PDF Processor
Inicio
Editar documento
Editar documento: 9. Intoxicación Por Metales Pesados
Título
Contenido mejorado
Contenido original
Contenido mejorado por IA (Markdown)
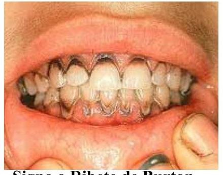
# INTOXICACIÓN POR METALES: DEFINICIÓN Los metales pesados son comúnmente definidos como aquellos que tienen una densidad mayor a 5 g/cm³. Entre ellos están el **plomo**, **mercurio**, **aluminio**, **arsénico**, **cadmio** y **níquel**. su impacto en la salud humana recae en la exposición ocupacional, medio ambiente y acumulación en alimentos; son tóxicos porque tienen efectos acumulativos deletéreos que pueden causar cambios degenerativos crónicos, especialmente en el sistema nervioso central (SNC), hígado, riñón, y en algunos casos son teratogénicos y cancerígenos. ## ENVENENAMIENTO El mecanismo permanece desconocido, pero su papel importante es en la inhibición enzimática, afectando el metabolismo antioxidante y el estrés oxidativo. Muchos de sus efectos se generan a través de la formación de radicales libres, lo que resulta en daño al ADN, peroxidación lipídica y depleción de grupos sulfhidrilo de proteínas. Una vez absorbidos, son excretados lentamente y se acumulan en el organismo causando daño orgánico. Su distribución depende de las moléculas transportadoras circulantes. El mercurio y el arsénico se acumulan en pelo y uñas, utilizados como indicadores de exposición prolongada. ## EPIDEMIOLOGÍA - Es considerado un problema de salud pública a nivel mundial. - Líneas de Mees (Plomo, Bismuto, Mercurio, Arsénico, Talio). - el **plomo** es el metal que provoca mas **intoxicaciones** (se le conoce como **saturnismo**).  ## FUENTES DE EXPOSICIÓN - Ocupacional: manufactura, baterías, vidrieras, fundiciones, armas de fuego, refinerías, soldadura. - Ambiental: tuberías de plomo, agua caliente. - Accidental: en niños por ingesta de pintura, contaminación por balas. - in utero: transplacentario, exposición ocupacional materna, pica (geofagia). - Remedios caseros: azarcón (tratamiento del empacho, según la GPC). - Medicina herbaria: existen preparados alternativos con plomo y mercurio en concentraciones tóxicas. # INTOXICACIÓN POR PLOMO También conocido como **saturnismo**, la intoxicación por plomo presenta un amplio espectro de manifestaciones multisistémicas. Los órganos más afectados son el tracto gastrointestinal (GI), SNC, riñón y sistema hematopoyético. | Gastrointestinal | Sistema Nervioso | Renal | | :---------------------------------------------------------------------------- | :------------------------------------------------------------------------------------------------------------------------------------------------ | :------------------------------------------------------------------------------------------------------------------------------------------------ | | - Enrojecimiento de mucosas <br> - Ulceraciones <br> - Vómito y náusea <br> - Diarrea o constipación <br> - Dolor abdominal severo <br> Bucal: signo de Burton (línea oscura en tejido gingival) | Niños: alteración coeficiente intelectual, signos de hipertensión endocraneana <br> Adultos: Cefalea, debilidad muscular, letargo, insomnio, pérdida de memoria, anorexia, convulsiones. | Nefritis túbulo-intersticial <br> Provocando Insuficiencia Renal Crónica (IRC) + Hipertensión Arterial Sistémica (HAS) <br> Hematopoyético <br> Anemia Microcítica-Hipocrómica (induce estrés oxidativo como mecanismo de anemia anaplásica) | ## INTOXICACIÓN CRÓNICA - neuropatía periférica (motora, brazos y piernas) - retraso en el desarrollo - problemas cognitivos - hipertensión arterial - nefropatía (síndrome de Fanconi) - líneas de Mees en dedos - anemia microcítica-hipocrómica  Signo o Ribete de Burton (no es patognomónico, también en bismuto y mercurio). ## DIAGNÓSTICO ## MEDICIÓN DE CONCENTRACIÓN PLOMO EN SANGRE VENOSA - Aunada a las manifestaciones clínicas, este estudio establece el diagnóstico de intoxicación. - Los niveles <10 ug/dL se consideran que no tienen exposición al plomo. - Los niveles >20 ug/dL de manera persistente (3 meses) requieren una evaluación médica y del medio ambiente. ## DETERMINACIÓN DE ZINC PROTOPORFIRINA Es un marcador de efecto que indica daño de órgano blanco, específicamente el hematopoyético. ## TRATAMIENTO ## 1.ª elección: **DMSA (Succimer)** Intoxicación moderada o severa (en fase aguda o crónica). ## 2.ª elección: **DIMERCAPROL (BAL)** Encefalopatía aguda por plomo. ## 3.ª elección: **CaNa2EDTA (Versenato)** Encefalopatía por plomo. ## **PENICILAMINA** En caso de no contar con otros quelantes, se puede utilizar. # INTOXICACIÓN POR MERCURIO El mercurio existe en 3 formas distintas: elemental (inhalación de vapor de mercurio o ingesta del metal líquido o cutáneo), sales (cosméticos, cremas aclaradoras, antisépticos) y orgánico (la forma más peligrosa, presente en antisépticos y fungicidas). ## CLÍNICA El mercurio es altamente lipofílico y tiende a acumularse en tejidos grasos. - Gingivitis - Estomatitis - Salivación excesiva ## EXPOSICIÓN OCUPACIONAL: TEMBLOR + ALTERACIONES PERSONALIDAD + ESTOMATITIS - Neuropatía periférica sensorial: es común e incluye cambios en personalidad, irritabilidad, fatiga, temblor fino, ataxia, alteraciones del sueño y sabor metálico. - Renal: daño tubular y glomerular. - Fetal: altera la arquitectura celular del desarrollo cerebral. ## DIAGNÓSTICO **estándar de oro**: NIVELES SÉRICOS Y URINARIOS DE MERCURIO EN ORINA DE 24 HORAS. - Esto sumado al cuadro clínico sugestivo y al antecedente de exposición de mercurio. - Se consideran niveles normales en sangre <10 ug/L y en muestra única de orina <20 ug/L. ## DAÑO RENAL Evaluar la función renal con indicadores precoces de daño renal como la Beta-2 microglobulina, N-Acetil-D-Glucosaminidasa o Beta-Galactosidasa. ## TRATAMIENTO Se basa en el retiro de la fuente de exposición y el uso de quelantes. ## 1.ª elección: **DMSA** (ácido 2,3-dimercaptosuccínico o **Succimer**) La terapia de quelación se suspende cuando los niveles son <20 ug/L, ya que con esa cantidad el cuerpo lo remueve fácilmente. Realizar monitoreo desde el inicio del quelante hasta los 10 días de tratamiento. ## 2.ª elección: **BAL** (**British Anti-Lewisite**, 2,3-dimercaptopropanol) Está contraindicado por intoxicación con metilmercurio o mercurio orgánico. ## 3.ª elección: **D-PENICILAMINA** En caso de que no se disponga de otros quelantes. # INTOXICACIÓN POR ARSÉNICO La principal fuente de exposición es el agua potable contaminada por fuentes geológicas naturales. Otras fuentes son: insecticidas, fertilizantes, minería, fundición de metales, combustibles, algodón, aluminio, medicina china, hindú u occidental moderna. **presente en rodenticidas de antaño** (eran muy tóxicos para humanos). la exposición al gas arsina se produce en ocupaciones de riesgo como la fundición de metales y minerales. Se absorbe por vía digestiva, inhalatoria, cutánea y transplacentaria. Se distribuye a bazo, pulmones, intestino y piel en las primeras 24 horas, depositándose en hueso y faneras hasta 2 semanas después. puede detectarse en orina hasta 10 días después de la exposición. ## CLÍNICA AGUDA: DIARREA "AGUA DE ARROZ", vómito, anorexia, sabor metálico, dolor abdominal, alteraciones electrocardiograma (ECG), síntomas respiratorios, mareo, delirio, encefalopatía, neuropatía similar a Guillain-Barré. inhalación por gas arsina: síntomas inespecíficos en las primeras horas, posteriormente se presenta hematuria seguida de oliguria y anuria, y dos días después coloración bronce. TRIada: dolor abdominal + hemólisis + hematuria. CRÓNICA:ingestión prolongada de arsénico de al menos 6 meses: Hiperhidrosis: palmas, plantas, prurito, eritema y disestesias. hiperqueratosis y melanodermia. malignización: puede desencadenar proceso por su carcinogenicidad. DERMATOLÓGICO: pigmentación o melanosis y queratosis por toxicidad. Son pecas o "gotas de lluvia" en tronco y extremidades, bilateral y simétrica; pueden involucrar la mucosa oral. ## DIAGNÓSTICO ## CRITERIOS CLÍNICOS al menos 6 meses continuos de exposición con concentraciones >50 ug/L de agua o altos niveles en el aire. Lesiones dermatológicas del arsenicismo: melanosis o hiperqueratosis. Manifestaciones no carcinogénicas: afección sistémica. CÁNCER: piel u otra zona expuesta. concentraciones demostrables en orina, pelo y uñas. ## CRITERIOS BIOQUÍMICOS 1.- Arsénico en pelo, uñas, sangre y orina (o sus metabolitos MMA y DMA). 2.- Concentraciones de arsénico: >1 mg/Kg en pelo y uñas. >50 ug/L en orina. >3 ug/dL en sangre. ## TRATAMIENTO ## 1.ª elección: **DMPS** o **DMSA** el **BAL** es el único quelante que ha demostrado ser efectivo en intoxicaciones agudas por arsénico. intoxicación por gas: eliminar fuente, terapia de sostén y si hay hemólisis: exanguinotransfusión y hemodiálisis. # INTOXICACIÓN POR TALIO las fuentes de exposición son raticidas, pirotecnia, señales luminosas, industria de diamantes, vidrio de alta refracción, chips de computadoras, cosméticos, rocas volcánicas. el **talio** es más tóxico que el plomo, se fija en 70% a eritrocitos y cruza la barrera placentaria, siendo tóxico en el feto. se recomienda evitar rodenticidas que contengan talio. ## CLÍNICA los síntomas se presentan de forma aguda (1-2 días después de exposición), subaguda o crónica (2-3 semanas) y varían por la dosis de exposición. | GASTROINTESTINAL | Vómitos, distensión abdominal, diarrea, dolor abdominal. | | :----------------- | :-------------------------------------------------------------------------------------- | | PIEL Y ANEXOS | se presenta entre 10-14 días después, manifiesta alopecia, erupción acneiforme en cara, leuconiquia (líneas de Mees), caída de vello púbico, axilas y cejas. | | NEUROLÓGICO | Neuropatía periférica, ataxia, temblor, atetosis, parálisis nervios craneales, convulsiones, coma. | | OTRAS | alteraciones psiquiátricas (insomnio, cambios de personalidad, depresión, apatía, psicosis y ansiedad). | ## DIAGNÓSTICO ## DETERMINACIÓN DE TALIO - Se busca en sangre, orina y cabello. - el **talio** no se encuentra normalmente en el ambiente, por lo que su valor de referencia es <9 ug/L. - si los niveles en sangre son >100 ug/L y en orina >200 ug/L se consideran peligrosos. ## TRATAMIENTO 1. Manejo del ABC para reanimación básica. 2. Considerar lavado gástrico si no ha presentado vómito. 3. Soluciones parenterales para forzar diuresis. 4. Uso de carbón activado a dosis múltiples. ## ANTÍDOTO ## 1.ª elección: **PENICILAMINA** o **AZUL DE PRUSIA** la GPC menciona que el antídoto específico es la **penicilamina** e inmediatamente después dice que en otros países es el **azul de Prusia**.
Vista previa
Contenido original (Markdown)
# INT0XICACIÓN POR METALES DEFINICION Los metales pesados son comúnmente definidios como aquellos que tienen una densidad mayor a 5 ~g / cm 3, entre ellos están el Plomo, Mercurio, Aluminio, Arsénico, Cadmio y Níquel. Sy impacto en la salud humana recae en la exposición ocupacional, medio ambiente y acumulación en alimentos; son tóxicos porque tienen efectos acumulativos deletéreos que pueden causar cambios crónicos degenerativos especcialmente en el SNC, hígado, riñón y en algunos casos son teratogénicos y carniogénicos. ## ENVENEMAIENTO El mecanismo permanece desconocido pero desempeñan un papel importante en la inhibición enzimática, afectando el metabolismo antioxidante y el estrés oxidativo. Generan muchos de sus efectos a través de la formación de radicales libres, que resultan en daño al ADN, peroxidación lipídica y depleción de grupos sulfhidrilo de proteínas. Una vez absorbidos, son excretados lentamente y se acumulan en el organismo causando daño orgánico. Su distribución depdne de las moléculas transportadoras circulantes. El mercurio y el arsénico se acumulan en pelo y uñas, utiliados como indicadores de exposición prolongada. ## EPIDEMIOLOGÍA - Se considera un problema de salud pública a nivel mundial. - Línesas de Mees (Plomo, Bismuto, Mercurio, Arsénico, Talio) - El PLOMO ES EL METAL QUE PROVOCA MÁS INTOXICACIONES (se le conoce como SATURNISMO)  ## FUENTES DE EPOSICIÓN - Ocupacional: manufactura, baterías, vidriada, fundiciones, armas de fuego, refinerías, soldadura - Ambiental: tuberías de plomo, agua caliente, - Accidental: en niños por ingesta de pintura, contaminación por balaas. - In utero: transplacentario, exposición ocupacional materna, pica (geofagia). - Remedios caseros: azarcón (tratamiento del empacho, según GPC) - Medicina herbaria: existen preparados alternativos con plomo y mercurio en concentraciones tóxicas. # INT0XICACIÓN POR PLOMO También conocido como SATURNISMO, la intoxicación por plomo presenta un amplio espectro de manifestaciones multisistémicas. Los órganos más afectos son el tracto GI, SNC, Riñón y Hematopoyético. | Gastrointestinal | Sistema Nervioso | Renal | | :--: | :--: | :--: | | - Enrojecimiento de mucosas - Ulceraciones - Vómito y náusea - Diarrea o constipación - Dolor abdominal severo Bucal: signo de Burton (línea oscura en tejido gingival | Niños: alteración coeficiente intelectual, signos de hipertensión endocraneana Adutlos: Cefalea, debilidad muscular, letargia, insomnio, pérdida de memoria, anorexia, convulsiones. | Nefritis tubulo-intesticial Provocando IRC + HAS Hematopoyético Anemia Microcítica - Hipocrómica (induce estrés oxidativo como mecanismo de anemia anaplásica) | ## INTOXICACIÓN CRÓNICA - Nueropatía periférica (motora, brazos y piernas) - Retraso en el desarrollo - Problemas cognitivos - Hipertensión arterial - Nefropatía (Sx de Fanconi) - Líneas de Mees en dedos - Anemia Microcítica-Hipocrómica  Signo o Ribete de Burton (no es patognomónico, tmb en bismuto y mercurio) ## DIAGNÓSTICO ## MEDICIÓN DE CONCENTRACIÓN PLOMO EN SANGRE VENOSA - Aunada a las manifestaciones clínicas, este estudio establece el diagnóstico de intoxicación - Los niveles <10 ug / dL se consideran que no tienen exposición al plomo - Los niveles >20 ug / dL de manera persistente ( 3 meses) requieren una evaluación médica y del medio ambiente. ## DETERMINACIÓN DE ZINC PROTOPORFINA Es un marcador de efecto que indica daño de órgano blanco, específicamente el hematopoyético ## TRATAMIENTO ## 1ra elección: DMSA (SUCCIMER) Intoxicación moderada o severa (en fase aguda o crónica) 2da elección: DIMERCAPAROL (BAL) Encefalopatía aguda por plomo ## 3ra elección: CANA 2 EDTA (VERSENATO) Encefalopatía por plomo ## PENICILAMINA En caso de no contar con otros Quelantes, se puede utiliar. # INT0XICACIÓN POR MERCURIO El mercurio existe en 3 formas distintas: elemental (inhalación de vapor de mercurio o ingesta del metal líquido o cutáneo), sales (cosméticos, cremas aclaradoras, antisépticos) y orgánico (la forma más peligrosa, presente en antisépticos y fungicidas). ## CLÍNICA El mercurio es altamente lopofilico y tiende a acumularse en tejidos grasos. - Gingivitis - Estomatitis - Salivación excesiva ## EXPOSICIÓN OCUAPCIONAL TEMBLOR + ALTERACIONES PERSONALIDAD + ESTOMATITIS - Neruopatía Perifértica Sensorial: es común e inlcuye cambios en personaldiad, irritabilidad, fatiga, temblor fino, ataxia, altaraciones del sueño y sabor metálico. - Renal: daño tubular y glomerular. - Fetal: altera la arquitectura celular del desarrollo cerebral. ## DIAGNÓSTICO GOLD STANDARD: NIVELES SÉRICOS Y URINARIOS DE MERCURIO EN ORINA DE 24 HORAS - Esto sumado al cuadro clínico sugestivo y al antecedente de exposición de mercurio - Se consideran niveles normales en sangre <10 ug / L y en muestra única de orina <20 ug / L ## DAÑO RENAL Evaluar la fnción renal con indicadores precoces de daño renal como la B2- Microglobulina, N-Acetil-DGlucosaminidasa o B-Galactosidasa. ## TRATAMIENTO Se basa en el retiro de la fuente de exposición y el uso de Quelantes. 1ra elección: DMSA (ácido 2,3-dimercaptosuccínico o SUCCIMER) La terapia de quelación se suspende cuando los niveles son <20 ug / L ya que con esa cantidad el cuerpo lo remueve facilmente. Realizar montioreo desde el inicio del quelante hasta los 10 días de tratamiento. 2da elección: BAL (British Anti Lewisite (2,3-dimercaptopropanol) Está contraindicado por intoxicación con metilmercurio o mercurio orgánico ## 3ra elección: D-PENICILAMINA En caso de que no se disponga de otros quelantes. # INT0XICACIÓN POR ARSÉNICO La principal fuente de exposición es el agua potable contaminada por fuentes geológicas naturales. Otras fuentes son: insecticidas, fertilizantes, minería, fundición de metales, combustibles, algodón, aluminio, mediina china, hindú, occidental moderna. PRESENTE EN RODENTICIDAS DE ANTAÑO. (eran muy tóxicos para humanos). La exposición al gas arsina se produce en ocupaciones de riesgo como la fundición de metales y mineralez. Se absorve por vía digestiva, inhalatoria, cutánea y transplacentaria. Se distribuye a bazo, pulmonaes, intestino y piel en las primeras 24 horas, depositandose en el hueso y fanres hasta 2 semanas después. Puede detectarse en orina hasta 10 días después de la exposición. ## CLÍNICA AGUDA: DIARREA, AGUA DE ARROZ, vómito, anorexia, sabor metálico, dolor abdominal, alteraciones ECG, síntomas respiratorios, mareo, delirio, encefalopatía, neuropatía similar a Guillain-Barré. Inhalación por gas arsina: síntomas inespecíficos en las primeras horas, posterior hematuria seguida de oliguria y anuria y dos días después coloracion de bronce. Triada: Dolor abdominal + Hemólisis + Hematuria. CRÓNICA: ingestión prolongada de arsénico al menos durante 6 meses: Hiperhidrosis: palmas, plantas, prurito, eritema y disestesias Hiperqueratosis y Melanodermia Malignización: puede gatillar proceso por su carcinogenisidad. DERMATOLÓGICO: pigmentación o melanosis y queratosisi por toxicidad. Son pecas o gotas de lluvia en tronco y extrmiedades, bialteral y simétrica; pueden involucrar la mucosa oral. ## DIAGNÓSTICO ## CRITERIOS CLINICOS Al menos 6 meses continuos de exposicion con concentraciones >50 ug / L de agua o altos niveles en el aire Lesiones dermatológicas del arsenisimo: melanosis o hiperqueratosisi Manifestaiones no carcinogénicas: afección sistémica Cáncer: piel u otra zona expuesta Concentraiones demostrables en orina, pelo y uñas. ## CRITERIOS BIOQUÍMICOS 1.- Arsénico en pelo, uñas, sangre y orina (o sus metabolitos MMA y DMA) 2.- Contraciones de arsénico >1 mg / Kg en pelo y uñas >50 ug / L en orina >3 ug / dL en sangre ## TRATAMIENTO ## 1ra elección: DMPS o DMSA El BAL es el único quelante que ha demostrado ser efectivo en intoxicaciones agudas por Arsénico. Intoxicación por gas: Eliminar fuente, terapaia de sostén y si hay hemólisis: exanguinotransfusión y hemodiálisis. # INTOXICACIÓN POR TALIO Las fuentes de exposición son raticidas, pirotecnia, señales luminosas, industria de diamantes, vidrio de alta refracción, chips de computadoras, cosméticos, rocas volcánicas. El talio es más tóxico que el plomo, se fija en 70 % a eritrocitos y cruza la barrera placentaria, siendo tóxico en el feto. Se recomienda evitar rodenticidas que contenga talio. ## CLÍNICA Los síntomas se presenta de forma aguda (1-2 días después de exposición), subaguda o crónica ( 2-3 semanas) y varían por la dosis de exposición. | GASTROINTESTINAL | Vómitos distensión abdominal, diarrea, dolor abdominal | | :--: | :-- | | PIEL Y ANEXOS | Se presenta entre 10. -14 días después, manifiesta alopecia, erupción acneiforme enc ara, Leuconiquia (Líneas de Mess), caída de vello púbico, axilas y cejas. | | NUEROLÓGICO | Neuropatía perfiérica, ataxia, temblor, atetosis, paralisis nervios crnaeales, convulsiones, coma. | | OTRAS | Alteraciones psiquiátricas (Insomnio, cambios de personaldiad, depresión, apatía, psicosis y ansiedad) | ## DIAGNÓSTICO ## DETERMINACIÓN DE TALIO - Se busca en sangre, orina y cabello. - El Talio no se encuentra normalmente en el ambiente, por lo que su valor de referencia es 9 ug / L. - Si los niveles en sangre son >100 ug / L y en orina >200 ug / L se consideran peligrosos. ## TRATAMIENTO 1. Manejo del ABC para reanimación vásica 2. Considerar lavado gástrico si no ha presentado vómito 3. Soluciones parenterales para forzar diurersis 4. Uso de carbón activado a dosis múltiples. ## ANTÍDOTO ## 1ra elección: PENICILAMINA O AZUL DE PRUSIA La GPCP menciona que el antídoto específico es la PENICILAMINA e inmediatamente después dice que en otros países es el Azul de Prusia.
Vista previa
Cancelar
Guardar cambios