PDF Processor
Inicio
Editar documento
Editar documento: 6. Pneumocystis jirovecii
Título
Contenido mejorado
Contenido original
Contenido mejorado por IA (Markdown)
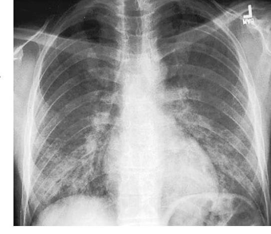
# Pneumocystis jirovecii ## DEFINICIÓN Pneumocystis jirovecii es una causa común de neumonía en pacientes inmunodeprimidos, sobre todo en las personas infectadas por **HIV** y en las que recibieron corticoides sistémicos. Los síntomas incluyen fiebre, disnea y tos seca. El diagnóstico requiere la demostración del microorganismo en una muestra de esputo inducido o muestra por broncoscopia. El tratamiento es con antibióticos, en general trimetoprim/sulfametoxazol o dapsona/trimetoprim, clindamicina/primaquina, atovacuona o pentamidina. Los pacientes con PaO2 < 70 mm Hg reciben corticoesteroides sistémicos. En general, el pronóstico es bueno con el tratamiento oportuno. ## ETIOLOGÍA P. jirovecii es un **HONGO OPORTUNISTA** ubicuo transmitido por aerosoles y no provoca enfermedad alguna en pacientes inmunocompetentes. Riesgo de desarrollar neumonía por P. jirovecii: - Pacientes con infección por HIV y recuentos de linfocitos T CD4+ < 200/\µL - Receptores de trasplante de órganos - Pacientes con cánceres hematológicos - Pacientes que toman corticosteroides ## PROFILAXIS ## INDICACIONES - Linfocitos CD4 <200 células/mm3 - Linfocitos CD4 <14% - Historia de candidiasis orofaríngea - Historia de enfermedades definitorias de SIDA ## 1ra elección: Trimetoprim con Sulfametoxazol (TMP/SMX). Dosis recomendada: 800/160 mg (dosis doble) una vez al día, que además confiere profilaxis contra toxoplasmosis, también útil si se usa 3 veces por semana, (BI) o 400/80, tabletas simples, una vez al día. Los pacientes que reciben sulfadiazina-pirimetamina como tratamiento o profilaxis para toxoplasmosis no requieren tratamiento adicional con TMP/SMZ. Suspender cuando la cuenta de CD4 sea >200 células/mm3 por al menos 3 meses en respuesta al tratamiento **ARV**. # CLÍNICA - Fiebre - Disnea (frecuente) - Tos seca, no productiva El cuadro evoluciona durante varias semanas (si es por VIH) o durante varios días (por otras causas de alteraciones de la inmunidad mediada por células). ## DIAGNÓSTICO ## RADIOGRAFÍA DE TÓRAX Muestra de modo característico infiltrados bilaterales perihiliares y difusos, pero del 20 al 30% de los pacientes tienen radiografías normales. Muestra características opacidades granulares bilaterales generalizadas. ## VISUALIZACIÓN MICROORGANISMO  ## TINCIÓN DE AZUL DE TOLUIDINA ## TINCIÓN DE PLATA METENAMINA DE GOMORI ## TRATAMIENTO (1ra elección) ## 1ra elección: Trimetoprim/sulfametoxazol (TMP/SMX) - 4 a 5 mg/kg IV o VO 3 veces al día durante 14 a 21 días - Efecto secundario **Grave**: **TOXICIDAD DE MÉDULA ÓSEA** ## ALTERNATIVAS: - Pentamidina 4 mg/kg IV una vez al día - Atovacuona 750 mg VO dos veces al día - Trimetoprima 5 mg/kg VO cuatro veces al día con dapsona 100 mg VO una vez al día - Clindamicina 300 a 900 mg IV cada 6 a 8 h con primaquina base de 15 a 30 mg/día VO
Vista previa
Contenido original (Markdown)
# PREUMOCYSTIS Jirovecii ## DEFINICIÓN Pneumocystis jirovecii es una causa común de neumonía en pacientes inmunodeprimidos, sobre todo en las personas infectadas por HIV y en las que recibieron corticoides sistémicos. Los síntomas incluyen fiebre, disnea y tos seca. El diagnóstico requiere la demostración del microorganismo en una muestra de esputo inducido o muestra por broncoscopia. El tratamiento es con antibióticos, en general trimetoprim/sulfametoxazol o dapsona/trimetoprim, Clindamicina/primaquina, Atovacuona o pentamidina. Los pacientes con Pao2< 70 mm Hg reciben corticoesteroides sistémicos. En general, el pronóstico es bueno con el tratamiento oportuno. ## ETIOLOGÍA P. jirovecii es un HONGO OPORTUNISTA ubicuo transmitido por aerosoles y no provoca enfermedad alguna en pacientes inmunocompetentes. Riesgo de desarrollar neumonía por P. jirovecii: - Pacientes con infección por HIV y recuentos de linfocitos T CD4 + < 200/ \mu L - Receptores de trasplante de órganos - Pacientes con cánceres hematológicos - Pacientes que toman corticosteroides ## PROFILAXIS ## INDICACIONES - Linfocitos CD4 <200 células/mm3 - Linfocitos CD4 <14% - Historia de candidiasis orofaríngea - Historia de enfermedades definitorias de SIDA ## 1ra elección: Trimetoprim con Sulfametoxazol (TMP/SMX). Dosis recomendada: 800/160 mg (dosis doble) una vez al día, que además confiere profilaxis contra toxoplasmosis, también útil si se usa 3 veces por semana, (BI) o 400/80, tabletas simples, una vez al día. Los pacientes que reciben sulfadiazina- Pirimetamina como tratamiento o profilaxis para Toxoplasmosis no requieren tratamiento adicional con TMP/SMZ. Suspender cuando la cuenta de CD4 sea >200 células/ mm3 por al menos 3 meses en respuesta al tratamiento ARV. # CLÍNICA - Fiebre - Disnea (frecuente) - Tos seca, no productiva El cuadro evoluciona durante varias semanas (si es por VIH) o durante varios días (por otras causas de alteraciones de la inmunidad mediada por células). ## DIAGNÓSTICO ## RADIOGRAFÍA DE TÓRAX Muestra de modo característico infiltrados bilaterales perihiliares y difusos, pero del 20 al 30% de los pacientes tienen radiografías normales. Muestra características opacidades granulares bilaterales generalizadas - VISAULIZACIÓN MICROORGANISMO  ## TINCIÓN DE AZUL DE TOLOUDINA ## TINCIÓN DE PLATA METENAMINA DE GOMORI ## 1ra elección: Trimetoprim/sulfametoxazol (TMP/SMX) - 4 a 5 mg / kg IV o VO 3 veces al día durante 14 a 21 días - Efecto secundario Grave: TOXICIDAD DE MÉDULA ÓSEA ## ALTERNATIVAS: - Pentamidina 4 mg / kg IV una vez al día - Atovacuona 750 mg VO dos veces al día - Trimetoprima 5 mg / kg VO cuatro veces al día con dapsona 100 mg VO una vez al día - Clindamicina 300 a 900 mg IV cada 6 a 8 h con primaquina base de 15 a 30 mg / día VO
Vista previa
Cancelar
Guardar cambios