PDF Processor
Inicio
Editar documento
Editar documento: 8. Nocardia
Título
Contenido mejorado
Contenido original
Contenido mejorado por IA (Markdown)
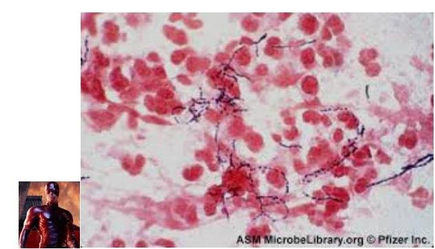
# NOCARDIOSIS ## DEFINICIÓN La **NOCARDIOSIS** es una infección aguda o crónica, a menudo diseminada, supurativa o granulomatosa, causada por varios microorganismos saprofíticos del suelo del género *Nocardia*. El cuadro típico es una neumonía, pero también son comunes las infecciones de la piel y del SNC. El diagnóstico se realiza con el cultivo y tinciones especiales. Como tratamiento, suelen administrarse sulfamidas. ## ETIOLOGÍA Las especies del género *Nocardia* son bacilos grampositivos, aerobios obligados, parcialmente acidorresistentes (**BAAR DÉBIL**), ramificados con forma de cuentas. Pertenecen a la familia Actinomycetaceae y tienen 85 especies, no todas patógenas. *Nocardia asteroides* es el patógeno humano más común; suele causar infecciones pulmonares y diseminadas. - Habita en el suelo y típicamente produce infección en sujetos inmunodeprimidos (**VIH**) ## EPIDEMIOLOGÍA La nocardiosis se produce en todo el mundo y en todos los grupos etarios, pero la incidencia es mayor en adultos de edad avanzada, especialmente hombres, y pacientes inmunocomprometidos. La diseminación de persona a persona es rara. Los factores predisponentes para la nocardiosis incluyen: - Cánceres linforreticulares - Trasplante de órganos - Altas dosis de corticoesteroides u otra terapia inmunosupresora - Enfermedad pulmonar subyacente - **VIH** (**ENFERMEDAD OPORTUNISTA**) # CLÍNICA ## INFECCIÓN PULmonar SUBAGUDA - Se presenta como una neumonía necrotizante o absceso pulmonar. - Se asemeja a una actinomicosis, pero es más probable que la *Nocardia* se disemine local o hematógenamente. - La diseminación con formación de abscesos puede afectar cualquier órgano, pero es más común en el cerebro, la piel, los riñones, el hueso o el músculo. Síntomas: Tos, fiebre, escalofríos, dolor torácico, debilidad, anorexia y pérdida de peso son inespecíficos y pueden asemejarse a los de la tuberculosis o la neumonía supurativa. ## ABSCESOS CUTÁNEOS O SUBCUTÁNEOS (ACTINOMICETOMA) Se producen con frecuencia, a veces como sitio de inoculación primario. Pueden aparecer como: - Celulitis firme - Síndrome linfocutáneo - Actinomicetoma  El **ACTINOMICETOMA** es una enfermedad indolente de progresión lenta en la piel y los tejidos subcutáneos caracterizada por abultamientos nodulares y zonas de drenaje; suele estar asociada a la inoculación a través de traumatismos por la bacteria *Nocardia brasiliensis*. ## DIAGNÓSTICO ## VISUALIZACIÓN MICROSCÓPICA Se observan bacterias grampositivas en filamentos con aspecto de cuentas, ramificados, que pueden ser débilmente ácidorresistentes (**BAAR DÉBIL**).  ## CULTIVO Se puede realizar en muestras obtenidas de las lesiones identificadas. ## BIOPSIA En caso de presentar un **ACTINOMICETOMA** (Biopsia amplia de tejido o por aspiración con aguja fina). ## TRATAMIENTO ## 1ra elección **TRIMETOPRIM / SULFAMETOXAZOL** ## ABSCESOS CUTÁNEOS **CEFTRIAXONA O IMIPENEM**
Vista previa
Contenido original (Markdown)
# ПOCARDIOSIS ## DEFINICIÓN La NOCARDIOSIS es una infección aguda o crónica, a menudo diseminada, supurativa o granulomatosa, causada por varios microorganismos saprofíticos del suelo del género Nocardia. El cuadro típico es una neumonía, pero también son comunes las infecciones de la piel y del SNC. El diagnóstico se realiza con el cultivo y tinciones especiales. Como tratamiento, suelen administrarse sulfamidas. ## ETIOLOGÍA Las especies del género Nocardia son bacilos grampositivos, aerobios obligados, parcialmente acidorresistentes (BAAR DÉBIL), ramificados con forma de cuentas. Pertenecen a la familia Actinomycetaceae y tiene 85 especies, no todas patógenas. Nocardia asteroides es el patógeno humano más común; suele causar infecciones pulmonares y diseminadas. - Habita en el suelo y típicamente produce infección en sujetos inmunodeprimidos (VIH) ## EPIDEMIOLOGÍA La nocardiosis se produce en todo el mundo y en todos los grupos etarios, pero la incidencia es mayor en adultos de edad avanzada, especialmente hombres, y pacientes inmunocomprometidos. La diseminación de persona a persona es rara. Los factores predisponentes para la nocardiosis incluyen - Cánceres linforreticulares - Trasplante de órganos - Altas dosis de corticoesteroides u otra terapia inmunosupresora - Enfermedad pulmonar subyacente - VIH (ENFERMEDAD OPORTUNISTA) # CLINICA ## INFECCIÓN PULMONAR SUBAGUDA - Se presenta como una neumonía necrotizante o absceso pulmonar. - Se asemeja a una actinomicosis, pero es más probable que la Nocardia se disemine local o hematógenamente. - La diseminación con formación de abscesos puede afectar cualquier órgano, pero es más común en el cerebro, la piel, los riñones, el hueso o el músculo. Síntomas: Tos, fiebre, escalofríos, dolor torácico, debilidad, anorexia y pérdida de peso) son inespecíficos y pueden asemejarse a los de la tuberculosis o la neumonía supurativa. ## ABSCESOS CUTÁNEOS O SUBCUTÁNEOS (ACTNIOMICETOMA) Se producen con frecuencia, a veces como sitio de inoculación primario. Pueden aparecer como: - Celulitis firme - Síndrome linfocutáneo - Actinomicetoma  El actinomicetoma es una enfermedad indolente de progresión lenta en la piel y los tejidos subcutáneos caracterizada por abultamiento nodulares y zonas de drenaje; suele estar asociada a la inoculación a través de traumatismos por la bacteria Nocardia brasiliensis. ## DIAGNÓSTICO ## VISUALIZACIÓN MICROSCÓPICA Se observan bacterias grampositivas en filamentos con aspecto de cuentas, ramificados, que pueden ser débilmente ácidorresistentes (BAAR DÉBIL)  CULTIVO Se puede realizar en muestras obtenidas de las lesiones identificadas. ## BIOPSIA En caso de presentar un ACTINOMICETOMA (Biopsia amplia de tejido o por aspiración con aguja fina) ## TRATAMIENTO ## 1ra elección: TRIMETOPRIM / SULFAMETOXAZOL ## ABSCESOS CUTÁNEOS - CEFTRIAXONA O IMIPENEM
Vista previa
Cancelar
Guardar cambios