PDF Processor
Inicio
Editar documento
Editar documento: 5. Otros Trastornos Esofágicos (Espasmo Difuso, Esclerodermia, Anillo de Shatzki, Divertículo de Zenker, Pólipo Esofágico)
Título
Contenido mejorado
Contenido original
Contenido mejorado por IA (Markdown)
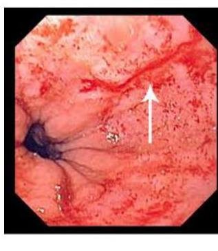
# OTROS TRASTORNOS DEL ESÓFAGO ## * 25-30 cm *LONG TUBE* from *PHARYNX* to the *STOMACH*  ## *FUNCTIONAL* - muscles & nerves - motility of the esophagus ## *MECHANICAL* - something within that blocks the passageway ## * WHAT TYPES OF FOODS PRODUCES THE SYMPTOMS - BOTH *LIQUIDS* & *SOLIDS* - **FUNCTIONAL** - *DYSPHAGIA* FOR ONLY *SOLIDS* - *LUMEN* IS NARROW - *MALIGNANCY* OR *STRICTURE* - CAN BE *INTERMITTENT* or *PROGRESSIVE* # ESPASMO ESOFÁGICO DIFUSO ## DEFINICIÓN Es un trastorno caracterizado por múltiples contracciones espontáneas o inducidas por la deglución, que son de comienzo simultáneo, de gran amplitud, de larga evolución y repetitivas. ## CLÍNICA  - **DOLOR TORÁCICO** (*generalmente retroesternal* y puede tener irradiaciones como cardiopatía) - **DISFAGIA** (*aparece tanto en sólidos y líquidos*, *intermitente* y *no produce pérdida de peso*) ## Edad Media de presentación: alrededor de 40 años. ## DIAGNÓSTICO - El esofagograma con bario y fluoroscopia puede evidenciar el típico **ESÓFAGO EN SACACORCHOS** (**CASCANUECES**) producido por las contracciones anómalas. - La Manometría es el mejor estudio para valorar. Se evidencia **hipertensión del EEI**, el cual se relaja durante las degluciones, a diferencia de la Acalasia.  **UNCOORDINATED HIGH-AMPLITUDE PERISTALTIC CONTRACTIONS**  ## TRATAMIENTO: - Fármacos - *relajantes de fibra muscular lisa* antes de las comidas (**nitroglicerina sublingual**, **dinitrato de isosorbide** y **calcioantagonistas** como **Nifedipino** y **diltiazem**). - **DILATACIÓN CON BALÓN** - **si falla el tratamiento farmacológico**. Dilata la parte inferior del esófago. Ayuda a la **disfagia**. - **Miotomía Longitudinal** - Si fallan los tratamientos anteriores, esta intervención en la capa muscular circular del esófago, junto con una técnica antirreflujo si la presión del *EEI* es baja. # ESÓFAGO ESCLERODERMIA ## DEFINICIÓN Existe una atrofia del músculo liso del esófago con debilidad en la contracción de los dos tercios inferiores del mismo e incompetencia del esfínter esofágico inferior. ## CLÍNICA ## **PRESENTE EN ENFERMEDAD MIXTA DEL TEJIDO CONJUNTIVO.** - Disfagia a sólidos y líquidos. - Disfagia persistente - Estenosis péptica. ## DIAGNÓSTICO - Manometría - Demuestra **disminución amplitud de las contracciones**. - Presión *EEI* basal disminuida, pero normal en deglución. - Endoscopia que evidencia atrofia de músculo. ## TRATAMIENTO - **No puede revertir las anormalidades motoras**. - Se enfoca en **paliar el reflujo y sus complicaciones**.  **HIGH SPECTRUM** **MANOMETRY** ## ANILLO DE SCHATZKI Se forma una banda mucosa delgada y simétrica, localizada en el esófago distal. - Se asocia a **presencia de hernia hiatal y esofagitis eosinofílica**. ## CLÍNICA - **Disfagia intermitente a sólidos**. ## DIAGNÓSTICO ## Esofagograma con bario - Se observa **dilatación en área afectada**.  # Endoscopia - Se observa **membrana delgada**. ## TRATAMIENTO - **Dilatación con balón**. ## DIVERTÍCULO DE ZENKER Son protrusiones de la mucosa faríngea a través de una zona relativamente débil de la pared posterior de la faringe. - Ubicado en la parte superior del músculo cricofaríngeo. - Ocurre con más frecuencia en masculinos ancianos. ## CLÍNICA - Disfagia orofaríngea intermitente. - Halitosis por acumulación de restos. - Regurgitación. - Aspiración pulmonar. - Puede ser palpado a la EF. ## DIAGNÓSTICO - Esofagograma con Bario. - Se observa el divertículo. - **NO ENDOSCOPIA POR RIESGO DE PERFORACIÓN**. ## TRATAMIENTO - **Corrección quirúrgica**.  # PÓLIPO ESOFÁGICO ## DEFINICIÓN Los pólipos fibrovasculares del esófago son tumores benignos raros, caracterizados por el desarrollo intraluminal de una masa pedunculada de localización principal en el esófago cervical a nivel cricofaríngeo, no produce molestias por largo tiempo, sin embargo, puede ocurrir la regurgitación del pólipo, produciendo asfixia o **más FRECUENTEMENTE DISFAGIA**. ## CLÍNICA A pesar de su gran tamaño y potencial crecimiento, la transformación maligna es bastante rara. Usualmente crecen en el tercio proximal y permanecen asintomáticos por largo tiempo. Cuando son sintomáticos, el cuadro clínico puede ser espectacular y a veces letal por **obstrucción de la vía aérea**. ## DIAGNÓSTICO Puede ser por tomografía computarizada y resonancia magnética cuando se analiza mediastino. La endoscopía permite una visualización directa y fácil para su diagnóstico y valoración. ## TRATAMIENTO Depende del tamaño del tumor; así, los pólipos menores de 2 cm pueden ser extirpados por endoscopía, sin embargo, en la mayoría de los casos, se requiere de la **escisión quirúrgica**.  # SÍNDROME DE MALLORY-WEISS Consiste en **hemorragia digestiva alta** que se produce como consecuencia de erosiones longitudinales en la región de la unión gastroesofágica. ## **RESULTADO DE INTENSOS VÓMITOS O INCLUSO TOS.** - Las lesiones se ubican en el lado gástrico de la unión gastroesofágica. - El sangrado cesa en el 80-90% espontáneamente. ## DIAGNÓSTICO **Endoscopia** (la cual puede ser terapéutica) ## TRATAMIENTO - **Embolización**. - Casos raros **cirugía**.  ## SÍNDROME DE BOERHAAVE Se trata de la rotura de la pared esofágica a consecuencia de vómitos de repetición. Provoca mediastinitis y complicaciones de la misma. ## ETIOPATOGENIA 1. **Aumento repentino de la presión interna del esófago** producida durante los vómitos intensos. 2. Consecuencia de una **falta de coordinación neuromuscular** que causa un fallo del cierre del músculo cricofaríngeo (el esfínter inferior del esófago). ## CLÍNICA - **Dolor retroesternal** (Mediastinitis)  ## DIAGNÓSTICO **ESOFAGOGRAMA**: se confirma hasta en 90% de los casos por la observación de extravasación de medio de contraste en el esofagograma. ## TRATAMIENTO - Antibióticos. - Reparación quirúrgica. **UBICACIÓN HABITUAL - PARED POSTERIOR DE LOS 2/3 INFERIORES DEL ESÓFAGO 2-3cm ANTES DEL ESTÓMAGO**
Vista previa
Contenido original (Markdown)
# OTROS TRASTORNOS DEL ESÓFAGO ## * 25-30 cm LONG TUBE from PHARYNX to the STOMACH  ## FUNCTIONAL - muscles \& nerves - motility of the esophagus ## MECHANICAL - something within that blocks the passageway ## * WHAT TYPES OF FOODS PRODUCES THE SYMPTOMS - BOTH LIQUIDS \& SOLIDS - FUNCTIONAL - DYSPHAGIA FOR ONLY SOLIDS - LUMEN IS NARROW - MALIGNANCY OR STRICTURE - CAN BE INTERMITTENT or PROGRESSIVE # ESPASMO ESOFÁGICO DIFUSO ## DEFINICIÓN Es un trastorno caracterizado por múltiples contracciones espontáneas o inducidas por la deglución, que son de comienzo simultáneo, de gran amplitud, de larga evolución y repetitivas. ## CLÍNICA  - DOLOR TORÁCICO (generalmente retroesternal y puede tener irradiaciones como cardiopatía) - DISFAGIA (aparece tanto en sólidos y líquidos, intermitente y no produce pérdida de peso) ## Edad Media de presentación alrededor de 40 años. ## DIAGNÓSTICO - El esofagograma con bario y fluoroscopia puede evidenciar el típico ESÓFAGO EN SACACORCHOS (CASCANUECES) producido por las contracciones anómalas. - La manometría es el mejor estudio para valorar. Se evidencia hipertensión del EEI, el cual se relaja durante las degluciones, a diferencia de la Acalasia.  UNCOORDINATED HIGH-AMPLITUDE PERISTALTIC CONTRACTIONS  ## TRATAMIENTO: - Fármacos - relajantes de fibra muscular lisa antes de las comidas (nitroglicerina sublingual, dinitrato de isosorbide y calcioantagonistas como Nifedipino y diltiazem). - DILATACIÓN CON BALÓN - si falla el tratamiento farmacológico. Dilata la parte inferior del esófago. Ayuda disfagia. - Miotomía Longitudinal - Si fallan los tratamientos anteriores, esta intervención en la capa muscular circular del esófago, junto con una técnica antirreflujo si la presión del EEI es baja. # ESÓFAGO ESCLERODERMIA ## DEFINICIÓN Existe una atrofia del músculo liso del esófago con debilidad en la contracción de los dos tercios inferiores del mismo e incompetencia del esfínter esofágico inferior ## CLÍNICA ## PRESENTE EN ENFERMEDAD MIXTA DEL TEJIDO CONJUNTIVO. - Disfagia a sólidos y líquidos. - Disfagia persistente - Estenosis péptica ## DIAGNÓSTICO - Manometría - Demuestra disminución amplitud de las contracciones - Presión Ell basal disminuida, pero normal en deglución - Endoscopia que evidencia atrofia de músculo ## TRATAMIENTO - No puede revertir las anormalidades motoras - Se enfoca en paliar el reflujo y sus complicaciones.  HIGH SPECTRUM MANOMETRY ## ANILLO DE SCHATZKI Se forma una banda mucosa delgada y simétrica, Localizada en el esófago distal - Se asocia a presencia de hernia hiatal y esofagitis eosinofílica ## CLÍNICA - Disfagia intermitente a sólidos. ## DIAGNÓSTICO ## Esofagograma con bario - Se observa dilatación en área afectada  # Endoscopia - Se observa membrana delgada. ## TRATAMIENTO - Dilatación con balón ## DIVERTÍCULO DE ZENKER Son protrusiones de la mucosa faríngea a través de una zona relativamente débil de la pared posterior de la faringe. - Ubicado en la parte superior del músculo cricofaríngeo. - Ocurre con más frecuencia en masculinos ancianos. ## CLÍNICA - Disfagia orofaríngea intermitente - Halitosis por acumulación de restos - Regurgitación - Aspiración pulmonar - Puede ser palpado a la EF. ## DIAGNÓSTICO - Esofagograma con Bario - Se observa el divertículo - NO ENDOSCOPIA POR RIESGO DE PERFORACIÓN ## TRATAMIENTO - Corrección quirúrgica.  # PÓLIPO ESOFÁGICO ## DEFINICIÓN Los pólipos fibrovasculares del esófago son tumores benignos raros, caracterizados por el desarrollo intraluminal de una masa pedunculada de localización principal en el esófago cervical a nivel cricofar íngeo, no produce molestias por largo tiempo, sin embargo puede ocurrir la regurgitación del pólipo, produciendo asfixia o más FRECUENTEMENTE DISFAGIA. ## CLÍNICA A pesar de su gran tamaño y potencial crecimiento la transformación maligna es bastante rara Usualmente crecen en el tercio proximal y permanecen asintomáticos por largo tiempo. Cuando son sintomáticos, el cuadro clínico puede ser espectacular y a veces letal por obstrucción de la vía aérea ## DIAGNÓSTICO Puede ser por tomografía computarizada y resonancia magnética cuando se analiza mediastino. La endoscopía permite una visualización directa y fácil para su diagnóstico y valoración. ## TRATAMIENTO Depende del tamaño del tumor, así, los pólipos menores de 2 cm . pueden ser extirpados por endoscopía, sin embargo en la mayoría de los casos se requiere de la escisión quirúrgica  # SÍNDROME DE MALLORY-WEISS Consiste en hemorragia digestiva alta que se produce consecuencia de erosiones longitudinales en región de unión gastroesofágica. ## RESULTADO DE INTENSOS VÓMITOS O INCLUSO TOS. - Las lesiones se ubican en el lado gástrico de la unión gastroesofágica. - El sangrado cesa en el 80-90% espontáneamente. ## DIAGNÓSTICO Endoscopia (la cual puede ser terapéutica) ## TRATAMIENTO - Embolización - Casos raros cirugía  ## SÍNDROME DE BOERHAAVE Se trata de la rotura de la pared esofágica a consecuencia de vómitos de repetición. Provoca mediastinitis y complicaciones de la misma. ## ETIOPATOGENIA 1. Aumento repentino de la presión interna del esófago producida durante los vómitos intensos 2. Consecuencia de una falta de coordinación neuromuscular que causa un fallo del cierre del músculo cricofaríngeo (el esfínter inferior del esófago) ## CLÍNICA - Dolor retroesternal (Mediastinitis)  ## DIAGNÓSTICO ESOFAGOGRAMA: se confirma hasta en 90% de los casos por la observación de extravasación de medio de contraste en el esofagograma. ## TRATAMIENTO - Antibióticos - Reparación quirúrgica. UBICACIÓN HABITUAL - PARED POSTERIOR DE LOS 2/3 INFERIORES DEL ESÓFAGO 2-3cm ANTES DEL ESTÓMAGO
Vista previa
Cancelar
Guardar cambios