PDF Processor
Inicio
Editar documento
Editar documento: 1. Enfermedad de Chagas
Título
Contenido mejorado
Contenido original
Contenido mejorado por IA (Markdown)
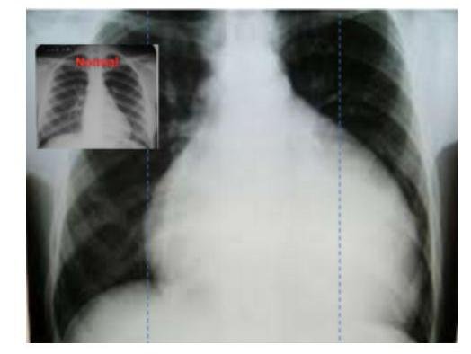
# ENFERMEDAD DE CHAGAS ## DEFINICIÓN También llamada **Tripanosomiasis americana**, es una enfermedad parasitaria exclusiva del Continente Americano cuyo agente etiológico es el protozoario flagelado **Trypanosoma cruzi** (T. cruzi), el cual es transmitido de forma horizontal entre una persona enferma y una sana, por medio del contacto con materia fecal infectada de chinches **redúvidos triatominos** (**chinche besucona**).  ## ETIOLOGÍA El parásito **Trypanosoma cruzi** tiene su **reservorio natural** en los armadillos, marsupiales, roedores, murciélagos y primates silvestres, además de perros, gatos, ratas y caballos.  ## INCUBACIÓN: 1 semana Diversas especies del género en México: Triatoma sp., T. dimidiata, T. longipennis, T. pallidipennis, T. barberi, además de Rhodnius prolixus. ## EPIDEMIOLOGÍA - Prevalencia elevada en regiones rurales más pobres de América Latina. - En México, el área de mayor prevalencia es el bello estado de **Chiapas**. - El órgano más afectado en la infección crónica es el corazón. - Descrita por el **Dr. Carlos Chagas** de Brasil. - La principal causa de muerte es la **insuficiencia cardíaca derecha**. - La falta de tratamiento oportuno lleva a la **cronicidad**. ## FACTORES DE RIESGO  CARLOS CHAGAS - **Zonas endémicas**: zonas rurales y pobres de México, Centroamérica y Sudamérica. - **Transfusión sanguínea** de paciente con la enfermedad # CLÍNICA ## CUADRO AGUDO - **Chagoma**: área dura de eritema, edema y linfadenopatía local por laceración en la piel en donde ocurrió la inoculación del parásito.  ## Chagoma de Inoculación Trypanosoma cruzi  - **Fiebre**, **anorexia**, **edema** de cara y de extremidades inferiores. - **Hepatoesplenomegalia** - **Meningoencefalitis** (en menores de 2 años). ## CUADRO CRÓNICO Se presenta después de **al menos 10 años** del **cuadro agudo**. ## CORAZÓN (principal lugar de afectación) - Alteraciones en el timo - **Miocardiopatía** segmentaria o dilatada - **Bloqueo de rama derecha** del haz de His - **Cardiomegalia** (con atrofia apical) - **Insuficiencia cardíaca derecha** - principal causa de muerte. ## GASTROINTESTINAL - **Disfagia**, **odinofagia**, dolor torácico, regurgitación - **Dolor abdominal** - **Estreñimiento crónico** - **Megasíndromes**: - **Megacolon** - **Megaesófago** ## GASTROINTESTINAL TRACT SYMPTOMS MEGAESOPHAGUS MEGACOLON # DIAGNÓSTICO ## GOLD STANDARD: RADIOINMUNOPRECIPITACIÓN - Detecta los **anticuerpos IgG** específicos que se adhieren a los antígenos de T. cruzi. - Tiene utilidad para diagnosticar la **enfermedad crónica**. ## DETECCIÓN DEL PARÁSITO En una muestra de **sangre periférica** se evidencia el microorganismo con **tinción de Giemsa**. ## RADIOGRAFÍAS - Abdominal: **Megacolon** - Torácica: **Cardiomegalia** - Cervical: **Megaesófago** ## TRATAMIENTO ## NIFURTIMOX - Adultos 8-10 mg/kg - Adolescentes 12.5 - 15 mg / kg - Niños: 15-20 mg/kg  ## BENIDAZOL - Adultos 5 mg / Kg - Niños: 5 - 10 mg / Kg ## Duración: **60 días**. Se da en mayor dosis en los niños porque son los que mejor toleran sus efectos adversos: - **Anorexia** y pérdida de peso. - **Polineuropatía**. - **Náuseas**. - **Vómito**. - **Dolor de cabeza**. - **Mareo** o **vértigo**.
Vista previa
Contenido original (Markdown)
# ENFERMEDAD DE CHAGAS ## DEFINICIÓN También llamada Tripanosomiasis americana, es una enfermedad parasitaria exclusiva del Continente Americano cuyo agente etiológico es el protozoario flagelado Trypanosoma cruzi (T. cruzi), el cual es transmitido de forma horizontal entre una persona enferma y una sana, por medio del contacto con materia fecal infectada de chinches Redúvidos Triatominos (chinche besucona).  ## ETIOLOGÍA El parásito Trypanosoma cruzi tiene su reservorio natural en los Armadillos, Marsupiales, Roedores, Murciélagos y Primates Silvestres, además de perros, gatos, ratas y caballos.  ## INCUBACIÓN: 1 semana Diversas especies del género en México:Triatoma sp., T. dimidiata, T. longipennis, T. pallidipennis, T. barberi, además de Rhodnius prolixus. ## EPIDEMIOLOGÍA - Prevalencia elevada en regiones rurales más pobres de América Latina. - En México, el área de mayor prevalencia es el bello estado de CHIAPAS. - El órgano más afectado en la infección crónica es el corazón. - Descrita por el Dr. Carlos Chagas de Brasil. - La principal causa de muerte es la Insuficiencia Cardiaca Derecha. - La falta de tratamiento oportuno tiene a cronicidad. ## FACTORES DE RIESGO  CARLOS CHAGAS - Zonas Endémicas: zonas rurales y pobres de México, Centroamérica y Sudamérica. - Transfusión sanguínea de paciente con la enfermedad # CLÍNICA ## CUADRO AGUDO - CHAGOMA: área dura de eritema, edema y linfadenopatía local por laceración en la piel en donde ocurrió la inoculación del parásito.  ## Chagoma de Inoculación Trypanosoma cruzi  - Fiebre, Anorexia, Edema de cara y de extremidades inferiores. - Hepatoesplenomegalia - Meningoencefalitis (en menores de 2 años). ## CUADRO CRÓNICO Se presenta después de AL MENOS 10 AÑOS del cuadro agudo. ## CORAZÓN (principal lugar de afectación) - Alteraciones en el timo - Miocardiopatía segmentaria o dilatada - Bloqueo de rama derecha del haz de His - CARDIOMEGALIA (con atrofia apical) - Insuficiencia cardiaca derecha - principal causa de muerte. ## GASTROINTESTINAL - Disfagia, Odinofagia, dolor torácico, regurgitación - Dolor abdominal - Estreñimiento crónico - Megasíndromes: - MEGACOLON - MEGAESÓFAGO ## GASTROINTESTINAL TRACT SYMPTOMS MEGAESOPHAGUS MEGACOLON # DIAGNÓSTICO ## GOLD STANDARD: RADIOINMUNOPRECIPITACIÓN - Detecta los anticuerpos IgG específicos que se adhieren a los antígenos de T. cruzi. - Tiene utilidad para diagnosticar la enfermedad crónica. ## DETECCIÓN DEL PARÁSITO En una muestra de sangre periférica se evidencia el microorganismo con TINCIÓN DE GIEMSA. ## RADIOGRAFÍAS - Abdominal: Megacolon - Torácica: Cardiomegalia - Cervical: Megaesófago ## TRATAMIENTO ## NIFURTIMOX - Adultos 8-10 mg/kg - Adolescentes 12.5 - 15 mg / kg - Niños: 15-20 mg/kg  ## BENIDAZOL - Adultos 5 mg / Kg - Niños: 5 - 10 mg / Kg ## Duración: 60 días. Se da en mayor dosis en los niños porque son los que mejor toleran sus efectos adversos: - Anorexia y pérdida de peso. - Polineuropatía. - Náuseas. - Vómito. - Dolor de cabeza. - Mareo o vértigo.
Vista previa
Cancelar
Guardar cambios