PDF Processor
Inicio
Editar documento
Editar documento: 7. Sarcoma de Kaposi
Título
Contenido mejorado
Contenido original
Contenido mejorado por IA (Markdown)
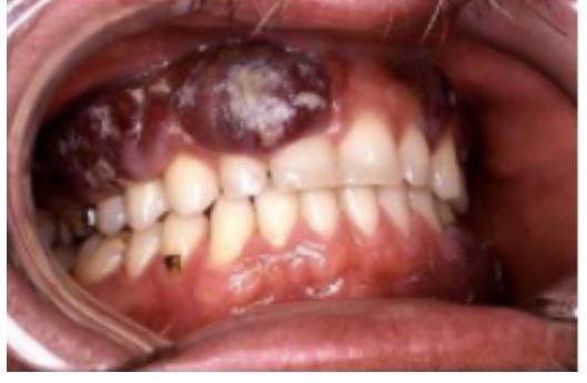
# SARCOMA DE KAPOSI ## DEFINICIÓN El sarcoma de Kaposi es un tumor vascular multicéntrico causado por el **VIRUS DEL HERPES TIPO 8**. Puede aparecer en sus formas clásica, asociada con el **SIDA**, endémica (en África) o iatrogénica (luego de un trasplante de órgano). - Es uno de los eventos definitorios de **SIDA**. El diagnóstico se realiza por biopsia. El tratamiento para las lesiones superficiales indolentes incluye crioterapia, electrocoagulación, resección o radioterapia con haz de electrones. La radioterapia se utiliza en la enfermedad más extensa. En la forma asociada con el **SIDA**, los antirretrovirales proporcionan los mejores resultados. ## ETIOLOGÍA - El sarcoma de Kaposi se origina de las células endoteliales como respuesta a la infección por el **virus del herpes humano de tipo 8 (HHV-8)**. - La inmunosupresión (sobre todo por **SIDA** y fármacos en pacientes que recibieron trasplante de órganos) aumenta notablemente la probabilidad de sarcoma de Kaposi en aquellos con infección por **HHV-8**. - Las células tumorales tienen forma ahusada, similares a las de músculo liso, fibroblastos y miofibroblastos. # CLÍNICA ## SARCOMA CLÁSICO Esta forma ocurre con mayor frecuencia en pacientes mayores (> 60 años) de sexo masculino, provenientes de familias italianas, judías o de Europa del Este. La evolución de la enfermedad es poco activa y suele limitarse a un pequeño número de lesiones cutáneas en las extremidades inferiores; el compromiso visceral ocurre en < 10%. Esta forma no suele ser fatal. ## SARCOMA ASOCIADO A SIDA Esta forma **ES EL CÁNCER MÁS FRECUENTE ASOCIADO A SIDA** y es más agresiva que el sarcoma de Kaposi clásico. Suele haber lesiones cutáneas múltiples, en forma de máculas o nódulos que con **frecuencia** comprometen la cara y el tronco. La lesión **inicial** es un nódulo pequeño, elevado y de color rojo púrpura en la piel. Es usual también el compromiso de mucosas orales, ganglios linfáticos y aparato digestivo. En ocasiones, el sarcoma de Kaposi es la primera manifestación de **SIDA**.   ## SARCOMA IATROGÉNICO Esta forma se desarrolla típicamente varios años después de un trasplante de órgano. La evolución es más o menos fulminante, según el grado de inmunosupresión. # DIAGNÓSTICO ## BIOPSIA - El diagnóstico del sarcoma de Kaposi se confirma con biopsia en **SACABOCADOS** (punch). ## TRATAMIENTO - Resección quirúrgica, crioterapia, electrocoagulación o posiblemente imiquimod para las lesiones superficiales - Radioterapia local para lesiones múltiples o enfermedad ganglionar - **Terapia antirretroviral** o, en ocasiones, interferón alfa IV para sarcoma de Kaposi asociado a **SIDA** (suele responder a los **ARV**). - Reducción de inmunosupresores para sarcoma de Kaposi iatrogénico ## EVALUACIÓN DE TRATAMIENTO | Respuesta Completa | Desaparición completa de todas las lesiones. | | :--: | :--: | | | Cualquier ganglio patológico debe haber reducido en su diámetro más corto a menos de 10 mm | | Respuesta Parcial | Al menos 30% de **disminución** de la suma de los diámetros de la **lesión blanco**. | | Enfermedad Estable | No corresponde ni a **progresión** ni a respuesta parcial. | | Progresión | Al menos un incremento del 20% en la suma de diámetros de la **lesión blanco**, tomando en cuenta como referencia la suma de sus diámetros. | | | **LA APARICIÓN DE UNA NUEVA LESIÓN SE CONSIDERA PROGRESIÓN.** |
Vista previa
Contenido original (Markdown)
# SARCOTA DE HAPOSI ## DEFINICIÓN El sarcoma de Kaposi es un tumor vascular multicéntrico causado por el VIRUS DEL HERPES TIPO 8. Puede aparecer en sus formas clásica, asociada con el SIDA, endémica (en África) o iatrogénica (luego de un trasplante de órgano). - Es uno de los eventos definitorios de SIDA. El diagnóstico se realiza por biopsia. El tratamiento para las lesiones superficiales indolentes incluye crioterapia, electrocoagulación, resección o radioterapia con haz de electrones. La radioterapia se utiliza en la enfermedad más extensa. En la forma asociada con el sida, los antirretrovirales proporcionan los mejores resultados. ## ETIOLOGÍA - El sarcoma de Kaposi se origina de las células endoteliales como respuesta a la infección por el virus del herpes humano de tipo 8 (HHV-8). - La inmunosupresión (sobre todo por SIDA y fármacos en pacientes que recibieron trasplante de órganos) aumenta notablemente la probabilidad de sarcoma de Kaposi en aquellos con infección por Virus del Herpes8. - Las células tumorales tienen forma ahusada, similares a las de músculo liso, fibroblastos y miofibroblastos. # CLÍNICA ## SARCOMA CLÁSICO Esta forma ocurre con mayor frecuencia en pacientes mayores (> 60 años) de sexo masculino, provenientes de familias italianas, judías o de Europa del Este. La evolución de la enfermedad es poco activa y suele limitarse a un pequeño número de lesiones cutáneas en las extremidades inferiores; el compromiso visceral ocurre en < 10%. Esta forma no suele ser fatal. ## SARCOMA ASOCIADO A SIDA Esta forma ES EL CÁNCER MÁS FRECUENTE ASOCIADO A SIDA y es más agresiva que el sarcoma de Kaposi clásico. Suele haber lesiones cutáneas múltiples, en forma de máculas o nódulos que con frecuenica comprometen la cara y el tronco. La lesión incial es un nódulo pequeño, elevado y de color rojo púrpura en la piel. Es usual también el compromiso de mucosas orales, ganglios linfáticos y aparato digestivo. En ocasiones, el sarcoma de Kaposi es la primera manifestación de SIDA.   ## SARCOMA IATROGÉNICO Esta forma se desarrolla típicamente varios años después de un trasplante de órgano. La evolución es más o menos fulminante, según el grado de inmunosupresión. # DIAGNÓSTICO ## BIOPSIA - El diagnóstico del sarcoma de Kaposi se confirma con biopsia en SACABOCADOS (punch). ## TRATAMIENTO - Resección quirúrgica, crioterapia, electrocoagulación o posiblemente imiquimod para las lesiones superficiales - Radioterapia local para lesiones múltiples o enfermedad ganglionar - Terapia antirretroviral o, en ocasiones, interferón alfa IV para sarcoma de Kaposi asociado a sida (suele responder a los ARV). - Reducción de inmunosupresores para sarcoma de Kaposi iatrogénico ## EVALUACIÓN DE TRATAMIENTO | Respuesta Completa | Desaparición completa de todas las lesiones. | | :--: | :--: | | | Cualquier ganglio patológico debe haber reducido en su diámetro más corto a menos de 10 mm | | Respuesta Parcial | Al menos 30% de disminucion de la suma de los diámetros de la lesión blanco. | | Enfermedad Estable | No corresponde ni a progresiión ni a respuesta parcial. | | Progresión | Al menos un incremento del 20% en la suma de diámetros de la lesión blanco, tomando en cuenta como referencia la suma de sus diámetros. | | | LA APARICIÓN DE UNA NUEVA LESIÓN SE CONSIDERA PROGRESIÓN. |
Vista previa
Cancelar
Guardar cambios