientes pueden tener utilidad: - Biometría Hemática: puede aparecer leucocitosis. - Proteína C Reactiva: puede hallarse elevada y es de utilidad para confirmar proceso inflamatorio. - Otras: Bilirrubinas, BUN, Creatinina, Tiempo de Protrombina, Amilasa (para identificar complicaciones como Coledocolitiasis, no confundir con Pancreatitis [se necesita el triple de su valor]). - Hemocultivo/Cultivo: deberá ser solicitado en presencia de fiebre y sospecha de cuadro infeccioso para seleccionar el agente microbiano. ## ESTUDIO DE IMAGEN ## 1ra elección: Ultrasonido - Ante la sospecha de colecistitis o colelitiasis aguda es la prueba no invasiva de primera elección. - El USG abdominal es positivo en el 98 % de los casos (sensibilidad). ## Hallazgos que reporta el USG: - Engrosamiento de la pared vesicular +5 mm - Líquido perivesicular - Signo de Murphy ultrasonográfico positivo - Alargamiento vesicular 8 cm axial y 4 cm diametral - Lito encarcelado - Imagen de doble riel - Sombra acústica posterior (presencia de lito) - Ecos intramurales  ## GAMMAGRAFÍA BILIAR (Escintografía) Tiene sensibilidad del 97 % y se debe solicitar cuando la clínica y la ecografía no fueron concluyentes. ## TOMOGRAFÍA AXIAL COMPUTARIZADA - Engrosamiento de pared vesicular - Colecciones líquidas perivasculares - Alargamiento vesicular - Áreas de alta densidad en el tejido graso perivesicular ## RESONANCIA MAGNÉTICA - Signos de pericolecistitis con imágenes de alta densidad - Alargamiento vesicular - Engrosamiento de pared vesicular # GAMMAGRAFÍA VÍA BILIAR CON TC-HIDA - Exclusión vesicular - Signo de Rim (aumento de la radioactividad alrededor de la fosa vesicular)  ## DIAGNÓSTICO DIFERENCIAL Ante el reporte negativo de las pruebas diagnósticas para la **Colelitiasis y Colecistitis** se deberá realizar el diagnóstico diferencial con alguna de las siguientes entidades: - Úlcera péptica perforada - Apendicitis aguda - Obstrucción intestinal - Pancreatitis aguda - Cólico renal o biliar - Colangitis aguda bacteriana - Pielonefritis - Hepatitis aguda - Hígado congestivo - Angina de pecho - Infarto de miocardio - Rotura de aneurisma aórtico - Tumores o abscesos hepáticos - Herpes zoster - Síndrome de Fitz-Hugh-Curtis # TRATAMIENTO ## FARMACOLÓGICO Estará reservado para los pacientes en situaciones especiales por alto riesgo quirúrgico o que rechazan cirugía. ## 1ra elección: Ácido Ursodesoxicólico / Ácido Quenodeoxicólico - Para la disolución de los cálculos biliares el tratamiento de elección son los ácidos biliares orales. - Debe emplearse por un periodo de 1-2 años. - También se usa como coadyuvante cuando se realiza litotricia, mayor efectividad de destrucción. ## AINES ## 1ra elección: Diclofenaco 75 mg IM - En pacientes con cólico biliar es recomendable para prevenir aparición de colecistitis aguda. - Si ya existe colecistitis aguda, no demuestran remisión de la enfermedad. ## OPIOIDES - En presencia de dolor intenso se puede manejar con Meperidina. ## ANTIBIÓTICO La elección dependerá de la susceptibilidad local por el antibiograma, la administración previa de un antibiótico, de la disfunción renal o hepática y de la gravedad de la colecistitis. (Guías Sanford). | Colecistitis Grado I | 1ra elección: Un solo antibiótico A. Fluoroquinolonas Orales (Levofloxacino o Ciprofloxacino) B. Cefalosporinas Orales (Cefotiam, Cefcapene) C. Penicilinas Amplio Espectro (Ampicilina con Sulbactam) | | :--: | :--: | | Colecistitis Grado II | 1ra elección: Doble Antibiótico A. Penicilinas de Amplio Espectro (Pipe/Tazo o Ampicilina con Sulbactam) B. Cefalosporinas de segunda generación (Cefmetazole, Cefotiam, Oxacefem, Flomoxef) | | Colecistitis Grado III | 1ra elección: Doble antibiótico más potente. A. Cefalosporinas de 3ra y 4ta generación (Ceftriaxona, Ceftazidima, Cefepime, Cefozopran, Cefoperazona con Sulbactam) B. Monobactámicos (Aztreonam) Metronidazol cuando se detecta o se sospecha de anaerobios (casos complicados). | MICROORGANISMOS: La bilis es estéril; una intervención, manipulación o estasis de ella aumenta la probabilidad de contaminación: **E. coli, Klebsiella, Enterobacter** (**Gram negativos**). # LITOTRICIA La litotricia + disolutos orales (Sales biliares) no ofrecen suficiente evidencia para ser indicado como tratamiento en presencia de litiasis vesicular y no está aprobado por la FDA como tratamiento definitivo, pero la GPC recomienda realizarla en las siguientes situaciones: ## Indicaciones para litotricia - Pacientes con **litiasis única**. - **No** calcificada. - Diámetro de 20-30 mm. ## Contraindicaciones para litotricia - Pancreatitis - Alteraciones de la coagulación - Quistes o aneurismas en el trayecto de las ondas ## QUIRÚRGICO ## 1ra elección: Colecistectomía Esta puede ser realizada por laparotomía o laparoscopía. | Colecistectomía Temprana | Se realiza 1 - 7 días después del ataque inicial. | | :--: | :--: | | Colecistectomía Tardía | Se realiza 2 - 3 meses después del ataque inicial. | ## COLECISTECTOMÍA LAPAROSCÓPICA Se prefiere a la abierta por: menor mortalidad, menores complicaciones, menor estancia hospitalaria, reincorporación laboral rápida. ## FACTORES QUE DIFICULTAN CIRUGÍA LAPAROSCÓPICA: - Masculinos - Cirugía abdominal previa - Presencia o antecedentes de Ictericia - Colecistitis en fase avanzada - Infecciones graves | COMPLICACIONES LAPAROSCÓPICA | - Lesión del conducto biliar - Lesión del intestino - Lesión hepática - Infección de sitio quirúrgico | | :--: | :--: | | COMPLICACIONES ABIERTA | - Infecciones - Íleo - Hemorragia intraperitoneal - Atelectasia - Trombosis de venas profundas - Infección del tracto urinario | ELECCIÓN DE LA TÉCNICA QUIRÚRGICA | GRADO I - LEVE | 1ra elección: Colecistectomía Temprana por Laparoscopía. | | :--: | :--: | | GRADO II - MODERADA | 1ra elección: Colecistectomía Temprana por Laparoscopía, sin embargo, depende de la experiencia del cirujano para el abordaje. Si presenta inflamación grave de la vesícula se recomienda un drenaje temprano que puede ser quirúrgico o percutáneo. Si se hay inflamación grave de la vesícula la colecistectomía temprana puede ser difícil, se recomienda posponer cirugía hasta que disminuya la inflamación. | | GRADO III - GRAVE | 1ra elección: Colecistectomía Laparoscópica, sin embargo, dependerá del cirujano y su pericia instrumental. - Manejo urgente de la falla orgánica - Tratamiento de inflamación local - Drenaje de vesícula - Se realiza cirugía cuando las condiciones generales mejoren. | # CPRE La combinación de extracción de litos por endoscopía durante una colangio - pancreatografía retrógrada endoscópica y la colecistectomía laparoscópica es de utilidad en el tratamiento. El intervalo entre estos dos procedimientos es de pocos días, debe hacerse en el mismo tiempo intrahospitalario. ## SEGUIMIENTO - Se deberá realizar por el servicio de cirugía hasta su egreso hospitalario. - Será evaluado una semana después del egreso en la consulta externa de cirugía general. - Se valorará alta de servicio y contrarreferencia a primer nivel. # RECUPERACIÓN ## ESTANCIA HOSPITALARIA | COLECISTECTOMÍA LAPAROSCÓPICA | 1 día de estancia es suficiente. | | :-- | :-- | | COLECISTECTOMÍA ABIERTA NO COMPLICADA | 2-3 días postquirúrgicos. | ## INCAPACIDAD | TÉCNICA | TIEMPO MÍNIMO | ÓPTIMO | MÁXIMO | | :-- | :--: | :--: | :--: | | LAPAROSCÓPICA | 10 | 14 | **21** | | LAPAROSCÓPICA NO COMPLICADA | 14 | 21 | **28** | | ABIERTA | 14 | 21 | **28** | | ABIERTA COMPLICADA | 21 | 28 | **45** | # ALGORITMO ABORDAJE  
Vista previa
Contenido original (Markdown)
# COLECISTITIS / COLELITIASIS ## DEFINICIÓN ## COLCECISTITIS Es la inflamación de la vesícula biliar ocasionada principalmente por cálculos (litos) y con menor frecuencia por barro (lodo) biliar, aunque en raras ocasiones ninguna de estas dos está presente. ## COLELITIASIS O litiasis biliar, es la presencia de cálculos dentro de la vesícula biliar. Habitualmente, los cálculos biliares se forman en la vesícula biliar, pero pueden hacerlo a cualquier nivel del tracto biliar. ## COMPOSICIÓN Habitualmente están formados por una mezcla de colesterol, bilirrubinato cálcico, proteínas y mucina. ## 1. Colesterol (80%) 2. Pigmentarios (común en asiáticos) a. Negros: Bilirrubina, Carbonato, Fosfato, Calcio b. Marrones: Bilirrubinato cálcico, Ac. Palmítico 3. Mixta (la más común) ## ANATOMÍA  ## CHOLECYSTITIS ## Cystic Duct Gallbladder Gallstones Duodenum Minor Duodenal Papilla  # EPIDEMIOLOGÍA - La colecistitis aguda es una de las principales causas de consulta en el servicio de urgencias y en la consulta externa de cirugía general. - LA COLECISTITIS se presenta en el 5-20 % de los pacientes con COLELITIASIS. - La colecistitis aguda se presenta con mayor frecuencia en MAYORES DE 40 AÑOS - Femenino 2: 1 Masculino. - La colecistectomía es el procedimiento más común realizado por los cirujanos generales. - Los adultos producen entre 500-1,000 ml de Bilis al día. ## FACTORES DE RIESGO | FACTORES DE RIESGO LITOS DE COLESTEROL | FACTORES DE RIESGO LITOS PIGMENTADOS (Bilirrubina con Sales de Calcio o Bilirrubinato) | | :--: | :--: | | - Dislipidemias - MUY IMPORTANTE - Female (mujeres) - Forty (mayores a 40 años) - Fat (Obesidad) - Fertility (Embarazo) - Fármacos (FIBRATOS y la ceftriaxona) - Anticonceptivos Orales y Terapia con Estrógenos - Enfermedades del íleon - Enfermedades Hepáticas y Metabólicas (Cirrosis, Diabetes Mellitus) - Antecedentes Familiares de Litiasis Biliar | - Trastornos hemolíticos - Cirrosis - Edad avanzada - Ser Asiático | - Las mujeres tienen el doble de riesgo con respecto a los hombres de presentar colecistitis y colelitiasis - En cuanto a cirugías realizadas, la relación es Mujer 4 : 1 Hombre - En el embarazo es frecuente la formación de cálculos de colesterol, normalmente son formas asintomáticas de litiasis biliar y tanto el barro biliar como los cálculos menos de 10 mm desaparecen tras el parto. - Los anticonceptivos orales y la terapia hormonal sustitutiva con estrógenos, en este caso con mayor riesgo en mujeres menores de 40 años y las que reciben una dosis mayor de 50 microgramos de estrógenos. # CLINICA Las manifestaciones clínicas de colecistitis y colelitiasis son las siguientes: ## COLECISTITIS Y COLELITIASIS AGUDA NO COMPLICADA 1. Signo de Murphy positivo 2. Masa en cuadrante superior derecho 3. Dolor en cuadrante superior derecho 4. Resistencia muscular en cuadrante superior derecho 5. Náusea y vómito ## COLECISTITIS Y COLELITIASIS COMPLICADA - Vesícula palpable - Fiebre mayor de 39^{\circ} C - Calosfríos - Inestabilidad Hemodinámica ## COLECISTITIS Y COLELITIASIS + PERFORACIÓN DE VESÍCULA CON PERITONITIS Se debe sospechar con los siguientes datos: | - AUMENTO DOLOR FORMA SÚBITA | - Taquipnea | | :-- | :-- | | - Signos de irritación peritoneal difusa | - Acidosis Metabólica | | - Distensión abdominal | - Hipotensión | | - Taquicardia | - Choque. | ## CLASIFICACIÓN | GRADO I - LEVE | Colecistitis aguda en paciente saludable y sin disfunción orgánica. Cambios inflamatorios leves en la vesícula biliar. Colecistectomía segura con bajo riesgo operatorio | | :--: | :--: | | GRADO II - MODERADA | Colecistitis aguda acompañada de las siguientes condiciones: - Leucocitosis Elevada (>18,000) - Masa palpable en cuadrante superior derecho - Duración del cuadro clínico >72 horas - Inflamación local (peritonitis biliar, absceso perivascular, hepático, enfisema) Requiere Internamiento + Antibióticos IV | | GRADO III - GRAVE | Colecistitis aguda acompañada por DAÑOS A ÓRGANO O SISTEMA: - Disfunción cardiovascular (hipotensión que requiere dopamina o dobuta) - Disfunción neurológica (disminución del nivel de conciencia) - Disfunción respiratoria ( PaO2/Fio2 promedio <300) - Disfunción renal (oliguria, Creatinina >2.0 ) - Disfunción hematológica (plaquetas <100,000 ) | # DIAGNÓSTICO Considerar diagnóstico con: Signo o Síntoma Local + Signo Sistémico + Estudio de Imagen positivo. LABORATORIO No existen pruebas de laboratorio específicas para colecistitis aguda, sin embargo, las siguientes pueden tener utilidad: - Biometría Hemática: puede aparecer leucocitosis - Proteína C Reactiva: puede hallarse elevada y es de utilidad para confirmar proceso inflamatorio. - Otras: Bilirrubinas, BUN, Creatinina, Tiempo de Protrombina, Amilasa (para identificar complicaciones como Coledocolitiasis, no confundir con Pancreatitis [se necesita EL TRIPLE DE SU VALOR] . - HEMOCULTIVO/CULTIVO: deberá ser solicitado en presencia de fiebre y sospecha de cuadro infeccioso para seleccionar el agente microbiano ## ESTUDIO DE IMAGEN ## 1ra elección: ULTRASONIDO - Ante la sospecha de colecistitis o colelitiasis aguda es la prueba no invasiva de primera elección. - El USG abdominal es positivo en el 98 % de los casos (sensibilidad) ## Hallazgos que reporta el USG: - Engrosamiento de la pared vesicular +5 mm - Líquido perivesicular - Signo de Murphy ultrasonográfico positivo - Alargamiento vesicular 8 cm axial y 4 cm diametral - Lito encarcelado - Imagen de DOBLE RIEL - SOMBRA ACÚSTICA POSTERIOR (presencia de lito) - Ecos intramurales  ## GAMMAGRAFÍA BILIAR (Escintografía) Tiene sensibilidad del 97 % y se debe solicitar cuando la clínica y la ecografía no fueron concluyentes ## TOMOGRAFÍA AXIAL COMPUTARIZADA - Engrosamiento de pared vesicular - Colecciones líquidas perivasculares - Alargamiento vesicular - Áreas de alta densidad en el tejido graso perivesicular ## RESONANCIA MAGNÉTICA - Signos de pericolecisitis con imágenes de alta densidad - Alargamiento vesicular - Engrosamiento de pared vesicular # GAMMAGRAFÍA VÍA BILIAR CON TC-HIDA - Exclusión vesicular - Signo de RIM (aumento de la radioactividad alrededor de la fosa vesicular)  ## DIAGNÓSTICO DIFERENCIAL Ante el reporte negativo de las pruebas diagnósticas para la COLECISTITIS Y COLELITIASIS se deberá realizar el diagnóstico diferencial con alguna de las siguientes entidades: - Úlcera péptica perforada - Apendicitis aguda - Obstrucción intestinal - Pancreatitis aguda - Cólico renal o biliar - Colangitis aguda bacteriana - Pielonefritis - Hepatitis aguda - Hígado congestivo - Angina de pecho - Infarto de miocardio - Rotura de aneurisma aórtico - Tumores o abscesos hepáticos - Herpes zoster - Síndrome de Fitz-Hugh-Curtis # TRATAMIENTO ## FARMACOLÓGICO Estará reservado para los pacientes en situaciones especiales por alto riesgo quirúrgico o que rechazan cirugía. ## 1ra elección: Ácido Ursodesoxicólico / Ácido Quenodeoxicólico - Para la disolución de los cálculos biliares el tratamiento de elección son los ácidos biliares orales. - Debe emplearse por un periodo de 1-2 años - También se usa como coadyuvante cuando se realiza litotricia, mayor efectividad de destrucción. ## AINES ## 1ra elección: Diclofenaco 75 mg IM - En pacientes con cólico biliar es recomendable para prevenir aparición de colecistitis aguda. - Si ya existe colecistitis aguda, no demuestran remisión de la enfermedad ## OPIOIDES - En presencia de dolor intenso se puede manejar con MEPERIDINA. ## ANTIBIÓTICO La elección dependerá de la susceptibilidad local por el antibiograma, la administración previa de un antibiótico, de la disfunción renal o hepática y de la gravedad de la colecistitis. (Guías Sanford). | Colecistitis Grado I | 1rae: UN SOLO ANTIBIÓTIOCO A. Fluoroquinolonas Orales (Levofloxacino o Cirpofloxacino) B. Cefalosporinas Orales (Cefotiam, Cefcapene) C. Penicilinas Amplio Espectro (Ampicilina con Sulbactam) | | :--: | :--: | | Colecistitis Grado II | 1rae: DOBLE Antibiótico A. Penicilinas de Amplio Espectro (Pipe/Tazo o Ampicilina con Sulbactam) B. Cefalosporinas de segunda generación (Cefmetazole, Cefotiam, Oxacefem, Flomoxef) | | Colecistitis Grado III | 1rae: DOBLE ANTIBIÓTICO MÁS POTENTE. A. Cefalosporinas de 30 y 40 generación (Ceftriaxona, Ceftazidima, Cefepime, Cefozopran, Cefoprazon con Sulbactam) B. Monobactámicos (Aztreonam) METRONIDAZOL cuando se detecta o se sospecha de ANAEROBIOS (casos complicados) | MICROORGANISMOS: La bilis es estéril; una intervención, manipulación o estasis de ella aumenta la probabilidad de contaminación: E. coli, Klebisella, Enterobacter (GRAM NEGATIVOS) # LITOTRICIA La litotricia + disolutos orales (Sales biliares) no ofrecen suficiente evidencia para ser indicado como tratamiento en presencia de litiasis vesicular y no está aprobado por la FDA como tratamiento definitivo, pero la GPC recomienda realizarla en las siguientes situaciones: ## Indicaciones para litotricia - Pacientes con LITIASIS ÚNICA - NO Calcificada - Diámetro de 20-30 ~mm ## Contraindicaciones para litotricia - Pancreatitis - Alteraciones de la coagulación - Quistes o aneurismas en el trayecto de las ondas ## QUIRÚRGICO ## 1ra elección: COLECISTECTOMÍA Esta puede ser realizada por laparotomía o laparoscopía. | Colecistectomía Temprana | Se realiza 1 - 7 días después del ataque inicial | | :--: | :--: | | Colecistectomía Tardía | Se realiza 2 - 3 meses después del ataque inicial | ## COLECISTECTOMÍA LAPAROSCÓPICA Se prefiere que la abierta por: menor mortalidad, menores complicaciones, menor estancia hospitalaria, reincorporación laboral rápida. ## FACTORES QUE DIFICULTAN CIRUGÍA LAPAROSCÓPICA: - Masculinos - Cirugía abdominal previa - Presencia o antecedentes de Ictericia - Colecistitis en fase avanzada - Infecciones graves | COMPLICACIONES LAPAROSCÓPICA | - Lesión del conducto biliar - Lesión del intestino - Lesión hepática - Infección de sitio quirúrgico | | :--: | :--: | | COMPLICACIONES ABIERTA | - Infecciones - Íleo - Hemorragia intraperitoneal - Atelectasia - Trombosis de venas profundas - Infección del tracto urinario | ELECCIÓN DE LA TÉCNICA QUIRÚRGICA | GRADO I - LEVE | 1ra elección: Colecistectomía Temprana por LAPAROSCOPÍA | | :--: | :--: | | GRADO II - MODERADA | 1ra elección: Colecistectomía Temprana por LAPAROSCOPÍA, sin embargo, depende de la experiencia del cirujano para el abordaje. Si presenta inflamación grave de la vesícula se recomienda un drenaje temprano que puede ser quirúrgico o percutáneo. Si se hay inflamación grave de la vesícula la colecistectomía temprana puede ser difícil, se recomienda posponer cirugía hasta que disminuya la inflamación. | | GRADO III - GRAVE | 1ra elección: Colecistectomía Laparoscópica, sin embargo, dependerá del cirujano y su pericia instrumental. - Manejo urgente de la falla orgánica - Tratamiento de inflamación local - Drenaje de vesícula - Se realiza cirugía cuando las condiciones generales mejoren. | # CPRE La combinación de extracción de litos por endoscopía durante una colangio - pancreatografía retrógrada endoscópica y la colecistectomía laparoscópica es de utilidad en el tratamiento. El intervalo entre estos dos procedimientos es de pocos días, debe hacerse en el mismo tiempo intrahospitalario. ## SEGUIMIENTO - Se deberá realizar por el servicio de cirugía hasta su egreso hospitalario. - Será evaluado una semana después del egreso en la consulta externa de cirugía general. - Se valorará alta de servicio y contrarreferencia a primer nivel. # RECUPERACIÓN ## ESTANCIA HOPSITALARIA | COLECISTECTOMÍA LAPAROSCÓPICA | 1 día de estancia es suficiente | | :-- | :-- | | COLECISTECTOMÍA ABIERTA NO COMPLICADA | 2-3 días post quirúrgicos | ## INCAPACIDAD | TÉCNICA | TIEMPO MÍNIMO | ÓPTIMO | MÁXIMO | | :-- | :--: | :--: | :--: | | LAPAROSCÓPICA | 10 | 14 | \mathbf{2 1} | | LAPAROSCÓPICA NO COMPLICADA | 14 | 21 | \mathbf{2 8} | | ABIERTA | 14 | 21 | \mathbf{2 8} | | ABIERTA COMPLICADA | 21 | 28 | \mathbf{4 5} | # ALGORITMO ABORDAJE  
Vista previa
Cancelar
Guardar cambios