PDF Processor
Inicio
Editar documento
Editar documento: 6. Faringoamigdalitis Aguda
Título
Contenido mejorado
Contenido original
Contenido mejorado por IA (Markdown)
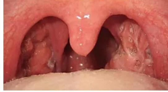
# FARINGOAMIGDALITIS AGUDA ## DEFINICIÓN La faringoamigdalitis es una infección de la faringe y amígdalas que se caracteriza por garganta roja de más de cinco días de duración, afecta a ambos sexos y a todas las edades, pero es mucho más frecuente en la infancia. **FARINGOAMIGDALITIS DE REPETICIÓN**: **3 o más episodios** de **Faringoamigdalitis Bacteriana** en **1 año**, durante los últimos **3 años** - Indicación de **AMIGDALECTOMÍA**. ## ETIOLOGÍA 1. VIRAL (90 %) 2. Estreptococo Beta Hemolítico del Grupo A (EBHGA) solo el 15 % ## EPIDEMIOLOGÍA * Una **infección verdadera** es muy diferente a un enrojecimiento por **resfriado de vías respiratorias altas** (GPC). * Es uno de los **motivos de consulta** más solicitados en **primer nivel de atención**. * Su **manejo** generalmente es en **primer nivel de atención**. * El **incumplimiento al tratamiento** y la **automedicación** propicia las **resistencias bacterianas**. ## FACTORES DE RIESGO * **Tabaquismo activo y pasivo** * **Exposición a enfermos de amigdalitis** (**asintomáticos con Pyogenes**) * **Cambios bruscos de temperatura** * **RGE** (Reflujo gastroesofágico) ## CLÍNICA * **Exudado blanquecino** + **Hipertrofia en amígdalas** * **Adenopatía cervical** * **Ausencia de rinorrea y tos** * **Fiebre >38.0 °C** **Origen viral**: **rinorrea**, **tos húmeda**, **disfonía** y **conjuntivitis**.  # DIAGNÓSTICO ## GOLD STANDARD: CULTIVO FARÍNGEO * Se utiliza para **confirmar el diagnóstico** y su **sensibilidad es 90-95 %**. * Se recomienda en **pacientes que no mejoran con el tratamiento**. ## 1ra ELECCIÓN: CLÍNICO * Es posible **establecer un diagnóstico** e **iniciar antibiótico empírico** si se encuentran los **4 síntomas clásicos** y el paciente tiene una **presentación tóxica**. ## ANTÍGENO RÁPIDO DE INMUNOENSAYO * Se utiliza para **identificar el EBHGA**. * Tiene una **sensibilidad de 61-95 %** y **especificidad de 88-100 %** (se debe **complementar con un cultivo**). * Es una **prueba rápida y barata**, pero su **uso rutinario no genera grandes cambios en la prescripción**. ## CRITERIOS DE CENTOR MODIFICADOS POR MCISAAC | SÍNTOMAS | PUNTUACIÓN | | :--------------------------- | :--------: | | Fiebre >38°C | 1 | | Exudado o Hipertrofia Amigdalar | 1 | | Adenopatías Laterocervicales Dolorosas | 1 | | Ausencia de Tos | 1 | | **EDAD** | | | - 3-14 años | 1 | | - 15-45 años | 0 | | - >45 años | -1 | | Puntos | Probabilidad EBHGA | | :----: | :----------------: | | 5-4 | 50 % | | 3 | 35 % | | 2 | 17 % | | 1 | 10 % | | -1-0 | 1 % | # TRATAMIENTO ## ORIGEN VIRAL La mayoría de las veces (alrededor del 90 %) la **etiología es viral** y requiere **manejo sintomático**. ## 1ra ELECCIÓN: PARACETAMOL / IBUPROFENO Son los **más seguros y eficaces** que los **antibióticos** contra los **síntomas**. En adultos, el **dolor en la deglución** puede ser incluso tratado con **lidocaína spray o solución**. ## ORIGEN BACTERIANO El **uso de antibiótico** en **presencia de estreptococos beta del grupo A** **acorta el curso de la enfermedad**: ## 1ra ELECCIÓN: Amoxicilina - Ácido Clavulánico 500 mg cada 8 horas x 10 días / PENICILINA Si se dispone de PENICILINA, puede aplicarse el siguiente esquema: \begin{gathered} \text { Penicilina Compuesta 1,200,000 UI (1 cada 12 horas } \times 2 \text { dosis) } \\ + \\ \text { Penicilina Procaínica 800,000 UI (cada 12 horas)} \end{gathered} Otros Esquemas Recomendados: * Cefalosporina de 1ª Generación x 10 días * Clindamicina 600 mg / día en 2-4 dosis x 10 días ## 2ra ELECCIÓN: ERITROMICINA / CEFALOSPORINA DE 1ª GENERACIÓN * Indicado en alergia a la Penicilina. ## TRATAMIENTO DE ERRADICACIÓN **Inicia 9 días después** de la enfermedad aguda y **continua por 10 días**. Se debe **realizar cultivo faríngeo 7 días después** de terminar el tratamiento inicial. **Penicilina Benzatínica 1,200,000 UI cada 21 días** a partir de la **primera aplicación de la Penicilina compuesta** (utilizada en el tratamiento inicial) x **3 meses**. ## NO FARMACOLÓGICO 1. **Incremento de ingesta de líquidos** 2. **Mantener alimentación adecuada** 3. **Gárgaras con agua salada bicarbonatada** (1/4 de cucharada en un vaso con agua). # REFERENCIA ## Envío URGENTE A 2º NIVEL: * **Epiglotitis** * **Absceso periamigdalino o retrofaríngeo** * **Dificultad para respirar** * **Estridor** * **Disfagia** * **Sialorrea** ## Envío ORDINARIO A 2º NIVEL: * **Cultivo positivo post-tratamiento de erradicación** * **Cuadros recurrentes** por **S. aureus productor de Betalactamasa**, **ausencia de flora bacteriana**, **pobre respuesta al tratamiento**. ## PRONÓSTICO * El **principal objetivo del tratamiento** es **prevenir el desarrollo** de la **FIEBRE REUMÁTICA**. * **Después de iniciar el tratamiento** los **síntomas ceden a las 48 - 72 horas**. * El **tratamiento temprano para EBHGA** **reduce el tiempo de síntomas a 1 -2 días** (**típicamente dura 3 - 7 días**). ## COMPLICACIONES **ABSCESOS PERIAMIGDALINOS**: se considera un **absceso profundo del cuello**. * **FR**: **mal estado de higiene bucal**, **DM**, **Enfermedad Autoinmune**, **VIH**. * **RX**: **útil para mediastinitis** y **derrame pleural** (**poco específico para un absceso retrofaríngeo**). - **ABORDAJE**: **TAC** + **Punción** + **Drenaje** + **Antibióticos IV**. **1ra elección**: **Penicilina Procaínica 800,000 UI c/12 horas** + **Metronidazol 500 mg VO por 10 días**. Este esquema se indica si el **manejo se realiza en 1er nivel**. Si no muestra una **evolución favorable** se **envía a 2º - 3er nivel** con: **1ra elección**: **CEFTRIAXONA 1-2 g c/8 horas** + **Clindamicina 600 mg c/6 horas o Metronidazol**.
Vista previa
Contenido original (Markdown)
# FARINGOAMIGDALITIS ACUDA ## DEFINICIÓN La faringoamigdalitis es una infección de la faringe y amígdalas que se caracteriza por garganta roja de más de cinco días de duración, afecta a ambos sexos y a todas las edades, pero es mucho más frecuente en la infancia. FARINGOAMIGDALITIS DE REPETICIÓN: 3 o más episodios de Faringoamigdalitis Bacteriana en 1 año, durante los últimos 3 años - Indicación de AMIGDALECTOMÍA ## ETIOLOGÍA ## 1. VIRAL ( 90 % ) 2. Estreptococo Beta Hemolítico del Grupo A (EBHGA) solo el 15% ## EPIDEMIOLOGÍA - Una infección verdadera es muy diferente a un enrojecimiento por resfriado de vías respiratorias altas (GPC). - Es uno de los motivos de consulta más solicitados en primer nivel de atención. - Su manejo generalmente es en primer nivel de atención. - El incumplimiento al tratamiento y la automedicación propicia las resistencias bacterianas. ## FACTORES DE RIESGO - Tabaquismo activo y pasivo - Exposición a enfermos de amigdalitis (asintomáticos con Pyogenes) - Cambios bruscos de temperatura - RGE ## CLÍNICA - Exudado blanquecino + Hipertrofia en amígdalas - Adenopatía cervical - Ausencia de rinorrea y tos - Fiebre >38.0 Origen viral: rinorrea, tos húmeda, disfonía y conjuntivitis.  # DIAGNÓSTICO ## GOLD STANDARD: CULTIVO FARÍNGEO - Se utiliza para confirmar el diagnóstico y su sensibilidad es 90-95 % - Se recomienda en pacientes que no mejoran con el tratamiento. ## 1ra elección: CLÍNICO - Es posible establecer un diagnóstico e iniciar antibiótico empírico si se encuentran los 4 síntomas clásicos y el paciente tiene una presentación tóxica. ## ANTÍGENO RÁPIDO DE INMUNOENSAYO - Se utiliza para identificar el EBHGA - Tiene una sensibilidad de 61-95 % y especificidad de. 88-100 % (se debe complementar con un cultivo) - Es una prueba rápida y barata, pero su uso rutinario no genera grandes cambios en la prescripción. ## CRITERIOS DE CENTOR MODIFICADOS POR MCISAAC | SÍNTOMAS | PUNTUACIÓN | | :--: | :--: | | Fiebre >38^{\circ} C | 1 | | Exudado o Hipertrofia Amigdalar | 1 | | Adenopatías Laterocervicales Dolorosas | 1 | | Ausencia de Tos | 1 | | EDAD | | | - 3-14 años | 1 | | - 15-45 años | 0 | | - >45 años | -1 | | Puntos | Probabilidad EBHGA | | :--: | :--: | | 5-4 | 50 % | | 3 | 35 % | | 2 | 17 % | | 1 | 10 % | | -1-0 | 1 % | # TRATAMIENTO ## ORIGEN VIRAL La mayoría de las veces (alrededor del 90%) la etiología es viral y requiere manejo sintomático. ## 1ra elección: PARACETAMOL / IBUPROFENO Son los más seguros y eficaces que los antibióticos contra los síntomas. En adultos, el dolor en la deglución puede ser incluso tratados con lidocaína spray o solución ## ORIGEN BACTERIANO El uso de antibiótico en presencia de estreptococos beta del grupo A acorta el curso de la enfermedad: ## 1ra elección: Amoxicilina - Ácido Clavulánico 500 mg cada 8 horas x 10 días / PENICILINA Si se dispone de PENICILINA, puede aplicarse el siguiente esquema: \begin{gathered} \text { Penicilina Compuesta 1,200,00 UI (1 cada } 12 \text { horas } \times 2 \text { dosis) } \\ + \\ \text { Penicilina Procaínica 800,000 UI (cada } 12 \text { horas) } \end{gathered} Otros Esquemas Recomendados: - Cefalosporina de 10 Generación \times 10 días - Clindamicina 600 mg / día en 2-4 dosis \times 10 días 2da elección: Eritromicina / Cefalosporina de 10 generación - Indicado en alergia a la Penicilina ## TRATAMIENTO DE ERRADICACIÓN Inicia 9 días después de la enfermedad aguda y continua por 10 días. Se debe realizar cultivo faríngeo 7 días después de terminar el tratamiento inicial. Penicilina Benzatínica 1,200,00 UI cada 21 días a partir de la primera aplicación de la Penicilina compuesta (utilizada en el tratamiento inicial) x 3 meses ## NO FARMACOLÓGICO 1. Incremento de ingesta de líquidos 2. Mantener alimentación adecuada 3. Gárgaras con agua salda bicarbonatada 1 / 4 de cucharada en un vaso con agua. # REFERENCIA ## Envío URGENTE A 2 NIVEL: - Epiglotitis - Absceso periamigdalino o retrofaríngeo - Dificultad para respirar - Estridor - Disfagia - Sialorrea ## Envío ORDINARIO A 2 NIVEL: - Cultivo positivo post-tratamiento de erradicación - Cuadros recurrentes por S. aureus productor de Betalactamasa, ausencia de flora bacteriana, pobre respuesta al tratamiento. ## PRONÓSTICO - El principal objetivo del tratamiento es prevenir el desarrollo de la FIEBRE REUMÁTICA. - Después de iniciar el tratamiento los síntomas ceden a las 48 - 72 horas - El tratamiento temprano para EBHGA reduce el tiempo de síntomas a 1 -2 días (típicamente dura 3 - 7 días). ## COMPLICACIONES ABSCESOS PERIAMIGDALINOS: se considera un absceso profundo del cuelo, - FR: mal estado de higiene bucal, DM, Enfermedad Autoinmune, VIH. - RX: útil para mediastinitis y derrame pleural (poco específico para un absceso retrofaríngeo) ## - ABORDAJE: TAC + Punción + Drenaje + Antibióticos IV 1rae: Penicilina Procaínica 800,000 UI c/12 horas + Metronidazol 500 mg VO por 10 días. Este esquema se indica si el manejo se realiza en 10 nivel. Si no muestra una evolución favorable se envía a 20 -30 nivel con: 1rae: CEFTRIAXONA 1-2 g c/8 horas + Clindamicina 600 mg c/6 horas o Metronidazol
Vista previa
Cancelar
Guardar cambios