PDF Processor
Inicio
Editar documento
Editar documento: 4.4 Otras Hernias (Litre, Richter, Obturatriz)
Título
Contenido mejorado
Contenido original
Contenido mejorado por IA (Markdown)
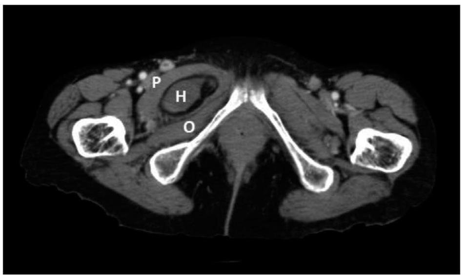
# OTRAS HERNIAS ## HERNIA DE LITTRE En el interior del saco herniario se encuentra un **DIVERTÍCULO DE MECKEL**.  ## HERNIA DE RICHTER Herniación de una **PORCIÓN DE LA PARED ANTIMESENTÉRICA** del intestino delgado. ## Richter's Hernia  # HERNIA DE SPIEGEL En el punto de unión del borde lateral del recto abdominal con la línea semilunar de Douglas. Surgen laterales e infraumbilicales.  Hernia de Spiegel vista anatómica.  ## HERNIA DE AMYAND Contiene una **APENDICITIS AGUDA**. ## HERNIA OBTURATRIZ Salen por el orificio obturador o infrapúbico. - Generalmente en **mujeres mayores**. - Rara vez son palpables. - Producen dolor que se extiende medialmente al **muslo** y cuadros obstructivos. - Diagnóstico por **TAC**. 
Vista previa
Contenido original (Markdown)
# OTRAS HERIIAS ## HERNIA DE LITRE En el interior del saco herniario se enucentra un DIVERTÍCULO DE MECKEL  ## HERNIA DE RICHTER Herniación de una PORCIÓN DE LA PARED ANTIMESENTÉRICA del intestino delgado. ## Richters Hernia  # HERNIA DE SPIEGEL En el punto de unión del borde lateral del recto abdominal con la línea semilunar de Douglas. Surgen laterales e infraumbilicales  Hernia de Spiegel vista anatómica  ## HERNIA DE AYMART Contiene una APENDICITIS AGUDA. ## HERNIA OBTURATRIZ Salen por el orificio obturador o infrapúbico. - Generalmente en mujeres mayores. - Rara vez son palpables. - Producen dolor que se extiende medialmente al msulo y cuadros obstructivos. - Diagnóstico por TAC 
Vista previa
Cancelar
Guardar cambios