PDF Processor
Inicio
Editar documento
Editar documento: 19. Hiperprolactinemia
Título
Contenido mejorado
Contenido original
Contenido mejorado por IA (Markdown)
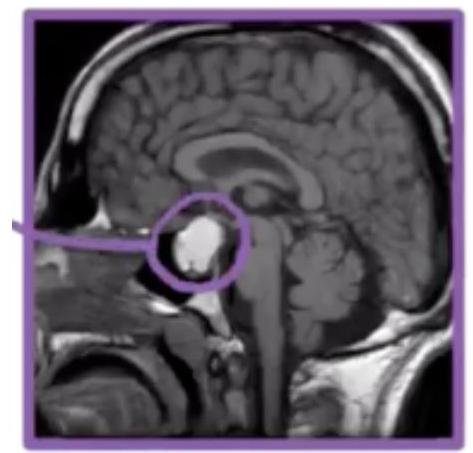
# HIPERPROLACTINEMIA ## DEFINICIÓN La **hiperprolactinemia** es una de las alteraciones hipotálamo-hipofisarias más comunes de la práctica clínica endocrinológica. Su importancia clínica está relacionada con su efecto sobre la función gonadal y mamaria, que causa infertilidad anovulatoria, trastornos menstruales, disfunción eréctil, acné, galactorrea y ginecomastia. Entre sus consecuencias a largo plazo, destaca la alteración de la densidad ósea y su posible asociación con enfermedades autoinmunes. ## FISIOLOGÍA **Hiperprolactinemia fisiológica**: **embarazo**, **lactancia**, **estimulación** pared **tórax**, **sueño, estrés**.  ## LESIÓN HIPOTÁLAMO/HIPÓFISIS: ## Tumores: Craneofaringioma, meningioma, disgerminoma, metástasis. ## Otros Silla turca vacía, hipófisis linfocitaria, adenoma con compresión del tallo, granulomas, quistes de Rathke, radiación. ## Traumatismo Sección del tallo hipofisario, cirugía supraselar. ## Trastornos sistémicos IRC, hipotiroidismo, cirrosis, crisis comiciales. Hipersecreción Hipofisaria: Prolactinoma, acromegalia. ## Fármacos: Antidepresivos, metoclopramida, domperidona, haloperidol, cimetidina, ranitidina, verapamilo. # CLÍNICA ## MUJERES - Anomalías del ciclo menstrual (oligomenorrea, infertilidad por ciclos anovulatorios, amenorrea). - Galactorrea se observa en 30-90% de las mujeres con hiperprolactinemia. ## HOMBRES - Disminución de la libido, impotencia e infertilidad. - El hipogonadismo es por inhibición de la liberación hipotalámica de GnRH. ## DIAGNÓSTICO No se necesita biopsia: es bioquímico y por imagen. | Mujer | Hombre | | :-- | :-- | | Menos de 20-25 ug/L | Menos 15-20 ug/L | La prolactina se eleva en el embarazo, alcanza pico en el parto. Valores máximos → 100 y 300 ug / L **PRL - 100** → **asociado** a **microadenoma**, **lesiones de tallo** e **hipotálamo**. **PRL 100-250** - pensar en un **microprolactinoma**. **PRL +250** → **sugerente** de **adenoma hipofisario productor de prolactina**, casi siempre **macroadenoma**. Se sugieren estudios de imagen (resonancia magnética) en hiperprolactinemia inexplicada, para encontrar lesiones en hipotálamo e hipófisis. - En la hiperprolactinemia idiopática puede haber anomalías que no se detecten mediante imagen, lo cual puede sugerir microadenoma oculto. ## DX DIFERENCIAL: HIPOTIROIDISMO, LA TRH TIENE EFECTO SOBRE EL GALATOTROPO. ## PROLACTINOMAS **Microadenoma** → **-10 mm** el más frecuente de todos y **predomina en mujeres**. **Macroadenoma** → **+10 mm** → **predomina en hombres**. Diagnóstico tardío por poca clínica hasta que esté avanzada.  # TRATAMIENTO Está indicado en las siguientes situaciones: 1. **Efecto de masa**: déficit de otras hormonas, defectos visuales, afectación nervios craneales, cefalea. 2. **Efecto hiperprolactinemia**: hipogonadismo, oligomenorrea, disfunción eréctil, osteoporosis. 3. **Relativas**: Hirsutismo, galactorrea. Agonistas dopaminérgicos clásicos: la **Bromocriptina** es un derivado ergotamínico con efecto dopaminérgico. Se inicia de forma progresiva para reducir los efectos colaterales (náusea, vómito). Agonistas dopaminérgicos modernos: **Quinagolida** y **Cabergolina**. Menos efectos secundarios y mejor eficacia. ## Retirada del tratamiento: - En pacientes que muestran reducciones en niveles de PRL y desaparición del adenoma o resultados importantes posterior a al menos dos años de tratamiento. - No son candidatos quienes no hayan reducido su tamaño o que el tumor no redujo al menos 50%. ## QUIRÚRGICO - La cirugía es necesaria en pacientes con defectos visuales persistentes a pesar de tratamiento, no toleran a los agonistas dopaminérgicos. - La cirugía - intervención transesfenoidal. - La morbimortalidad es mínima, aunque existen recidivas en un 40 %.
Vista previa
Contenido original (Markdown)
# HIPERPROLACTINEMIA ## DEFINICIÓN La hiperprolactinemia es una de las alteraciones hipotálamo-hipofisaria más comunes de la práctica clínica endocrinológica, su importancia clínica está relacionada con su efecto sobre la función gonadal y mamaria, que causa infertilidad anovulatoria, trastornos menstruales, disfunción eréctil, acné, galactorrea y ginecomastia. Entre sus consecuencias a largo plazo, destaca la alteración de la densidad ósea y su posible asociación con enfermedades autoinmunes. ## FISIOLOGÍA Hiperprolactinemia Fisiológica: Embarazo, lactancia, estimulación pared tórax, sueño, estrés.  ## LESIÓN HIPOTÁLAMO/HIPOFISIS: ## Tumores: Craneofaringeoma, meningeoma, disgerminoma, metástasis ## Otros Silla Turca vacía, hipófisis linfocitaria, adenoma con compresión del tallo, granulomas, quistes de Rarthke, Radiación ## Traumatismo Sección del tallo hipofisiario, cirugía supraselar ## Trastornos sistémicos IRC, Hipotiroidismo, cirrosis, crisis comiciales Hipersecreción Hipofisiaria: Prolactinoma, Acromegalia ## Fármacos: Antidepresivos, Metoclopramida, Domperidona, Haloperidol, Cimetidina, Ranitidna, Verapamilo. # CLÍNICA ## MUJERES - Anomalías del ciclo menstrual (oligomenorrea, infertilidad por ciclos anovulatorios, amenorrea) - Galactorrea se observa en 30-90% de las mujeres hiperprolactinemias. ## HOMBRES - Disminución de la libido, impotencia e infertilidad. - El hipogonadismo es por inhibición de la liberación hipotalámica de GnRH. ## DIAGNÓSTICO No se necesita biopsia: es Bioquímico y por Imagen. | Mujer | Hombre | | :-- | :-- | | Menos de 20-25 ug/L | Menos 15-20 ug/L | La prolactina se eleva en el embarazo, alcanza pico en el parto. Valores máximos \rightarrow 100 y 300 ug / L PRL - 100 \rightarrow asociado a MICROADENOMA, lesiones de tallo e hipotálamo PRL 100-250 - pensar en un MICROPROLACTINOMA PRL +250 \rightarrow sugerente de adenoma hipofisiario productor de prolactina, casi siempre MACROADENOMA Se sugieren estudios de imagen (Resonancia Magnética) en hiperprolactinemia inexplicada, para encontrar lesiones en hipotálamo e hipófisis. - En la hiperprolactinemia idiopática puede haber anomalías que no se detecten mediante imagen, lo cual puede sugerir microadenoma oculto. ## DX DIFERENCIAL: HIPOTIROIDISMO, LA TRH TIENE EFECTO SOBRE EL GALATOTROPO ## PROLACTINOMAS Microadenoma \rightarrow-10 ~mm el más frecuente de todos y predomina en mujeres Macroadenoma \rightarrow+10 ~mm \rightarrow predomina en hombres. Diagnóstico tardío por poca clínica hasta que esté avanzada.  # TRATAMIENTO Está indicado en las siguientes situaciones: 1. Efecto de masa: déficit de otras hormonas, defectos visuales, afectación nervios craneales, cefalea 2. Efecto hiperprolactinemia: hipogonadismo, oligomenorrea, disfunción eréctil, osteoporosis 3. Relativas: Hirsutismo, galactorrea. Agonistas dopaminérgicos clásicos: la BROMOCRIPTINA es un derivado ergotamínico con efecto dopaminérgico. Se inicia de forma progresiva para reducir los efectos colaterales (náusea, vómito). Agonistas dopaminérgicos modernos: QUINAGOLIDA Y CABERGOLINA. Menos efectos secundarios y mejor eficacia. ## Retirada del tratamiento: - En pacientes que muestran reducciones en niveles de PRL y desaparición del adenoma o resultados importantes posterior a al menos dos años de tratamiento. - No son candidatos quienes no hayan reducido su tamaño o que el tumor no redujo al menso 50% ## QUIRÚRGICO - La cirugía es necesaria en pacientes con defectos visuales persistentes a pesar de tratamiento, no toleran a los agonistas dopaminérgicos. - La cirugía - INTERVENCIÓN TRANSESFENOIDAL. - La morbimortalidad es mínima, aunque existen recidivas en un 40 %
Vista previa
Cancelar
Guardar cambios