PDF Processor
Inicio
Editar documento
Editar documento: 18. Absceso Hepático (Amebiano y Piógeno)
Título
Contenido mejorado
Contenido original
Contenido mejorado por IA (Markdown)
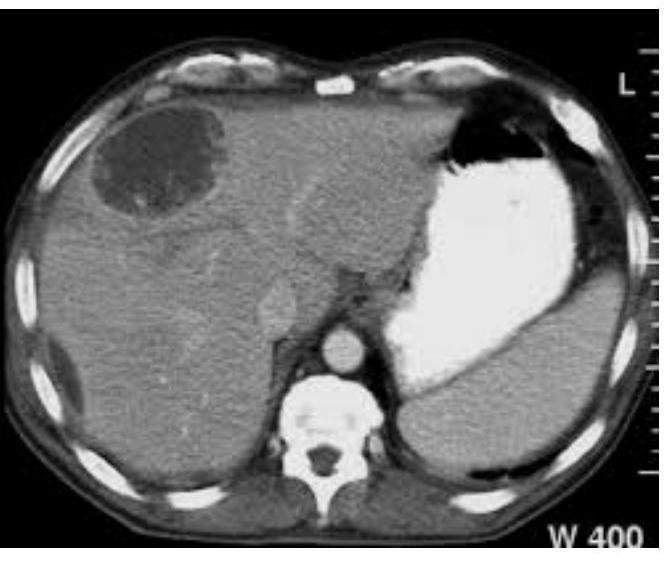
# ABSCESO HEPÁTICO ## DEFINICIÓN Es una necrosis enzimática de los hepatocitos y múltiples microabscesos que confluyen, formando habitualmente cavidad única, conteniendo líquido homogéneo que puede variar en color, desde la crema blanca hasta el de "pasta de anchoas". ## ABSCESO HEPÁTICO AMEBIANO Es la manifestación extraintestinal más frecuente de la infección por *Entamoeba histolytica*. Causada por la ingesta de quistes en el agua o alimentos contaminados. Pudiendo tener antecedente de **disentería amebiana**. ## ABSCESO HEPÁTICO PIÓGENO Es el absceso hepático más frecuente de etiología por colangitis ascendente, criptogénico, vía portal o arterial por algún **foco séptico**, por contigüidad (colecistitis o peritonitis). ## EPIDEMIOLOGÍA - La amebiasis es la segunda causa de muerte por enfermedad parasitaria en todo el mundo. - El parásito causante es un patógeno potente, posee proteasas secretoras que disuelven los tejidos del huésped, matando por contacto a las células y fagocitando a los eritrocitos. | FACTORES DE RIESGO AMEBIANO | FACTORES DE RIESGO PIÓGENO | | :------------------------------------------------------------------------------------------------------------------------ | :----------------------------------- | | - Sexo masculino - 3^{\circ} a 5^{\circ} década de la vida - Alcoholismo - Padecimientos oncológicos - Prácticas homosexuales - Inmunosupresión - Habitar o viajar a **zonas endémicas** - Uso de corticosteroides | - Presencia de **foco infeccioso** - Mayores de 50 años | # CLÍNICA | ABSCESO AMEBIANO | ABSCESO PIÓGENO | | :------------------------------------------------------------------------------------------------------------- | :----------------------------------------------------------------------------------------- | | - Fiebre vespertina o nocturna no muy alta. - Dolor en hipocondrio derecho - Hepatomegalia - **Ictericia** - Escalofríos y malestar general. (puede haber antecedente de disentería) - **Amebomas**: masas ileocecales en CSD | - Fiebre aguda en picos - Dolor en hipocondrio derecho - **Ictericia** - Vómitos - Anorexia - Mialgias y malestar general (puede haber **choque séptico**) | ## DIAGNÓSTICO ## GOLD STANDARD: USG DE HÍGADO Y VÍAS BILIARES - Es el estudio de elección ante la sospecha de un absceso hepático de cualquiera de sus etiologías. - Colección única en **lóbulo hepático derecho** sugiere origen amebiano (80%). ## PUNCIÓN GUIADA POR USG O TAC - Se realiza cultivo del aspirado del absceso para llegar a un diagnóstico etiológico definitivo.   # TRATAMIENTO ## ABSCESO AMEBIANO ## 1ª elección: **Metronidazol + Amebicida intraluminal** (Furoato de Diloxanida, Paromomicina). ## 2ª elección: Si hay intolerancia a Metronidazol - **Tinidazol**. Si hay intolerancia a Imidazoles - **Nitazoxanida**. ## PUNCIÓN PERCUTÁNEA - Persistencia de síntomas clínicos de 72 horas de iniciado el tratamiento. - Datos de **ruptura inminente**. - Absceso de **lóbulo hepático izquierdo**. - Embarazo y contraindicación del uso de Metronidazol. - Complicaciones pleuropulmonares (absceso que se va a pleura). ## ABORDAJE LAPAROSCÓPICO - Drenaje por esta vía si hay **fracaso** en el percutáneo. ABORDAJE LAPAROTOMÍA - En caso de **ruptura** del absceso a cavidad peritoneal. ## ABSCESO PIÓGENO 1ª elección: **Antibiótico de amplio espectro + Drenaje percutáneo**. Esto debe indicarse en **TODOS** los casos. Elegir el antibiótico con base en la etiología más frecuente del foco séptico responsable. El drenaje percutáneo también deberá servir para descomprimir la vía biliar. ## DRENAJE QUIRÚRGICO - Absceso **múltiple**. - **Multiloculado**. - **Foco infeccioso** que requiere cirugía. - Si el drenaje no es posible por su localización (**superior o posterior**). # PRONÓSTICO ## MORTALIDAD | ABSCESO AMEBIANO | ABSCESO PIÓGENO | | :------------------------------------------------- | :-------------- | | 1 % | 20 % | | Complicación más frecuente - **Lesión pleuropulmonar**. | | ## FACTORES DE MAL PRONÓSTICO - Abscesos **múltiples**. - Volumen **>500 ml**. - Elevación del **hemidiafragma derecho** (o derrame pleural). - **Encefalopatía**. - Bilirrubina **>3.5 mg/dL**. - Hemoglobina **<8 mg/dL**. - Albúmina **<2 g/dL**. - **Diabetes mellitus**. ## REFERENCIA Enviar a **segundo nivel** si hay sospecha de absceso amebiano.
Vista previa
Contenido original (Markdown)
# ABSCESO HEPÁTICO ## DEFINICIÓN Es una necrosis enzimática de los hepatocitos y múltiples microabscesos que confluyen, formando habitualmente cavidad única, conteniendo líquido homogéneo que puede variar en color, desde la crema blanca hasta el de "pasta de anchoas". ## ABSCESO HEPÁTICO AMEBIANO Es la manifestación extra intestinal más frecuente de la infección por Entamoeba histolytica. Causada por la ingesta de quistes en el agua o alimentos contamindos. Pudiendo tener antecedente de disentería amebiana. ## ABSCESO HEPÁTICO PIÓGENO Es el absceso hepático más frecuente de etiología por colangitis ascendente, criptogéico, vía portal o arterial por algún foco séptico, por contiguidad (colecistitis o peritonitis). ## EPIDEMIOLOGÍA - La amebiasis es la segunda causa de muerte por enfermedad parasitaria en todo el mundo. - El parásito causante es un patógeno potente, posee proteasas secretoras que disuelven los tejidos del huésped, matando por contacto a las células y fagocitando a los eritrocitos. | FACTORES DE RIESGO AMEBIANO | FACTORES DE RIESGO PIÓGENO | | :--: | :--: | | - Sexo masculino - 3^{\circ} a 5^{\circ} década de la vida - Alcoholismo - Padecimientos oncológicos - Prácticas homosexuales - Inmunosupresión - Habitar o viajar a zonas endémicas - Uso de corticosteroides | - Presencia de Foco Infeccioso - Mayores de 50 años | # CLÍNICA | ABSCESO AMEBIANO | ABSCESO PIÓGENO | | :--: | :--: | | - Fiebre vespertina o nocturna no muy alta. - Dolor en hipocondrio derecho - Hepatomegalia - Icterica - Escalofríos y malestar general. (puede haber antecedente de disentería) AMEBOMAS: masas ileocecales en CSD | - Fiebre aguda en picos - Dolor en hipocondrio derecho - Ictericia - Vómitos - Anorexia - Mialgias y malestar general (puede haber choque séptico) | ## DIAGNÓSTICO ## GOLD STANDARD: USG DE HÍGADO Y VÍAS BILIARES - Es el estudio de elección ante la sospecha de un absceso hepático de cualquiera de sus etiologías. - Colección única en lóbulo hepático derecho sugiere origen ambiano (80%). ## PUCIÓN GUIADA POR USG O TAC - Se realiza cultivo del aspirado del absceso para llegar a un diagnóstico etiológico definitivo.   # TRATAMIENTO ## ABSCESO AMEBIANO ## 1ra elección: METRODINAZOL + AMICIDA INTRALUMINAL (Furoato de Diloxanida, Paromicina). ## 2da elección: Si hay intolerancia a Metroniazol - Tinidazol Si hay intolerancia a Imidazoles - Nitazoxanida. ## PUNCIÓN PERCUTÁNEA - Persistencia de síntomas clínicos de 72 horas de iniciado el tratamiento. - Datos de ruptura inminente - Absceso de lóbulo hepático izquierdo - Embarazo y contraindicación del uso de Metronidazol - Complicaciones pleuropulmonares (absceso que se va a pleura) ## ABORDAJE LAPAROSCÓPICO - Drenaje por esta vía si hay fracaso en el percutáneo. ABORDAJE LAPAROTOMÍA - En caso de ruptura del absceso a cavidad peritoneal. ## ABSCESO PIÓGENO 1ra elección: ANTIBIÓTICO AMPLIO ESPECTRO + DRENAJE PERCUTÁNEO Esto debe indicarse en TODOS los casos. Elegir el antibiótico con base en la etiología más frecuente del foco séptico responsable. El drenaje percutáneo también deberá servir para descomprimir la vía biliar. ## DRENAJE QUIRÚRGICO - Absceso múltiple - Multiloculado - Foco infeccioso que requiere cirugía - Si el drenaje no es posible por su localización (superior o posterior). # PRONÓSTICO ## MORTALIDAD | ABSCESO AMEBIANO | ABSCESO PIÓGENO | | :--: | :--: | | 1 % | 20 % | | Complicación más frecuente - LESIÓN PLEUROPULMONAR. | | ## FACTORES DE MAL PRONÓSTICO - Abscesos múltiples - Volumen >500 ml - Elevación del hemidiafragma derecho ( o derrame pleural) - Encefalopatía - Bilirrubina >3.5 mg / dL - Hemoglobina <8 mg / dL - Albúmina <2 ~g / dL - Diabetes mellitus. ## REFERENCIA Enviar a 20 nivel si hay sospecha de absceso amebiano
Vista previa
Cancelar
Guardar cambios