PDF Processor
Inicio
Editar documento
Editar documento: 21. Acromegalia _ Gigantismo
Título
Contenido mejorado
Contenido original
Contenido mejorado por IA (Markdown)
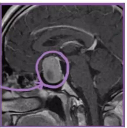
# ACROMEGALIA / GIGANTISMO: DEFINICIÓN Afección por la que la **hipófisis** elabora demasiada **hormona del crecimiento** después de haber terminado el crecimiento normal del esqueleto. Esto hace que los huesos de las manos, los pies, la cabeza y la cara crezcan más de lo normal. La causa de la acromegalia puede ser un tumor en la hipófisis. Si el exceso de GH surge antes del cierre de las epífisis se denomina: **GIGANTISMO**. ## ETIOLOGÍA **ADENOMAS HIPOFISIARIOS** perfectamente definidos (95%) - 75% son macroadenomas. - Los niveles de GH se relacionan directamente con el tamaño del tumor. ## Growth Hormone (GH) HYPOTHALAMUS SECRETES **GH-RELEASING HORMONE** EVERY COUPLE HOURS CAN INCREASE WITH: - LOW **BLOOD GLUCOSE LEVELS** - LACK OF FOOD - INCREASED EXERCISE - INCREASED SLEEP  DIRECT EFFECTS: TISSUES WHERE GH STIMULATES **CELLULAR METABOLISM** - ORGAN GROWTH  # CLÍNICA - **CRECIMIENTO ACRAL** - Enfermedad crónica debilitante - Cambios maxilofaciales - Crecimiento exagerado de los huesos y partes blandas - Crecimiento de manos, pies y perímetro craneal - Prognatismo - **CEFALEA** (40%) - Desarrollo exagerado de la lengua (**MACROGLOSIA**) - Rasgos faciales toscos. - **HIPERHIDROSIS** **RESISTENCIA INSULINA** (80%), **INTOLERANCIA GLUCOSA** (50%), Diabetes Mellitus Incremento riesgo **Ca Colon, Tiroides**  Hipertrofia laríngea - Voz cavernosa # DIAGNÓSTICO ## NO se deben medir los niveles aleatorios de GH **IRM CON PRESENCIA DE ADENOMA**  **DETERMINACIÓN DE LOS NIVELES DE IGF-I + SUPRESIÓN DE LA SECRECIÓN DE GH TRAS SOBRECARGA DE GLUCOSA** a. CRITERIOS i. Presencia de GH elevado 2 horas después de sobrecarga oral con glucosa. ii. Niveles elevados de IGF-1 para el sexo y edad del paciente. ## TRATAMIENTO ## CIRUGÍA TRANSESFENOIDAL - Indicado en micro y macroadenomas. ## RADIOTERAPIA - Pacientes no curados tras cirugía. ## ANÁLOGOS DE SOMATOSTATINA - Riesgo quirúrgico, rechazo de cirugía, macroadenoma no resecado.
Vista previa
Contenido original (Markdown)
# ACROMEGALIA / GIGANTISMO DEFINICIÓN Afección por la que la hipófisis elabora demasiada hormona del crecimiento después de haber terminado el crecimiento normal del esqueleto. Esto hace que los huesos de las manos, los pies, la cabeza y la cara crezcan más de lo normal. La causa de la acromegalia puede ser un tumor en la hipófisis. Si el exceso de GH surge antes del cierre de las epífisis se denomina: GIGANTISMO ## ETIOLOGÍA ADENOMAS HIPOFISIARIOS perfectamente definidos (95%) - 75% son macroadenomas. - Los niveles de GH se relacionan directamente con el tamaño del tumor. ## Growth Hormone (GH) HYPOTHALAMUS LSECRETES GH-RELEASING HORMONE (EVERY COUPLE) HANES CAN INCREASE WITH: -LOU BLOOD GLUCOSE LEVELS -LACE +S FOOD -INCREASED EXERLSE -INCREASED SLEEP  DIRECT EFFECTS: TISSUES WHERE GH STIMULATES CELLULAR METABOLISM - ORGAN GROUTH  # CLÍNICA - CRECIMIENTO ACRAL - Enfermedad crónica debilitante - Cambios maxilofaciales - Crecimiento exagerado de los huesos y partes blandas - Crecimiento de manos, pies y perímetro craneal - Prognatismo - CEFALEA (40%) - Desarrollo exagerado de la lengua (MARCOGLOSIA) - Rasgos faciales toscos. - HIPERHIDROSIS RESISTENCIA INSULINA 80% INTOLERANCIA GLUCOSA 50% Diabetes Mellitus Incremento riesgo Ca Colon, Tiroides  Hipertrofia laringea - Voz Cavernosa # DIAGNÓSTICO ## ⌀ No se deben medir los niveles aleatorios de GH IRM CON PRESENCIA DE ADENOMA -  DETERMINACIÓN DE LOS NIVELES DE IGF - I + SUPRESIÓN DE LA SECRECIÓN DE GH TRAS SOBRECARGA DE GLUCOSA a. CRITERIOS i. Presencia de GH elevado 2 horas después de sobrecarga oral con glucosa. ii. Niveles elevados de IGF - 1 para el sexo y edad del paciente ## TRATAMIENTO ## CIRUGÍA TRANSESFENOIDAL - Indicado en micro y macroadenomas. ## RADIOTERAPIA - Pacientes no curados tras cirugía. ## ANÁLOGOS DE SOMATOSTATINA - Riesgo quirúrgico rechazo de cirugía, macroadenoma no resecado.
Vista previa
Cancelar
Guardar cambios